TRIM62 Antibody
-
中文名稱:TRIM62兔多克隆抗體
-
貨號:CSB-PA559643
-
規格:¥1100
-
圖片:
-
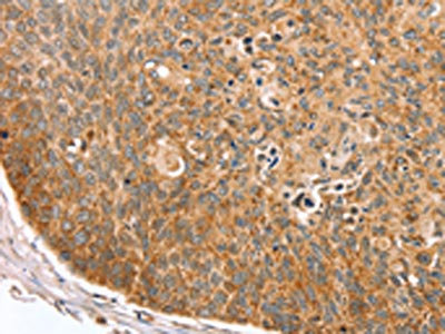
The image on the left is immunohistochemistry of paraffin-embedded Human liver cancer tissue using CSB-PA559643(TRIM62 Antibody) at dilution 1/30, on the right is treated with synthetic peptide. (Original magnification: ×200)
-
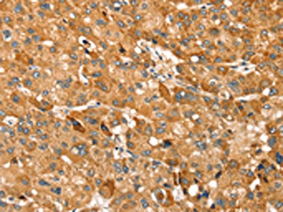
The image on the left is immunohistochemistry of paraffin-embedded Human esophagus cancer tissue using CSB-PA559643(TRIM62 Antibody) at dilution 1/30, on the right is treated with synthetic peptide. (Original magnification: ×200)
-
Gel: 8%SDS-PAGE, Lysate: 40 μg, Lane 1-2: 231 cells, hepg2 cells, Primary antibody: CSB-PA559643(TRIM62 Antibody) at dilution 1/400, Secondary antibody: Goat anti rabbit IgG at 1/8000 dilution, Exposure time: 1 minute
-
-
其他:
產品詳情
-
Uniprot No.:
-
基因名:TRIM62
-
別名:6330414G21Rik antibody; AI450348 antibody; DEAR1 antibody; ductal epithelium-associated RING Chromosome 1 antibody; E3 ubiquitin-protein ligase TRIM62 antibody; FLJ10759 antibody; FLJ16558 antibody; MGC115263 antibody; TRI62_HUMAN antibody; TRIM62 antibody; Tripartite motif containing 62 antibody; Tripartite motif-containing protein 62 antibody
-
宿主:Rabbit
-
反應種屬:Human
-
免疫原:Synthetic peptide of Human TRIM62
-
免疫原種屬:Homo sapiens (Human)
-
標記方式:Non-conjugated
-
抗體亞型:IgG
-
純化方式:Antigen affinity purification
-
濃度:It differs from different batches. Please contact us to confirm it.
-
保存緩沖液:-20°C, pH7.4 PBS, 0.05% NaN3, 40% Glycerol
-
產品提供形式:Liquid
-
應用范圍:ELISA,WB,IHC
-
推薦稀釋比:
Application Recommended Dilution ELISA 1:2000-1:5000 WB 1:500-1:2000 IHC 1:25-1:100 -
Protocols:
-
儲存條件:Upon receipt, store at -20°C or -80°C. Avoid repeated freeze.
-
貨期:Basically, we can dispatch the products out in 1-3 working days after receiving your orders. Delivery time maybe differs from different purchasing way or location, please kindly consult your local distributors for specific delivery time.
-
用途:For Research Use Only. Not for use in diagnostic or therapeutic procedures.
相關產品
靶點詳情
-
功能:E3 ubiquitin ligase that plays a role in antifungal immunity by mediating 'Lys-27'-linked ubiquitination of CARD9 downstream of C-type lectin receptors; leading to CARD9 activation, followed by activation of NF-kappa-B and MAP kinase p38 pathways. E3 ubiquitin ligase activity is dependent on E2 ubiquitin-conjugating enzyme UBE2D2.
-
基因功能參考文獻:
- Results found that TRIM62 was frequently down-regulated in both human cervical cancer (CC) cells and tissues. Low expression of TRIM62 in CC tissues was associated with aggressive clinicopathological features of CC patients. Its overexpression inhibits proliferation, migration and invasion of cervical cancer cells. PMID: 27793172
- TRIM62 is a CARD9-binding partner. TRIM62 facilitated K27-linked poly-ubiquitination of CARD9. PMID: 26488816
- Low TRIM62 levels, consistent with a tumor suppressor role, represent an independent adverse prognostic factor in AML. PMID: 25248926
- DEAR1 is important in the regulation of the breast tumor microenvironment, polarity, and epithelial-mesenchymal transition. [Review] PMID: 25261235
- results provide compelling evidence that DEAR1 is a critical tumor suppressor involved in multiple human cancers and provide a novel paradigm for regulation of TGF-beta-induced EMT through DEAR1's regulation of SMAD3 protein levels PMID: 23838884
- these data indicate that TRIM62, a cytoplasmic protein, is a RING finger domain-dependent E3 ubiquitin ligase that catalyzes self-ubiquitination both in vitro and in vivo. PMID: 23402750
- DEAR1 is a predictive biomarker for early onset breast cancer. PMID: 19536324
- The evidence for the genetic alteration and loss of expression of DEAR1 in breast cancer and for the functional role of DEAR1 in the dominant regulation of acinar morphogenesis in 3D culture PMID: 19536326
顯示更多
收起更多
-
亞細胞定位:Cytoplasm.
-
蛋白家族:TRIM/RBCC family
-
數據庫鏈接:
Most popular with customers
-
-
YWHAB Recombinant Monoclonal Antibody
Applications: ELISA, WB, IHC, IF, FC
Species Reactivity: Human, Mouse, Rat
-
Phospho-YAP1 (S127) Recombinant Monoclonal Antibody
Applications: ELISA, WB, IHC
Species Reactivity: Human
-
-
-
-
-















