TRIM28 Antibody
-
中文名稱:TRIM28兔多克隆抗體
-
貨號:CSB-PA05254A0Rb
-
規格:¥440
-
圖片:
-
Western Blot
Positive WB detected in: PC-3 whole cell lysate, MCF-7 whole cell lysate, K562 whole cell lysate
All lanes: TRIM28 antibody at 1.5μg/ml
Secondary
Goat polyclonal to rabbit IgG at 1/50000 dilution
Predicted band size: 89, 80 kDa
Observed band size: 89 kDa -
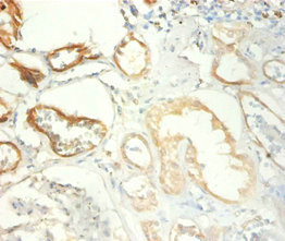
Immunohistochemistry of paraffin-embedded human prostate tissue using CSB-PA05254A0Rb at dilution of 1:100
-
Immunohistochemistry of paraffin-embedded human kidney tissue using CSB-PA05254A0Rb at dilution of 1:100
-
Immunoprecipitating TRIM28 in Hela whole cell lysate
Lane 1: Rabbit control IgG(1μg)instead of CSB-PA05254A0Rb in Hela whole cell lysate. For western blotting, a HRP-conjugated Protein G antibody was used as the secondary antibody (1/2000)
Lane 2: CSB-PA05254A0Rb(6μg)+ Hela whole cell lysate(500μg)
Lane 3: Hela whole cell lysate (10μg)
-
-
其他:
產品詳情
-
產品名稱:Rabbit anti-Homo sapiens (Human) TRIM28 Polyclonal antibody
-
Uniprot No.:
-
基因名:
-
別名:E3 SUMO protein ligase TRIM28 antibody; E3 SUMO-protein ligase TRIM28 antibody; FLJ29029 antibody; KAP 1 antibody; KAP-1 antibody; KRAB associated protein 1 antibody; KRAB interacting protein 1 antibody; KRAB-associated protein 1 antibody; KRAB-interacting protein 1 antibody; KRIP 1 antibody; KRIP-1 antibody; KRIP1 antibody; Nuclear corepressor KAP 1 antibody; Nuclear corepressor KAP-1 antibody; RING finger protein 96 antibody; RNF96 antibody; TF1B antibody; TIF1 beta antibody; TIF1-beta antibody; TIF1B antibody; TIF1B_HUMAN antibody; Transcription intermediary factor 1 beta antibody; Transcription intermediary factor 1-beta antibody; Trim28 antibody; Tripartite motif containing 28 antibody; tripartite motif containing protein 28 antibody; Tripartite motif-containing protein 28 antibody
-
宿主:Rabbit
-
反應種屬:Human
-
免疫原:Recombinant Human Transcription intermediary factor 1-beta protein (22-291AA)
-
免疫原種屬:Homo sapiens (Human)
-
標記方式:Non-conjugated
本頁面中的產品,TRIM28 Antibody (CSB-PA05254A0Rb),的標記方式是Non-conjugated。對于TRIM28 Antibody,我們還提供其他標記。見下表:
-
克隆類型:Polyclonal
-
抗體亞型:IgG
-
純化方式:>95%, Protein G purified
-
濃度:It differs from different batches. Please contact us to confirm it.
-
保存緩沖液:Preservative: 0.03% Proclin 300
Constituents: 50% Glycerol, 0.01M PBS, PH 7.4 -
產品提供形式:Liquid
-
應用范圍:ELISA, WB, IHC, IP
-
推薦稀釋比:
Application Recommended Dilution WB 1:500-1:5000 IHC 1:20-1:200 IP 1:200-1:2000 -
Protocols:
-
儲存條件:Upon receipt, store at -20°C or -80°C. Avoid repeated freeze.
-
貨期:Basically, we can dispatch the products out in 1-3 working days after receiving your orders. Delivery time maybe differs from different purchasing way or location, please kindly consult your local distributors for specific delivery time.
-
用途:For Research Use Only. Not for use in diagnostic or therapeutic procedures.
