TRIM33 Antibody
-
中文名稱:TRIM33兔多克隆抗體
-
貨號:CSB-PA445680
-
規格:¥1100
-
圖片:
-
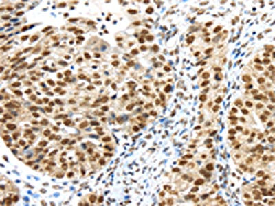
The image on the left is immunohistochemistry of paraffin-embedded Human breast cancer tissue using CSB-PA445680(TRIM33 Antibody) at dilution 1/40, on the right is treated with synthetic peptide. (Original magnification: ×200)
-
The image on the left is immunohistochemistry of paraffin-embedded Human ovarian cancer tissue using CSB-PA445680(TRIM33 Antibody) at dilution 1/40, on the right is treated with synthetic peptide. (Original magnification: ×200)
-
-
其他:
產品詳情
-
Uniprot No.:
-
基因名:
-
別名:8030451N04Rik antibody; AI413936 antibody; cb1085 antibody; DKFZp586K1123 antibody; E3 ubiquitin-protein ligase TRIM33 antibody; EC 6.3.2.- antibody; Ectodermin antibody; Ectodermin homolog antibody; FLJ11429 antibody; FLJ32925 antibody; id:ibd2175 antibody; MGC136680 antibody; mKIAA1113 antibody; OTTHUMP00000013662 antibody; OTTHUMP00000013663 antibody; Protein Rfg7 antibody; PTC7 antibody; Ret fused gene 7 antibody; RET-fused gene 7 protein antibody; RFG7 antibody; Rfg7 protein antibody; TF1G antibody; TIF1 gamma antibody; TIF1-gamma antibody; TIF1G antibody; TIF1GAMMA antibody; TIFGAMMA antibody; Transcription intermediary factor 1-gamma antibody; Transcriptional intermediary factor 1 gamma antibody; TRI33_HUMAN antibody; trim33 antibody; Tripartite motif containing 33 antibody; Tripartite motif containing 33 protein antibody; tripartite motif-containing 33 antibody; Tripartite motif-containing protein 33 antibody; wu:fc17f10 antibody; zgc:136680 antibody
-
宿主:Rabbit
-
反應種屬:Human,Mouse
-
免疫原:Synthetic peptide of Human TRIM33
-
免疫原種屬:Homo sapiens (Human)
-
標記方式:Non-conjugated
-
抗體亞型:IgG
-
純化方式:Antigen affinity purification
-
濃度:It differs from different batches. Please contact us to confirm it.
-
保存緩沖液:-20°C, pH7.4 PBS, 0.05% NaN3, 40% Glycerol
-
產品提供形式:Liquid
-
應用范圍:ELISA,IHC
-
推薦稀釋比:
Application Recommended Dilution ELISA 1:2000-1:10000 IHC 1:30-1:150 -
Protocols:
-
儲存條件:Upon receipt, store at -20°C or -80°C. Avoid repeated freeze.
-
貨期:Basically, we can dispatch the products out in 1-3 working days after receiving your orders. Delivery time maybe differs from different purchasing way or location, please kindly consult your local distributors for specific delivery time.
-
用途:For Research Use Only. Not for use in diagnostic or therapeutic procedures.
相關產品
靶點詳情
-
功能:Acts as an E3 ubiquitin-protein ligase. Promotes SMAD4 ubiquitination, nuclear exclusion and degradation via the ubiquitin proteasome pathway. According to PubMed:16751102, does not promote a decrease in the level of endogenous SMAD4. May act as a transcriptional repressor. Inhibits the transcriptional response to TGF-beta/BMP signaling cascade. Plays a role in the control of cell proliferation. Its association with SMAD2 and SMAD3 stimulates erythroid differentiation of hematopoietic stem/progenitor. Monoubiquitinates SMAD4 and acts as an inhibitor of SMAD4-dependent TGF-beta/BMP signaling cascade (Monoubiquitination of SMAD4 hampers its ability to form a stable complex with activated SMAD2/3 resulting in inhibition of TGF-beta/BMP signaling cascade).
