TRPC1 Antibody
-
中文名稱:TRPC1兔多克隆抗體
-
貨號:CSB-PA025075LA01HU
-
規格:¥440
-
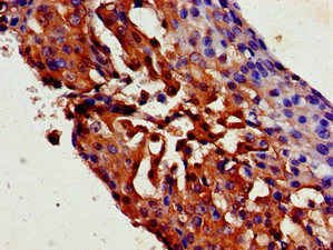
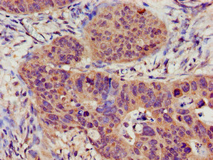
圖片:
-
其他:
產品詳情
-
產品名稱:Rabbit anti-Homo sapiens (Human) TRPC1 Polyclonal antibody
-
Uniprot No.:
-
基因名:
-
別名:HTRP 1 antibody; HTRP1 antibody; MGC133334 antibody; MGC133335 antibody; Mtrp1 antibody; Short transient receptor potential channel 1 antibody; Transient receptor potential canonical 1 antibody; Transient receptor potential cation channel subfamily C member 1 antibody; Transient receptor potential channel 1 antibody; Transient receptor protein 1 antibody; TRP 1 antibody; TRP 1 protein antibody; Trp related protein 1 antibody; TRP-1 antibody; TRP1 antibody; TRP1 protein antibody; TrpC1 antibody; Trpc1 transient receptor potential cation channel subfamily C member 1 antibody; TRPC1_HUMAN antibody; Trrp1 antibody
-
宿主:Rabbit
-
反應種屬:Human
-
免疫原:Recombinant Human Short transient receptor potential channel 1 protein (39-207AA)
-
免疫原種屬:Homo sapiens (Human)
-
標記方式:Non-conjugated
本頁面中的產品,TRPC1 Antibody (CSB-PA025075LA01HU),的標記方式是Non-conjugated。對于TRPC1 Antibody,我們還提供其他標記。見下表:
-
克隆類型:Polyclonal
-
抗體亞型:IgG
-
純化方式:>95%, Protein G purified
-
濃度:It differs from different batches. Please contact us to confirm it.
-
保存緩沖液:Preservative: 0.03% Proclin 300
Constituents: 50% Glycerol, 0.01M PBS, pH 7.4 -
產品提供形式:Liquid
-
應用范圍:ELISA, IHC
-
推薦稀釋比:
Application Recommended Dilution IHC 1:20-1:200 -
Protocols:
-
儲存條件:Upon receipt, store at -20°C or -80°C. Avoid repeated freeze.
-
貨期:Basically, we can dispatch the products out in 1-3 working days after receiving your orders. Delivery time maybe differs from different purchasing way or location, please kindly consult your local distributors for specific delivery time.
-
用途:For Research Use Only. Not for use in diagnostic or therapeutic procedures.
相關產品
靶點詳情
-
功能:Thought to form a receptor-activated non-selective calcium permeant cation channel. Probably is operated by a phosphatidylinositol second messenger system activated by receptor tyrosine kinases or G-protein coupled receptors. Seems to be also activated by intracellular calcium store depletion.