相關產品
靶點詳情
-
功能:Nuclear corepressor for KRAB domain-containing zinc finger proteins (KRAB-ZFPs). Mediates gene silencing by recruiting CHD3, a subunit of the nucleosome remodeling and deacetylation (NuRD) complex, and SETDB1 (which specifically methylates histone H3 at 'Lys-9' (H3K9me)) to the promoter regions of KRAB target genes. Enhances transcriptional repression by coordinating the increase in H3K9me, the decrease in histone H3 'Lys-9 and 'Lys-14' acetylation (H3K9ac and H3K14ac, respectively) and the disposition of HP1 proteins to silence gene expression. Recruitment of SETDB1 induces heterochromatinization. May play a role as a coactivator for CEBPB and NR3C1 in the transcriptional activation of ORM1. Also corepressor for ERBB4. Inhibits E2F1 activity by stimulating E2F1-HDAC1 complex formation and inhibiting E2F1 acetylation. May serve as a partial backup to prevent E2F1-mediated apoptosis in the absence of RB1. Important regulator of CDKN1A/p21(CIP1). Has E3 SUMO-protein ligase activity toward itself via its PHD-type zinc finger. Also specifically sumoylates IRF7, thereby inhibiting its transactivation activity. Ubiquitinates p53/TP53 leading to its proteosomal degradation; the function is enhanced by MAGEC2 and MAGEA2, and possibly MAGEA3 and MAGEA6. Mediates the nuclear localization of KOX1, ZNF268 and ZNF300 transcription factors. In association with isoform 2 of ZFP90, is required for the transcriptional repressor activity of FOXP3 and the suppressive function of regulatory T-cells (Treg). Probably forms a corepressor complex required for activated KRAS-mediated promoter hypermethylation and transcriptional silencing of tumor suppressor genes (TSGs) or other tumor-related genes in colorectal cancer (CRC) cells. Required to maintain a transcriptionally repressive state of genes in undifferentiated embryonic stem cells (ESCs). In ESCs, in collaboration with SETDB1, is also required for H3K9me3 and silencing of endogenous and introduced retroviruses in a DNA-methylation independent-pathway. Associates at promoter regions of tumor suppressor genes (TSGs) leading to their gene silencing. The SETDB1-TRIM28-ZNF274 complex may play a role in recruiting ATRX to the 3'-exons of zinc-finger coding genes with atypical chromatin signatures to establish or maintain/protect H3K9me3 at these transcriptionally active regions. Acts as a corepressor for ZFP568.; (Microbial infection) Plays a critical role in the shutdown of lytic gene expression during the early stage of herpes virus 8 primary infection. This inhibition is mediated through interaction with herpes virus 8 protein LANA1.
-
基因功能參考文獻:
- a null mutation in TRIM28 causes significant alterations in transposable element expression in both the naive and primed states of human pluripotency, and phenotypically this has limited effects on self-renewal, instead causing a loss of germline competency. PMID: 29290627
- Data suggest that retention of SMARCAD1 in nucleus is dependent on interaction of CUE1 domain of SMARCAD1 with RBCC domain of KAP1; these studies were conducted with recombinant proteins expressed in mouse embryonic stem cell line and human somatic cell line. (SMARCAD1 = ATP-dependent helicase-1; KAP1 = KRAB-interacting protein-1) PMID: 29284678
- Comparison of chromatin immunoprecipitation and high throughput nucleotide sequencing data and a reference motif set for human KRAB C2H2 zinc finger proteins has been reported. PMID: 29146583
- Genes co-repressed by TRIM28 and FAM208A are evolutionarily young, or exhibit tissue-specific expression, are enriched in young L1s, and display evidence for regulation through LTR promoters. Finally, we demonstrate that the HUSH complex is also required to repress L1 elements in human cells. PMID: 29728366
- Authors identify a viral mechanism for the counteraction of KAP1 in which interference with the KAP1 phosphatase protein phosphatase 1 (PP1) by the AAV2 Rep proteins mediates enhanced phosphorylation of KAP1-S824 and thus relief from KAP1 repression. PMID: 29581310
- Evaluation of the potential mechanism demonstrated that TRIM28 promoted cervical cancer cell growth by activating the mammalian target of rapamycin (mTOR) signaling pathway. In support of this finding, TRIM28-induced cell proliferation was abolished by treatment with everolimus, a specific mTOR inhibitor PMID: 29393469
- TRIM28 employs KRAB-ZNFs to evoke epigenetic silencing of its target differentiation genes via H3K9me3 and DNA methylation. PMID: 29198826
