TSPYL2 Antibody
-
中文名稱:TSPYL2兔多克隆抗體
-
貨號:CSB-PA120313
-
規格:¥1100
-
圖片:
-
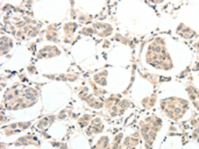
The image on the left is immunohistochemistry of paraffin-embedded Human esophagus cancer tissue using CSB-PA120313(TSPYL2 Antibody) at dilution 1/30, on the right is treated with synthetic peptide. (Original magnification: ×200)
-
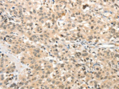
The image on the left is immunohistochemistry of paraffin-embedded Human breast cancer tissue using CSB-PA120313(TSPYL2 Antibody) at dilution 1/30, on the right is treated with synthetic peptide. (Original magnification: ×200)
-
-
其他:
產品詳情
-
Uniprot No.:
-
基因名:TSPYL2
-
別名:CASK interacting nucleosome assembly protein antibody; CDA1 antibody; Cell division autoantigen 1 antibody; Cell division autoantigen 1 nucleolar protein antibody; CTCL tumor antigen se20-4 antibody; CTCL-associated antigen se20-4 antibody; Cutaneous T-cell lymphoma-associated antigen se20-4 antibody; DENTT antibody; Differentially-expressed nucleolar TGF-beta1 target protein antibody; HRIHFB2216 antibody; NP79 antibody; Nuclear protein of 79 kDa antibody; Testis-specific Y-encoded-like protein 2 antibody; TSPX antibody; TSPY-like protein 2 antibody; TSPYL2 antibody; TSYL2_HUMAN antibody
-
宿主:Rabbit
-
反應種屬:Human
-
免疫原:Synthetic peptide of Human TSPYL2
-
免疫原種屬:Homo sapiens (Human)
-
標記方式:Non-conjugated
-
抗體亞型:IgG
-
純化方式:Antigen affinity purification
-
濃度:It differs from different batches. Please contact us to confirm it.
-
保存緩沖液:-20°C, pH7.4 PBS, 0.05% NaN3, 40% Glycerol
-
產品提供形式:Liquid
-
應用范圍:ELISA,IHC
-
推薦稀釋比:
Application Recommended Dilution ELISA 1:1000-1:5000 IHC 1:50-1:200 -
Protocols:
-
儲存條件:Upon receipt, store at -20°C or -80°C. Avoid repeated freeze.
-
貨期:Basically, we can dispatch the products out in 1-3 working days after receiving your orders. Delivery time maybe differs from different purchasing way or location, please kindly consult your local distributors for specific delivery time.
-
用途:For Research Use Only. Not for use in diagnostic or therapeutic procedures.
相關產品
靶點詳情
-
功能:Part of the CASK/TBR1/TSPYL2 transcriptional complex which modulates gene expression in response to neuronal synaptic activity, probably by facilitating nucleosome assembly. May inhibit cell proliferation by inducing p53-dependent CDKN1A expression.
-
基因功能參考文獻:
- Genome-wide polysome profiling shows that hCINAP selectively modulates cancer-associated translatome to promote malignancy. PMID: 27477389
- Aortic CDA1 expression was downregulated approximately 70% within biopsies from human abdominal aortic aneurysms. PMID: 29311219
- TSPY and TSPX exert opposing effects on the transactivation functions of AR and AR-Vs important for various physiological and disease processes sensitive to male sex hormone actions, thereby not only affecting the pathogenesis of male-specific prostate cancer but also likely contributing to sex differences in the health and diseases of man. PMID: 28169398
- the extent of the duplicated regions in each case encompassing a minimum of three known disease genes TSPYL2, KDM5C and IQSEC2, is reported. PMID: 26059843
- homozygous Asp3779Asn and a hemizygous Ile262Met mutations in the LRP2 and TSPYL2 genes, respectively, in a Pakistani family with two boys affected with mild nonsyndromic intellectual disability PMID: 26529358
- Authors demonstrate that human coilin-interacting nuclear ATPase protein (hCINAP) is a novel negative regulator in NF-kappaB signaling by deactivating IkappaB kinase (IKK) complex. PMID: 26089539
- TSPYL2 is an essential component of the REST/NRSF transcriptional complex for TGFbeta signaling activation PMID: 25613376
- Atrial fibrillation can result in alterations in atrial structure and architecture that make the atrial myocardium more susceptible to the maintenance of the arrhythmia. PMID: 25142742
- The oncogenic events leading to an ectopic activation of TSPY and/or inactivating mutation/epigenetic silencing of TSPX could collectively contribute to the sexual dimorphism(s) in HCC and related liver cancers in male-biased manners. PMID: 25017435
- More importantly, RPS14 was specifically modified with NEDD8 and hCINAP inhibited RPS14 NEDDylation by recruiting NEDD8-specific protease 1 PMID: 23246961
- hCINAP may not simply regulate nucleotide homeostasis, but may have broader functionality, including control of Cajal body assembly and disassembly PMID: 22038794
- TSPX is principally expressed in Sertoli cells in the human testis. PMID: 21204751
- knockdown of CINAP expression results in marked reduction of histone transcription, lower levels of U small nuclear RNAs (U1, U2, U4, and U5), and a loss of cell viability PMID: 20186459
- hCINAP is a novel coilin-interacting protein encoded by a transcript from the transcription factor TAFIID32 locus PMID: 16079131
- Overexpression of cell division autoantigen-1 (CDA1) slowed parasite growth and induced expression of bradyzoite-specific proteins. Results showed that changes in host cell transcription can influence the molecular environment for bradyzoite development. PMID: 17069459
- CDA1 induces p53- and MEK/ERK1/2 MAPK-dependent expression of p21 by acting through the p53 responsive element in the p21 promoter and this contributes to its antiproliferative activity PMID: 17317670
- a role for DENTT as a suppressor of the tumorigenic phenotype. PMID: 18381359
- This paper characterizes monkey DENTT cDNA and makes a comparison with human and mouse DENTT PMID: 15823505
顯示更多
收起更多
-
亞細胞定位:Nucleus. Cytoplasm.
-
蛋白家族:Nucleosome assembly protein (NAP) family
-
組織特異性:Ubiquitously expressed, with highest levels in brain, testis and heart, and lowest levels in liver and pancreas.
-
數據庫鏈接:
Most popular with customers
-
-
YWHAB Recombinant Monoclonal Antibody
Applications: ELISA, WB, IHC, IF, FC
Species Reactivity: Human, Mouse, Rat
-
-
-
-
-
-