-
基因功能參考文獻:
- these results suggest that dopaminergic neurotoxins initially decreased Ca(2+) entry, which inhibited the binding of NF-kappaB to the TRPC1 promoter, thereby inhibiting TRPC1 expression and resulting in cell death by preventing autophagy. PMID: 29150520
- TRPC1 regulated HIF1alpha levels in PTEN-deficient MDA-MB-468 and HCC1569 breast cancer cell lines. This regulation arises from effects on the constitutive translation of HIF1alpha under normoxic conditions via an Akt-dependent pathway. PMID: 28559303
- Store-operated calcium entry (SOCE), a unique plasma membrane Ca(2+) entry mechanism, is activated when ER-[Ca(2+)] is decreased. SOCE is mediated via the primary channel, Orai1, as well as others such as TRPC1. PMID: 29594865
- the role of TRPC1 in the development of podocyte injury and disorders of the podocyte cytoskeleton, which may contribute to the development of novel therapeutics for podocyte injury-associated kidney diseases. PMID: 28949388
- TRPC1 is a primary candidate in forming SOCC that stimulates CaSRinduced SOCE and NO production in HUVECs PMID: 28791397
- role in the odontoblast-like differentiation of dental pulp cells PMID: 28041683
- Data show that RNAi-mediated knockdown of KCa3.1 and/or TRPC1 leads to a significant decrease in cell proliferation due to cell cycle arrest in the G1 phase PMID: 27183905
- Data indicate that the inhibition of the Store Operated Calcium Entry (SOCE)-dependent colon cancer cell migration through SK3/TRPC1/Orai1 channel complex by the alkyl-lipid Ohmline may be a strategy to modulate Anti-EGFR mAb action in metastatic colorectal cancer (mCRC). PMID: 27102434
- These observations suggest that mechanical stretch may induce an influx of Ca(2+) and up-regulation of IL-13 and MMP-9 expression in 16HBE cells via activation of TRPC1 PMID: 27986325
- These findings suggest identification of an important experimental tool compound, which has much higher potency for inhibiting TRPC1/4/5 channels than previously reported agents, impressive specificity, and graded subtype selectivity within the TRPC1/4/5 channel family. PMID: 28325835
- changes in cell cycle regulating genes in TRPC1-silenced cells indicate possible cell cycle arrest along with compensatory up-regulation of ERBB3 growth factor receptor-amongst others-to maintain hepatocellular carcinoma cell proliferation. PMID: 27443843
- OC. Our results provide the basis for further investigations of the drug-resistance-related functions of TRPC1 in ovarian cancer and other forms of cancer. PMID: 26647723
- TRPC1 mRNA and protein levels were increased in FCDIa, FCDIIa, and FCDIIb patients. PMID: 26280213
- HIF-1alpha knockdown attenuated hypoxia-induced BMP4 expression and knockdown of either HIF-1alpha or BMP4 abolished hypoxia-induced TRPC expression and basal [Ca(2+)]i. PMID: 25824146
- In c-kit+ cardiac progenitor cells, silencing TRPC1 significantly reduced the Ca2+ signaling through store-operated Ca2+ channels, decreased cell proliferation and migration, and reduced expression of cyclin D1, cyclin E, and/or p-Akt. PMID: 26453325
- RhoA interacts with and activates TRPC1 and thus stimulates rapid epithelial restitution after injury by inducing Ca(2+) signaling. PMID: 26336927
- TRPC1 may take part both in regulation of store-operated Ca(2+) entry and proliferation of hepatocellular carcinoma cells. PMID: 25960236
- The decrease in mitochondrial Ca(2+) loading following CPA-induced endoplasmic reticulum depletion in TRPC1-silenced Huh7 cells suggests a possible role of TRPC1 in hepatocellular carcinoma cell apoptosis. PMID: 25535724
- TRPC1 functions as a major regulator of S1P3 and VEGFR2 expression. PMID: 25971967
- The present study revealed that 11,12-EET targets the TRPV4-TRPC1-KCa1.1 complex to induce smooth muscle cell hyperpolarization and vascular relaxation in human LIMAs. PMID: 25511389
- Our results suggest that IFC detects changes in whole-cell membrane organization associated with TRPC1 activation and surface expression, rather than cation permeation through the channel per se PMID: 24639248
- TRPV4, TRPC1, and TRPP2 contribute to the ion permeation pore of the channels. PMID: 25114176
- A role for TRPC1 as an integral component of store-operated calcium entry was identified. PMID: 25133583
- the reciprocal shift in transient receptor potential channel 1 (TRPC1) and stromal interaction molecule 2 (STIM2) contributes to Ca2+ remodeling and cancer hallmarks in colorectal carcinoma cells PMID: 25143380
- TRPC1 is involved in the cytotoxicity and entry of Pb(2+) through molecular interactions with STIM1 and subsequent Ca(2+) influx PMID: 24953315
