TRIM35 Antibody
-
中文名稱:TRIM35兔多克隆抗體
-
貨號:CSB-PA434464
-
規格:¥1100
-
圖片:
-
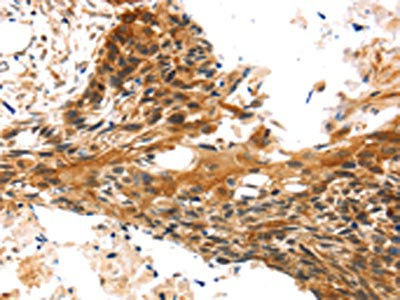
The image on the left is immunohistochemistry of paraffin-embedded Human esophagus cancer tissue using CSB-PA434464(TRIM35 Antibody) at dilution 1/25, on the right is treated with synthetic peptide. (Original magnification: ×200)
-
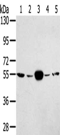
Gel: 8%SDS-PAGE, Lysate: 40 μg, Lane 1-5: Hela cells, K562 cells, human fetal muscle tissue, A375 cells, hepg2 cells, Primary antibody: CSB-PA434464(TRIM35 Antibody) at dilution 1/400, Secondary antibody: Goat anti rabbit IgG at 1/8000 dilution, Exposure time: 20 seconds
-
-
其他:
產品詳情
-
Uniprot No.:
-
基因名:TRIM35
-
別名:0710005M05Rik antibody; A430106H13Rik antibody; AW046487 antibody; Hemopoietic lineage switch protein 5 antibody; HLS5 antibody; KIAA1098 antibody; Macrophage derived apoptosis inducing RBCC protein antibody; MAIR antibody; MGC17233 antibody; mKIAA1098 antibody; NC8 antibody; Protein MAIR antibody; Protein Nc8 antibody; TRI35_HUMAN antibody; TRIM35 antibody; Tripartite motif containing 35 antibody; Tripartite motif containing protein 35 antibody; Tripartite motif-containing protein 35 antibody
-
宿主:Rabbit
-
反應種屬:Human
-
免疫原:Synthetic peptide of Human TRIM35
-
免疫原種屬:Homo sapiens (Human)
-
標記方式:Non-conjugated
-
抗體亞型:IgG
-
純化方式:Antigen affinity purification
-
濃度:It differs from different batches. Please contact us to confirm it.
-
保存緩沖液:-20°C, pH7.4 PBS, 0.05% NaN3, 40% Glycerol
-
產品提供形式:Liquid
-
應用范圍:ELISA,WB,IHC
-
推薦稀釋比:
Application Recommended Dilution ELISA 1:2000-1:5000 WB 1:500-1:2000 IHC 1:25-1:100 -
Protocols:
-
儲存條件:Upon receipt, store at -20°C or -80°C. Avoid repeated freeze.
-
貨期:Basically, we can dispatch the products out in 1-3 working days after receiving your orders. Delivery time maybe differs from different purchasing way or location, please kindly consult your local distributors for specific delivery time.
-
用途:For Research Use Only. Not for use in diagnostic or therapeutic procedures.
相關產品
靶點詳情
-
功能:E3 ubiquitin-protein ligase that participates in multiple biological processes including cell death, glucose metabolism, and in particular, the innate immune response. Mediates 'Lys-63'-linked polyubiquitination of TRAF3 thereby promoting type I interferon production via DDX58/RIG-I signaling pathway. Can also catalyze 'Lys-48'-linked polyubiquitination and proteasomal degradation of viral proteins such as influenza virus PB2. Acts as a negative feedback regulator of TLR7- and TLR9-triggered signaling. Mechanistically, promotes the 'Lys-48'-linked ubiquitination of IRF7 and induces its degradation via a proteasome-dependent pathway. Reduces FGFR1-dependent tyrosine phosphorylation of PKM, inhibiting PKM-dependent lactate production, glucose metabolism, and cell growth.
-
基因功能參考文獻:
- Authors subsequently investigated whether miR-4417 and TRIM35 regulate HCC cell proliferation and apoptosis through PKM2 Y105 phosphorylation, and the results supported our speculation that miR-4417 targets TRIM35 and regulates the Y105 phosphorylation of PKM2 to promote hepatocarcinogenesis. PMID: 28394882
- Data suggest that pyruvate kinase isoform M2 (PKM2)/tripartite motif-containing 35 (TRIM35) expression could be a biomarker for the prognosis of hepatocellular carcinoma (HCC) and target for cancer therapy. PMID: 25576919
- TRIM35 regulates the Warburg effect and tumorigenicity through interaction with PKM2 in hepatocellular carcinoma. PMID: 25263439
- gene located on chromosome 8p21, a region implicated in leukemias and solid tumors; enforced expression inhibited cell growth, clonogenicity, and tumorigenicity; conceivable HLS5 is one of the tumor suppressor genes thought to reside at the 8p21 locus PMID: 14662771
-
亞細胞定位:Cytoplasm. Nucleus.
-
蛋白家族:TRIM/RBCC family
-
數據庫鏈接:
Most popular with customers
-
-
YWHAB Recombinant Monoclonal Antibody
Applications: ELISA, WB, IHC, IF, FC
Species Reactivity: Human, Mouse, Rat
-
Phospho-YAP1 (S127) Recombinant Monoclonal Antibody
Applications: ELISA, WB, IHC
Species Reactivity: Human
-
-
-
-
-















