TRPM1 Antibody
-
中文名稱:TRPM1兔多克隆抗體
-
貨號:CSB-PA244928
-
規格:¥1100
-
圖片:
-
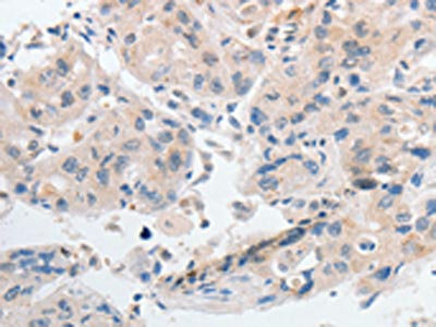
The image on the left is immunohistochemistry of paraffin-embedded Human liver cancer tissue using CSB-PA244928(TRPM1 Antibody) at dilution 1/30, on the right is treated with synthetic peptide. (Original magnification: ×200)
-
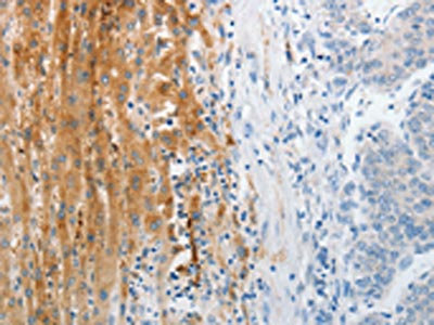
The image on the left is immunohistochemistry of paraffin-embedded Human lung cancer tissue using CSB-PA244928(TRPM1 Antibody) at dilution 1/30, on the right is treated with synthetic peptide. (Original magnification: ×200)
-
-
其他:
產品詳情
-
Uniprot No.:
-
基因名:
-
別名:CSNB1C antibody; Long transient receptor potential channel 1 antibody; LTrpC1 antibody; Melastatin 1 antibody; Melastatin-1 antibody; MLSN1 antibody; Transient receptor potential cation channel subfamily M member 1 antibody; Transient receptor potential cation channel, subfamily M, member 1 antibody; Transient receptor potential melastatin family antibody; TRPM1 antibody; TRPM1 protein antibody; TRPM1_HUMAN antibody; Weakly similar to F54D1.5 [C.elegans] antibody
-
宿主:Rabbit
-
反應種屬:Human,Mouse,Rat
-
免疫原:Synthetic peptide of Human TRPM1
-
免疫原種屬:Homo sapiens (Human)
-
標記方式:Non-conjugated
-
抗體亞型:IgG
-
純化方式:Antigen affinity purification
-
濃度:It differs from different batches. Please contact us to confirm it.
-
保存緩沖液:-20°C, pH7.4 PBS, 0.05% NaN3, 40% Glycerol
-
產品提供形式:Liquid
-
應用范圍:ELISA,IHC
-
推薦稀釋比:
Application Recommended Dilution ELISA 1:1000-1:5000 IHC 1:25-1:100 -
Protocols:
-
儲存條件:Upon receipt, store at -20°C or -80°C. Avoid repeated freeze.
-
貨期:Basically, we can dispatch the products out in 1-3 working days after receiving your orders. Delivery time maybe differs from different purchasing way or location, please kindly consult your local distributors for specific delivery time.
-
用途:For Research Use Only. Not for use in diagnostic or therapeutic procedures.
相關產品
靶點詳情
-
功能:Forms nonselective divalent cation-conducting channels which mediate the influx of Na(2+), Ca(2+), Mg(2+), Mn(2+), Ba(2+), and Ni(2+) into the cytoplasm, leading to membrane depolarization. Impermeable to zinc ions. In addition, forms heteromultimeric ion channels with TRPM3 which are permeable for calcium and zinc ions. Essential for the depolarizing photoresponse of retinal ON bipolar cells. It is part of the GRM6 signaling cascade. May play a role in metastasis suppression. May act as a spontaneously active, calcium-permeable plasma membrane channel.