- The Cl(-) channels could be an important downstream target of TRPC1 in many other cells types, coupling elevations in [Ca(2+)]i to the shape and volume changes associated with migrating cells. PMID: 23261316
- TRPC1 polymorphisms are associated with type 1 and type 2 diabetes mellitus in the Han Chinese population. PMID: 23544998
- the enhanced apoptosis caused by the simultaneous depletion of Dp53 and Dmp52 is absolutely JNK-dependent. PMID: 23549783
- TRPC1 protein forms only one type of native store-operated channels in HEK293 cells. PMID: 23079337
- findings reveal that Orai1 and TRPC1 mediate distinct local and global Ca(2+) signals following agonist stimulation of cells PMID: 23115638
- It plays a significance role in pathophysiological activation of astrocytes.(review) PMID: 22687694
- a functional interaction of TRPC1 with TRPV6 that negatively regulates Ca(2+) influx in HEK293 cells. PMID: 22932896
- TRPC1 is upregulated in G1 phase as compared with S phase, concomitant with an increased rate of regulatory cell volume decrease. PMID: 22744003
- Adipocyte TRPC1 and TRPC5 channel subunits contribute a constitutively active heteromultimeric channel that negatively regulates adiponectin, and through which the omega-3 fatty acids enhance adiponectin's anti-inflammatory activities. PMID: 22668831
- Data suggest that up-regulation of TRPC1 and consequent enhancement of calcium influx are crucial steps in decidualization of endometrial stromal cells probably via p-CREB-dependent transcriptional activity associated with FOXO1 activation. PMID: 22474110
- TRPC1 can modulate the metastasis of nasopharyngeal carcinoma (NPC). PMID: 22367186
- EGF, induced Ca(2+) release from the endoplasmic reticulum and Ca(2+) entry through TRPC1. Ca(2+) entry through TRPC1 conversely activated EGFR, suggesting that TRPC1 is a component of a Ca(2+)-dependent amplification of EGF-dependent cell proliferation. PMID: 22451676
- In a human neuroblastoma cell line, endogenous store-operated Ca2+ entry is dependent on TRPC1 activity. Neurotoxin treatment decreased TRPC1 expression, TRPC1 interaction with the SOCE modulator STIM1, and Ca2+ entry into the cells. PMID: 22446186
- a novel regulatory mechanism relying on the expression of TRPC1 and the subsequent formation of heteromeric TRPC channel complexes with reduced calcium permeability, thereby fine-tuning neuronal migration. PMID: 22157757
- critical aspects of the TRPC1 channelosome that are involved in the regulation of TRPC1 function and TRPC1-SOC-generated Ca2+ signals. PMID: 21747233
- Extensive TRPC1 transcript alternative splicing was observed, with exons 2, 3 and 5-9 frequently omitted, leading to variants containing premature termination codons. PMID: 21749700
- The cytoskeleton plays an essential role in regulation of store-operated calcium entry in the plasma membrane via modulation of the interaction between TRPC1 or calcium release-activated calcium modulator 1 (Orai1) and STIM1. PMID: 21640715
- TRPC1 expression is regulated by Orai1 to modulate and maintain Ca(2)+ signals. PMID: 21408196
- Data indicate that TRPC1 channel association with lipid rafts is essential for glioma chemotaxis in response to stimuli, such as EGF. PMID: 21506118
- results suggest that TRPC1 channels play an important role in glioma cell division most likely by regulating calcium signaling during cytokinesis PMID: 20544850
- Studies indicate that TRPC1, TRPC3, TRPC4, TRPC5 and TRPC6 channels are expressed in vascular smooth muscle cells from vessels of all calibers and in smooth muscle from organs such as the uterus and the gastrointestinal tract. PMID: 20515740
- results show that TRPC1 channels play a role in Ca(2+) influx and Ca(2+) homeostasis deregulation that mediate apoptosis induced by oxLDL PMID: 20187291
- TRPC1 is the generally expressed genes in normal and adenomatous human parathyroids. PMID: 20194530
- This study shows that TRPC1 interacts physically with TRPV4 to form a complex, and this TRPV4-TRPC1 complex may mediate flow-induced Ca(2+) influx in vascular endothelial cells. PMID: 20093626
- TrpC1 and TrpC4 Regulate Neurite Extension in human embryonic stem cell-Derived Neurons PMID: 19725137
顯示更多
收起更多
-
亞細胞定位:Membrane; Multi-pass membrane protein.
-
蛋白家族:Transient receptor (TC 1.A.4) family, STrpC subfamily, TRPC1 sub-subfamily
-
組織特異性:Seems to be ubiquitous.
-
數據庫鏈接:
Most popular with customers
-
-
YWHAB Recombinant Monoclonal Antibody
Applications: ELISA, WB, IHC, IF, FC
Species Reactivity: Human, Mouse, Rat
-
Phospho-YAP1 (S127) Recombinant Monoclonal Antibody
Applications: ELISA, WB, IHC
Species Reactivity: Human
-
-
-
-
-















