TSPAN12 Antibody
-
中文名稱:TSPAN12兔多克隆抗體
-
貨號:CSB-PA025149LA01HU
-
規格:¥440
-
圖片:
-
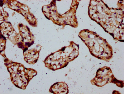
IHC image of CSB-PA025149LA01HU diluted at 1:400 and staining in paraffin-embedded human placenta tissue performed on a Leica BondTM system. After dewaxing and hydration, antigen retrieval was mediated by high pressure in a citrate buffer (pH 6.0). Section was blocked with 10% normal goat serum 30min at RT. Then primary antibody (1% BSA) was incubated at 4°C overnight. The primary is detected by a biotinylated secondary antibody and visualized using an HRP conjugated SP system.
-
Immunofluorescence staining of A549 cells with CSB-PA025149LA01HU at 1:133, counter-stained with DAPI. The cells were fixed in 4% formaldehyde, permeabilized using 0.2% Triton X-100 and blocked in 10% normal Goat Serum. The cells were then incubated with the antibody overnight at 4°C. The secondary antibody was Alexa Fluor 488-congugated AffiniPure Goat Anti-Rabbit IgG(H+L).
-
-
其他:
產品詳情
-
產品名稱:Rabbit anti-Homo sapiens (Human) TSPAN12 Polyclonal antibody
-
Uniprot No.:
-
基因名:TSPAN12
-
別名:TSPAN12; NET2; TM4SF12; UNQ774/PRO1568; Tetraspanin-12; Tspan-12; Tetraspan NET-2; Transmembrane 4 superfamily member 12
-
宿主:Rabbit
-
反應種屬:Human
-
免疫原:Recombinant Human Tetraspanin-12 protein (111-224AA)
-
免疫原種屬:Homo sapiens (Human)
-
標記方式:Non-conjugated
本頁面中的產品,TSPAN12 Antibody (CSB-PA025149LA01HU),的標記方式是Non-conjugated。對于TSPAN12 Antibody,我們還提供其他標記。見下表:
-
克隆類型:Polyclonal
-
抗體亞型:IgG
-
純化方式:>95%, Protein G purified
-
濃度:It differs from different batches. Please contact us to confirm it.
-
保存緩沖液:Preservative: 0.03% Proclin 300
Constituents: 50% Glycerol, 0.01M PBS, pH 7.4 -
產品提供形式:Liquid
-
應用范圍:ELISA, IHC, IF
-
推薦稀釋比:
Application Recommended Dilution IHC 1:200-1:500 IF 1:50-1:200 -
Protocols:
-
儲存條件:Upon receipt, store at -20°C or -80°C. Avoid repeated freeze.
-
貨期:Basically, we can dispatch the products out in 1-3 working days after receiving your orders. Delivery time maybe differs from different purchasing way or location, please kindly consult your local distributors for specific delivery time.
-
用途:For Research Use Only. Not for use in diagnostic or therapeutic procedures.
相關產品
靶點詳情
-
功能:Regulator of cell surface receptor signal transduction. Plays a central role in retinal vascularization by regulating norrin (NDP) signal transduction. Acts in concert with norrin (NDP) to promote FZD4 multimerization and subsequent activation of FZD4, leading to promote accumulation of beta-catenin (CTNNB1) and stimulate LEF/TCF-mediated transcriptional programs. Suprisingly, it only activate the norrin (NDP)-dependent activation of FZD4, while it does not activate the Wnt-dependent activation of FZD4, suggesting the existence of a Wnt-independent signaling that also promote accumulation the beta-catenin (CTNNB1). Acts as a regulator of membrane proteinases such as ADAM10 and MMP14/MT1-MMP. Activates ADAM10-dependent cleavage activity of amyloid precursor protein (APP). Activates MMP14/MT1-MMP-dependent cleavage activity.