-
基因功能參考文獻:
- We have confirmed the TRPM1 36,445 bp deletion is a founder mutation in the Ashkenazi-Jewish (AJ) population with a carrier rate of 1 in 50. We have also confirmed the 35,741 bp deletion in the CACNA2D4 gene is a founder mutation in the AJ population with a carrier rate of 1 in 56. PMID: 28726569
- These results show that joint tests of main effects and gene-gene interaction reveal associations at some novel loci that were missed when considering main effects alone. PMID: 28813576
- Loss of TRPM1 mRNA expression appears to be a crucial event in the progression of melanoma to a more malignant, metastatic phenotype. PMID: 27987328
- This study reveals the structural underpinnings of TRPML1's regulation, assembly and pathogenesis. PMID: 28112729
- Affected family members harboured the homozygous 1-bp deletion c.2394delC in exon 18 of the TRPM1 gene, whereas their unaffected parents were heterozygous carriers. PMID: 27084085
- genotype-phenotype correlations showed that this eye phenotype was secondary to homozygous deletion of TRPM1, the gene responsible for autosomal recessive congenital stationary night blindness. The main differential diagnosis is ceroid lipofuscinosis. PMID: 24668847
- these data indicate that purified TRPM1 is mostly dimeric. The three-dimensional structure of TRPM1 dimers is characterized by a small putative transmembrane domain and a larger domain with a hollow cavity. PMID: 25112866
- visual deficits in melanoma associated retinopathy are caused by the uptake of TRPM1 autoantibodies into ON-bipolar cells PMID: 23936334
- This is the first reported case of a melanoma-associated retinopathy diagnosed utilizing the innovative approach of testing for serum TRPM1 autoantibodies. PMID: 24053997
- These data suggest differences in coupling of TRPM1 function to mGluR6 signaling explain different cellular responses to glutamate in the retina and the skin. PMID: 23452348
- We found 13 different mutations in the TRPM1 gene in congenital stationary night blindness. PMID: 23714322
- The results expand the mutation spectrum of NYX, CACNA1F and GRM6. They also suggest that NYX mutations are a common cause of congenital stationary night blindness (CSNB),No variations were found in TRPM1. PMID: 22735794
- present investigation found no evidence for an association between sequence variation at the TRPM1 gene and albumin-to-creatinine ratio in Mexican Americans, although it appears to have modest influence on T2DM risk factors PMID: 21439949
- In the human retina TRPM1 is expressed on ON-bipolar cell dendrites that invaginate photoreceptor terminals and is also expressed on the synaptic ribbons of a subclass of rods, suggesting a dual function for TRPM1 in the ON-pathway. PMID: 21896854
- A proteomic search for proteins associated with nyctalopin in the retina identifies TRPM1 as the binding partner. PMID: 21832182
- This study reveals TRPM1 to be one of the autoantigens targeted by autoantibodies in at least some patients with cancer-associated retinopathy or melanoma-associated retinopathy associated with retinal ON bipolar cell dysfunction. PMID: 21611200
- Data demonstrate that TRPM1 proteins are bona fide ion-conducting plasma membrane channels. PMID: 21278253
- summarize and discuss our present knowledge of TRPM1: its discovery, expression, regulation, and proposed functions in skin and eye PMID: 21290293
- This review covers the significant discoveries related to the physiological function and regulatory mechanism of the TRPM1 channel in retinal ON bipolar cells and the association of human TRPM1 mutations. PMID: 20846719
- TRPM1 is mutated in patients with autosomal-recessive congenital stationary night blindness. PMID: 20346272
- Human TRPM1 mutations are associated with the complete form of congenital stationary night blindness in Japanese patients. PMID: 20300565
- studies identify MITF as a major transcriptional regulator of TRPM1 and suggest that its prognostic value may be linked to MITF-mediated regulation of cellular differentiation PMID: 14744763
- These findings suggest that the pattern of TRPM1 mRNA expression may be helpful in the differentiation of Spitz nevi and nodular melanomas. PMID: 19396153
- Data suggest that TRPM1 is an ion channel whose function is critical to normal melanocyte pigmentation and is thus a potential target for pigmentation disorders. PMID: 19436059
- The regulation of TRPM1 by ultraviolet and its role in melanogenesis in epidermal melanocytes are reported. PMID: 19587221
- Recessive mutations of TRPM1 abrogate ON bipolar cell function and cause complete congenital stationary night blindness. PMID: 19878917
- [REVIEW] TRPM1 and TRPM2, are localized in intracellular compartments and are involved in melanin synthesis and oxidative stress-induced cell death PMID: 19887679
- Mutations in TRPM1 are a common cause of complete congenital stationary night blindness. PMID: 19896109
- TRPM1 is mutated in patients with autosomal-recessive complete congenital stationary night blindness. PMID: 19896113
顯示更多
收起更多
-
相關疾病:Night blindness, congenital stationary, 1C (CSNB1C)
-
亞細胞定位:Cell membrane; Multi-pass membrane protein. Endoplasmic reticulum membrane; Multi-pass membrane protein. Cell projection, axon.
-
蛋白家族:Transient receptor (TC 1.A.4) family, LTrpC subfamily, TRPM1 sub-subfamily
-
組織特異性:Expressed in the retina where it localizes to the outer plexiform layer. Specifically, it is expressed in retinal bipolar cells (BPCs) of the ON subtype. Highly expressed in benign melanocytic nevi and diffusely expressed in various in situ melanomas, but
-
數據庫鏈接:
Most popular with customers
-
YWHAB Recombinant Monoclonal Antibody
Applications: ELISA, WB, IHC, IF, FC
Species Reactivity: Human, Mouse, Rat
-
Phospho-YAP1 (S127) Recombinant Monoclonal Antibody
Applications: ELISA, WB, IHC
Species Reactivity: Human
-
-
-
-
-
-















