TRIM69 Antibody
-
中文名稱:TRIM69兔多克隆抗體
-
貨號:CSB-PA992772
-
規格:¥1100
-
圖片:
-
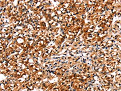
The image on the left is immunohistochemistry of paraffin-embedded Human esophagus cancer tissue using CSB-PA992772(TRIM69 Antibody) at dilution 1/40, on the right is treated with fusion protein. (Original magnification: ×200)
-
The image on the left is immunohistochemistry of paraffin-embedded Human prostate cancer tissue using CSB-PA992772(TRIM69 Antibody) at dilution 1/40, on the right is treated with fusion protein. (Original magnification: ×200)
-
-
其他:
產品詳情
-
Uniprot No.:
-
基因名:TRIM69
-
別名:E3 ubiquitin protein ligase TRIM69 antibody; HSD34 antibody; RFP like domain containing protein trimless antibody; RFP-like domain-containing protein trimless antibody; RING finger protein 36 antibody; RNF36 antibody; TRI69_HUMAN antibody; Trif antibody; Trim69 antibody; Trimless antibody; Tripartite motif containing 69 antibody; tripartite motif containing protein 69 antibody; tripartite motif protein 69 antibody; Tripartite motif-containing protein 69 antibody
-
宿主:Rabbit
-
反應種屬:Human,Mouse,Rat
-
免疫原:Fusion protein of Human TRIM69
-
免疫原種屬:Homo sapiens (Human)
-
標記方式:Non-conjugated
-
抗體亞型:IgG
-
純化方式:Antigen affinity purification
-
濃度:It differs from different batches. Please contact us to confirm it.
-
保存緩沖液:-20°C, pH7.4 PBS, 0.05% NaN3, 40% Glycerol
-
產品提供形式:Liquid
-
應用范圍:ELISA,IHC
-
推薦稀釋比:
Application Recommended Dilution ELISA 1:1000-1:5000 IHC 1:35-1:150 -
Protocols:
-
儲存條件:Upon receipt, store at -20°C or -80°C. Avoid repeated freeze.
-
貨期:Basically, we can dispatch the products out in 1-3 working days after receiving your orders. Delivery time maybe differs from different purchasing way or location, please kindly consult your local distributors for specific delivery time.
-
用途:For Research Use Only. Not for use in diagnostic or therapeutic procedures.
相關產品
靶點詳情
-
功能:May have E3 ubiquitin-protein ligase activity. May play a role in apoptosis.
-
基因功能參考文獻:
- hTRIM69 is a novel E3 ubiquitin ligase identified from human testis and may function to ubiquitinate its particular substrates during spermatogenesis. PMID: 23131556
- Gene and protein analysis of the mouse counterpart. PMID: 11578878
-
亞細胞定位:Cytoplasm. Nucleus. Nucleus speckle.
-
蛋白家族:TRIM/RBCC family
-
數據庫鏈接:
Most popular with customers
-
-
Phospho-YAP1 (S127) Recombinant Monoclonal Antibody
Applications: ELISA, WB, IHC
Species Reactivity: Human
-
-
-
-
-
-















