TST Antibody
-
中文名稱:TST兔多克隆抗體
-
貨號:CSB-PA620980LA01HU
-
規格:¥440
-
圖片:
-
Western Blot
Positive WB detected in: Rat liver tissue
All lanes: TST antibody at 5μg/ml
Secondary
Goat polyclonal to rabbit IgG at 1/50000 dilution
Predicted band size: 34 kDa
Observed band size: 34 kDa -
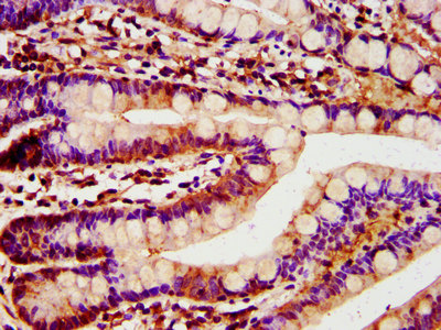
IHC image of CSB-PA620980LA01HU diluted at 1:400 and staining in paraffin-embedded human small intestine tissue performed on a Leica BondTM system. After dewaxing and hydration, antigen retrieval was mediated by high pressure in a citrate buffer (pH 6.0). Section was blocked with 10% normal goat serum 30min at RT. Then primary antibody (1% BSA) was incubated at 4°C overnight. The primary is detected by a biotinylated secondary antibody and visualized using an HRP conjugated SP system.
-
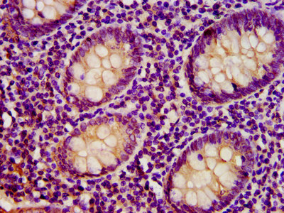
IHC image of CSB-PA620980LA01HU diluted at 1:400 and staining in paraffin-embedded human appendix tissue performed on a Leica BondTM system. After dewaxing and hydration, antigen retrieval was mediated by high pressure in a citrate buffer (pH 6.0). Section was blocked with 10% normal goat serum 30min at RT. Then primary antibody (1% BSA) was incubated at 4°C overnight. The primary is detected by a biotinylated secondary antibody and visualized using an HRP conjugated SP system.
-
-
其他:
產品詳情
-
產品名稱:Rabbit anti-Homo sapiens (Human) TST Polyclonal antibody
-
Uniprot No.:
-
基因名:TST
-
別名:GlpE antibody; RDS antibody; Rhodanese antibody; Thiosulfate sulfurtransferase antibody; Thiosulfate sulfurtransferase GlpE antibody; THTR_HUMAN antibody; TST antibody
-
宿主:Rabbit
-
反應種屬:Human, Rat
-
免疫原:Recombinant Human Thiosulfate sulfurtransferase protein (2-297AA)
-
免疫原種屬:Homo sapiens (Human)
-
標記方式:Non-conjugated
本頁面中的產品,TST Antibody (CSB-PA620980LA01HU),的標記方式是Non-conjugated。對于TST Antibody,我們還提供其他標記。見下表:
-
克隆類型:Polyclonal
-
抗體亞型:IgG
-
純化方式:>95%, Protein G purified
-
濃度:It differs from different batches. Please contact us to confirm it.
-
保存緩沖液:Preservative: 0.03% Proclin 300
Constituents: 50% Glycerol, 0.01M PBS, pH 7.4 -
產品提供形式:Liquid
-
應用范圍:ELISA, WB, IHC
-
推薦稀釋比:
Application Recommended Dilution WB 1:500-1:5000 IHC 1:200-1:500 -
Protocols:
-
儲存條件:Upon receipt, store at -20°C or -80°C. Avoid repeated freeze.
-
貨期:Basically, we can dispatch the products out in 1-3 working days after receiving your orders. Delivery time maybe differs from different purchasing way or location, please kindly consult your local distributors for specific delivery time.
-
用途:For Research Use Only. Not for use in diagnostic or therapeutic procedures.
相關產品
靶點詳情
-
功能:Formation of iron-sulfur complexes, cyanide detoxification or modification of sulfur-containing enzymes. Other thiol compounds, besides cyanide, can act as sulfur ion acceptors. Also has weak mercaptopyruvate sulfurtransferase (MST) activity. Together with MRPL18, acts as a mitochondrial import factor for the cytosolic 5S rRNA. Only the nascent unfolded cytoplasmic form is able to bind to the 5S rRNA.
-
基因功能參考文獻:
- TST mRNA expression in adipose tissue correlated positively with insulin sensitivity in adipose tissue and negatively with fat mass. PMID: 27270587
- show that polymorphic variations that are distant from the active site differentially modulate the sulfurtransferase activity of human rhodanese to cyanide versus sulfite PMID: 26269602
- Loss of Thiosulfate Sulfurtransferase is associated with decreased mucosal sulfide detoxification capacity in patients with Crohn's disease PMID: 23399736
- silencing of the rhodanese gene caused not only a proportional decrease of 5 S rRNA import but also a general inhibition of mitochondrial translation, indicating the functional importance of the imported 5 S rRNA inside the organelle. PMID: 20663881
- Proteomics was used to study colonic epithelial aging, for differential proteins in the human normal colonic epithelial tissues from young and old people. Rack1, EF-Tu and Rhodanese, three validated differential proteins, were further investigated. PMID: 20099848
- A partially gluconoylated N-terminus of the His6-tagged molybdenum cofactor synthesis 3 (MOCS3)-rhodanese-like domain is identified which results in a heterogeneity of the protein but does not influence sulfurtransferase activity. PMID: 15910006
- The USP8 recognition domain of NRDP1 has a novel protein fold that interacts with a conserved peptide loop of the rhodanese domain. PMID: 17035239
顯示更多
收起更多
-
亞細胞定位:Mitochondrion matrix.
-
數據庫鏈接:
Most popular with customers
-
-
YWHAB Recombinant Monoclonal Antibody
Applications: ELISA, WB, IHC, IF, FC
Species Reactivity: Human, Mouse, Rat
-
-
-
-
-
-