-
基因功能參考文獻:
- This is the first study to report a group of patients with digenic familial exudative vitreoretinopathy (FEVR). In most affected eyes, the stage was more severe than stage 3. We speculate that the phenotype of FEVR is more severe in patients with digenic rather than monogenic variants of FEVR-related genes. PMID: 30097784
- We identified two novel heterozygous deletion mutations [LRP5, c.4053 DelC (p.Ile1351IlefsX88); TSPAN12, EX8Del] using targeted NGS as a causative mutation for Familial exudative vitreoretinopathy (FEVR). PMID: 28867931
- The screening of candidate genes namely NDP, FZD4 and TSPAN12 led to the identification of six major coding region variants in 36 ROP probands. PMID: 28982955
- The novel variant p.Cys189Arg in TSPAN12 was not identified in the affected 14-year-old daughter. Thus, we conclude that the heterozygous FZD4 missense variant c.349T>C most likely represents a causative dominant mutation in this family with FEVR. PMID: 28211206
- Probands with LRP5 or NDP mutations were mainly categorized into group III and IV, TSPAN12 mutations were mainly observed in probands with group IV and V FEVR. PMID: 29181528
- Among the detected mutations, LRP5 accounted for the largest proportion with a mean mutation rate of 16.1% (5/31, 16.1%), followed by NDP (3/31, 9.7%), FZD4 (2/31, 6.5%), TSPAN12 (1/31, 3.2%), and KIF11 (1/31, 3.2%). All the novel changes were predicted to be pathogenic by a series of bioinformatics analyses. PMID: 28494495
- FEVR-associated genes contributing to the disorder's autosomal dominant inheritance pattern in Korea, we determined that patients with TSPAN12 large deletions were more common than patients with single nucleotide variants in TSPAN12. PMID: 28002565
- TSPAN12 promotes chemoresistance and proliferation of small cell lung carcinoma under the regulation of miR-495. PMID: 28302484
- Several novel mutations (missense, non-stop and insertion) were detected in the coding regions of FZD4, TSPAN12 and ZNF408 genes among the unrelated vitreoretinopathy probands.The mutations in FZD4 and TSPAN12 were involved in autosomal dominant and autosomal recessive families and further validates the involvement of these gene in familial exudative vitreoretinopathy development. PMID: 27316669
- The authors report a case of familial exudative vitreoretinopathy in the spectrum of osteoporosis pseudoglioma syndrome associated with novel mutations of the LRP5 and TSPAN12 genes that resulted in a phenotype similar to bilateral persistent fetal vasculature. PMID: 27007396
- Among the patients with pathogenic mutations detected, FZD4 mutations accounted for the largest proportion of autosomal inheritance FEVR cases (13/18 patients, 72.2%), followed by LRP5 (4/18 patients, 22.2%) and TSPAN12 (1/18 patients, 5.6%). PMID: 26244290
- Here we describe a case of a female infant affected by cystic fibrosis and by a severe form of exudative vitreoretinopathy. In particular, we have detected the homozygous missense mutation c.668 T > C in TSPAN12. PMID: 23834558
- Novel mutation in TSPAN12 leads to autosomal recessive inheritance of congenital vitreoretinal disease with intra-familial phenotypic variability. PMID: 25250762
- Novel mutations have been described in the TSPAN12 gene in Chinese patients with familial exudative vitreoretinopathy. PMID: 25352738
- These results suggest that stroma-derived p53 plays a pivotal role in epithelial cancer progression and that TSPAN12 and CXCL6 are potential targets for lung cancer therapy. PMID: 25512506
- TSPAN12 plays a role in supporting primary tumor growth and suppressing metastasis. PMID: 23955570
- This study is the first report of recessive mutations in TSPAN12 and shows that patients with two mutant alleles have a severe form of FEVR or retinal dysplasia, whereas heterozygous family members have mild familial exudative vitreoretinopathy phenotypes PMID: 22427576
- The largest miRNA-146a-TSPAN12 response to stress of amyloidbeta peptide + tumor necrosis factoralpha is found in human neuronal glial cells from Alzheimer brain. PMID: 21640790
- We speculate that haploinsufficiency of TSPAN12 contributes to PHPV. PMID: 21626674
- TSPAN12 mutations are responsible for familial exudative vitreoretinopathy (FEVR). The phenotypes associated with TSPAN12 mutations showed great variations between different individuals within a family and between the two eyes in individual patients. PMID: 21552475
- The results provide further evidence that mutations in TSPAN12 are familial exudative vitreoretinopathy (FEVR) causing and that the gene products most likely play a role in the development of retinal vessels. PMID: 21334594
- TSPAN12 promotes Norrin/Frizzled-4 signaling during retinal vascularization. PMID: 19837033
- Sequence analysis of TSPAN12 revealed two mutations segregating in five of 11 familial exudative vitreoretinopathy families (FEVR), indicating that mutations in TSPAN12 are a relatively frequent cause of FEVR. PMID: 20159111
- Mutations in TSPAN12 also cause autosomal-dominant familial exudative vitreoretinopathy. PMID: 20159112
- TSPAN12 serves as a novel and robust partner for ADAM10 and promotes ADAM10 maturation, thereby facilitating ADAM10-dependent proteolysis of APP. PMID: 19587294
顯示更多
收起更多
-
相關疾病:Vitreoretinopathy, exudative 5 (EVR5)
-
亞細胞定位:Cell membrane; Multi-pass membrane protein.
-
蛋白家族:Tetraspanin (TM4SF) family
-
數據庫鏈接:
Most popular with customers
-
-
YWHAB Recombinant Monoclonal Antibody
Applications: ELISA, WB, IHC, IF, FC
Species Reactivity: Human, Mouse, Rat
-
Phospho-YAP1 (S127) Recombinant Monoclonal Antibody
Applications: ELISA, WB, IHC
Species Reactivity: Human
-
-
-
-
-