-
基因功能參考文獻:
- Tumors from paraneoplastic anti-TIF1gamma-positive cancer-associated myositis patients showed an increased number of genetic alterations, such as mutations and loss of heterozygosity, in TIF1 genes. PMID: 29149307
- Data show that tripartite motif-containing protein 33 (TRIM33) silencing attenuates down-regulation of MYC and TGF-beta signaling in response to bromodomain and extraterminal domain protein inhibitors (BETi). PMID: 27432991
- suggest that SnoN suppresses TGF-betainduced epithelial-mesenchymal transition and invasion of bladder cancer cells in a TIF1gammadependent manner PMID: 27430247
- The adenovirus E4-ORF3 protein functions as a SUMO E3 ligase for TIF-1gamma sumoylation and poly-SUMO chain elongation. PMID: 27247387
- our findings reveal a new mechanism by which SOX2-mediated transcription repression of TIF1gamma promotes TGF-beta-induced epithelial-mesenchymal transition in non-small-cell lung cancer PMID: 25961934
- our work indicates that TIF1gamma exerts its tumor-suppressive functions in part by promoting chromosomal stability. PMID: 26282171
- Results show that TRIM33 is significantly downregulated in clear renal cell carcinoma tissues which seems to correlate with pathologic stages and grades. PMID: 25381221
- Tumour suppressor TRIM33 targets nuclear beta-catenin degradation PMID: 25639486
- Study suggests TRIM33 and NRAS-CSDE1 as candidate genes for autism, and may provide a novel insight into the etiology of autism PMID: 24189344
- The dermatomyositis autoantigen TIF1gamma is markedly up-regulated during muscle regeneration in human and mouse muscle cells. PMID: 25186009
- Data indicate that tripartite motif containing 33 protein TIF1gamma promotes sumoylation of SKI-like proto-oncogene protein SnoN1 and regulates epithelial-mesenchymal transition (EMT). PMID: 25059663
- regulates tumor growth and metastasis through inhibition of TGF-beta/Smad signaling and may serve as a novel prognostic biomarker in hepatocellular carcinoma PMID: 24954480
- The ubiquitination of DHX33 by TRIM33 is lysine 63 specific and is required for the formation of the DHX33-NLRP3 inflammasome complex. PMID: 25172487
- Results identify a new TGFbeta regulatory layer, whereby sumoylation strengthens the TIF1gamma repressive action on canonical TGFbeta signaling. PMID: 23788427
- Case Report: suggest that TIF1gamma expression in neoplasms not only determines the tumour activity but also causes dermatomyositis. PMID: 23407650
- mutation and methylation in the promoter region of TIF1gamma in non-small cell lung cancer PMID: 23676978
- TRIM33 plays a role in PARP-dependent DNA damage response and regulates ALC1 activity by promoting its timely removal from sites of DNA damage. PMID: 23926104
- These studies demonstrate that anti-NXP-2 and anti-TIF-1gamma antibodies are frequent DM specificities (found in 55% of patients) and are present in most patients with cancer-associated dermatomyositis. PMID: 24037894
- TIF1gamma is an APC/C-interacting protein that regulates APC/C function. It is not a substrate for APC/C-dependent ubiquitylation but associates specifically with the APC/C holoenzyme & Cdc20 to affect APC/C activity & progression through mitosis. PMID: 23160376
- Tif1gamma transgene is essential for the terminal differentiation of mammary alveolar epithelial cells at the end of pregnancy and to ensure lactation. PMID: 23154409
- Data suggest that the formation of transient TIF1gamma-Smad2-Smad4 ternary complexes is the only one that can account for TGF-beta signaling. PMID: 22461896
- Adenovirus E4orf3 targets TIF1 gamma for proteasome-dependent degradation during infection. PMID: 22205733
- These results suggest that E4-ORF3 targets proteins for relocalization through a loosely homologous sequence dependent on accessibility. PMID: 22123502
- Study reports an essential role for TRIM33 in the activation of Gsc and Mixl1 by nodal signals, and delineate how Smads gain access to poised promoters of master regulators under the command of nodal TGF-beta signals. PMID: 22196728
- Data suggest that over-expression of TIF1gamma occurs in early stages of colorectal carcinogenesis, is inversely related with Smad4 loss, and may be a prognostic indicator for poor outcome. PMID: 22046087
- TIF1gamma binds to and represses the plasminogen activator inhibitor 1 promoter, demonstrating a direct role of TIF1gamma in TGF-beta-dependent gene expression PMID: 21597466
- TIF1gamma dictates the residence time of activated Smad complexes at promoters of TGF-beta superfamily target genes. PMID: 21726812
- TIF1gamma was almost undetectable in leukemic cells of 35% of CMML patients. This downregulation was related to the hypermethylation of CpG sequences and specific histone modifications in the gene promoter. PMID: 21537084
- regulation of adult hematopoiesis through TIF1gamma-mediated transcriptional repression of TAL1 and PU.1 target genes. PMID: 21474105
- Hyperthermia incurred platelet glycoprotein Ibalpha ectodomain shedding. PMID: 20158380
- Chromatin immunoprecipitation assays in human CD34(+) cells supported a TIF1gamma-dependent recruitment of positive elongation factors to erythroid genes to promote transcription elongation by counteracting Pol II pausing. PMID: 20603019
- These studies are consistent with a model in which TIF1gamma acts to ubiquitinate LDB1 leading to degradation of LDB1 and changes in transcription of LDB1-dependent promoters. PMID: 20447379
- TIF1alpha interacts with TIF1gamma and the coiled-coil region of TIF1gamma is necessary for this interaction. PMID: 12096914
- Thus, Smad2/3-TIF1gamma and Smad2/3-Smad4 function as complementary effector arms in the control of hematopoietic cell fate by the TGFbeta/Smad pathway. PMID: 16751102
- Study reports that TIF1gamma expression is markedly down-regulated in human pancreatic tumors by quantitative RT-PCR and immunohistochemistry. PMID: 19629168
顯示更多
收起更多
-
相關疾?。?/div>A chromosomal aberration involving TRIM33 is found in papillary thyroid carcinomas (PTCs). Translocation t(1;10)(p13;q11) with RET. The translocation generates the TRIM33/RET (PTC7) oncogene.亞細胞定位:Nucleus.蛋白家族:TRIM/RBCC family組織特異性:Expressed in stem cells at the bottom of the crypts of the colon (at protein level). Expressed in colon adenomas and adenocarcinomas (at protein level). Expressed in brain, lung, liver, spleen, thymus, prostate, kidney, testis, heart, placenta, pancreas,數據庫鏈接:
Most popular with customers
-
-
YWHAB Recombinant Monoclonal Antibody
Applications: ELISA, WB, IHC, IF, FC
Species Reactivity: Human, Mouse, Rat
-
Phospho-YAP1 (S127) Recombinant Monoclonal Antibody
Applications: ELISA, WB, IHC
Species Reactivity: Human
-
-
-
-
-















