TRMT112 Antibody
-
中文名稱:TRMT112兔多克隆抗體
-
貨號:CSB-PA883416LA01HU
-
規格:¥440
-
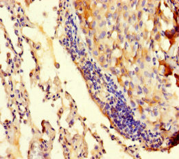
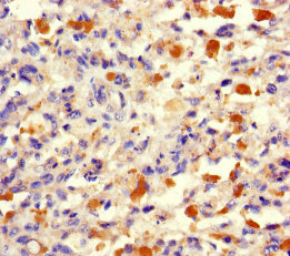
圖片:
-
其他:
產品詳情
-
產品名稱:Rabbit anti-Homo sapiens (Human) TRMT112 Polyclonal antibody
-
Uniprot No.:
-
基因名:TRMT112
-
別名:TRMT112 antibody; AD-001 antibody; HSPC152 antibody; HSPC170 antibody; Multifunctional methyltransferase subunit TRM112-like protein antibody; tRNA methyltransferase 112 homolog antibody
-
宿主:Rabbit
-
反應種屬:Human
-
免疫原:Recombinant Human tRNA methyltransferase 112 homolog protein (1-125AA)
-
免疫原種屬:Homo sapiens (Human)
-
標記方式:Non-conjugated
本頁面中的產品,TRMT112 Antibody (CSB-PA883416LA01HU),的標記方式是Non-conjugated。對于TRMT112 Antibody,我們還提供其他標記。見下表:
-
克隆類型:Polyclonal
-
抗體亞型:IgG
-
純化方式:>95%, Protein G purified
-
濃度:It differs from different batches. Please contact us to confirm it.
-
保存緩沖液:Preservative: 0.03% Proclin 300
Constituents: 50% Glycerol, 0.01M PBS, PH 7.4 -
產品提供形式:Liquid
-
應用范圍:ELISA, IHC
-
推薦稀釋比:
Application Recommended Dilution IHC 1:20-1:200 -
Protocols:
-
儲存條件:Upon receipt, store at -20°C or -80°C. Avoid repeated freeze.
-
貨期:Basically, we can dispatch the products out in 1-3 working days after receiving your orders. Delivery time maybe differs from different purchasing way or location, please kindly consult your local distributors for specific delivery time.
-
用途:For Research Use Only. Not for use in diagnostic or therapeutic procedures.
相關產品
靶點詳情
-
功能:Acts as an activator of both rRNA/tRNA and protein methyltransferases. Together with methyltransferase BUD23, methylates the N(7) position of a guanine in 18S rRNA. The heterodimer with HEMK2/N6AMT1 catalyzes N5-methylation of ETF1 on 'Gln-185', using S-adenosyl L-methionine as methyl donor. The heterodimer with HEMK2/N6AMT1 also monomethylates 'Lys-12' of histone H4 (H4K12me1). The heterodimer with ALKBH8 catalyzes the methylation of 5-carboxymethyl uridine to 5-methylcarboxymethyl uridine at the wobble position of the anticodon loop in target tRNA species. Involved in the pre-rRNA processing steps leading to small-subunit rRNA production. Together with methyltransferase METTL5, specifically methylates the 6th position of adenine in position 1832 of 18S rRNA.
-
基因功能參考文獻:
- The localization of the TRMT112 protein is determined by WBSCR22, and the WBSCR22-TRMT112 complex is localized in the cell nucleus. PMID: 26214185
-
亞細胞定位:Nucleus, nucleoplasm. Cytoplasm, perinuclear region.
-
蛋白家族:TRM112 family
-
數據庫鏈接:
Most popular with customers
-
-
YWHAB Recombinant Monoclonal Antibody
Applications: ELISA, WB, IHC, IF, FC
Species Reactivity: Human, Mouse, Rat
-
Phospho-YAP1 (S127) Recombinant Monoclonal Antibody
Applications: ELISA, WB, IHC
Species Reactivity: Human
-
-
-
-
-