- Study describes germline mutations and loss of function of TRIM28 in familial Wilms tumours, along with somatic loss of function in a non-familial Wilms tumour. Inactivation of TRIM28 provides the molecular basis for defining a previously described subtype of Wilms tumour, that has early age of onset and excellent prognosis. PMID: 29912901
- Study identified TRIM28 among REST-interacting proteins, and suggested functional links between REST and TRIM28 during neuronal development and differentiation via induction of CTNND2 expression. PMID: 27976729
- Data indicate a mechanism in breast cancer cells that tripartite motif-containing 28 protein (TRIM28) enhances metastasis by stabilizing TWIST1, suggesting that targeting TRIM28 could be an efficacious strategy in breast cancer treatment. PMID: 27412325
- Gamma-H2AX, phosphorylated KAP-1 and 53BP1 play an important role in the repair of heterochromatic radon-induced DNA double-strand breaks. PMID: 27922110
- Our data demonstrate that the downregulation of TRIM28 gene expression reduced the ability of CSCs to self-renew that resulted in significant reduction of tumor growth. Loss of function of TRIM28 leads to dysregulation of cell cycle, cellular response to stress, cancer cell metabolism, and inhibition of oxidative phosphorylation. PMID: 27845900
- Cell proliferation and apoptosis were almost completely abolished in the PAa cells cotreated with TRIM28 siRNA and etoposide following knockdown of E2F1. The results of our study demonstrated that the combination of TRIM28 siRNA and etoposide may be effective against nonsmall cell lung cancer (NSCLC)and has the potential of being a new therapeutic tool for future treatment. PMID: 28498400
- The authors found that TRIM28 regulates alpha-Synuclein and tau nuclear levels and that its reduction rescues toxicity in animal models of tau- and alpha-Synuclein-mediated degeneration. PMID: 27779468
- TRIM28 represses Endogenous retroviruses and consequently regulates the expression of neighboring genes. PMID: 28052240
- it is primarily peroxide-induced p38 MAPK that mediates Ser473 phosphorylation and activation of TIF1beta to enable more efficient DNA repair to assist in tumor cell survival against exogenous ROS PMID: 28864417
- TRIM28 acts as a central factor in controlling endothelial inflammatory responses and angiogenic activities by retaining expression of TNFR-1 and -2 and VEGF receptor 2 in endothelial cells PMID: 28159803
- TRIM28 depletion repressed EZH2 recruitment to chromatin and expression of this gene set, in parallel with decreased CD44(hi)/CD24(lo) mammosphere formation. PMID: 28068325
- These findings provide a unique context in which ataxia telangiectasia mutated proteins modify KAP1 to regulate persistence of a herpesvirus in humans PMID: 28249048
- OGA is physically associated with the known RNA polymerase II (pol II) pausing/elongation factors SPT5 and TRIM28-KAP1-TIF1beta, and a purified OGA-SPT5-TIF1beta complex has elongation properties. PMID: 27601472
- that KAP1 phosphorylation is decreased following recruitment of PP2A by URI. PMID: 27780869
- Taken together, these results suggest that PARIS and PIASy modulate PGC-1a gene transcription through distinct molecular mechanisms. PMID: 27086851
- a role for TRIM28 on EMT, drug resistance, and stemness in addition to the already reported protumorigenic actions in breast and other cancers. PMID: 28381187
- Data suggest that TRIM28 regulates the expression of a subset of lncRNAs. PMID: 27432546
- we revealed that KAP1 was overexpressed in HCC patients and also an independently biomarker for the overall survival rate prediction of patients with HCC. It appeared that KAP1 was involved into the tumor progression process. PMID: 27095111
- Combined effect of dynamic recruitment of RNF4 to KAP1 regulates the relative occupancy of 53BP1 and BRCA1 at double-strand break sites to direct DNA repair in a cell cycle-dependent manner. PMID: 26766492
- These results indicate that over-expression of TRIM28 is associated with poor outcome in glioma patients. PMID: 26476730
- Adipose tissue transcriptome analyses in children indicate that humans, like mice cluster into distinct sub-populations, stratifying according to Trim28 expression, transcriptome organization, and obesity-associated imprinted gene dysregulation. PMID: 26824653
- KAP1 controls 7SK snRNP delivery to promoter-proximal regions to facilitate "on-site" P-TEFb activation and Pol II elongation. PMID: 26725010
- KAP1 binds to the viral E1B-55K protein, promoting its SUMO modification, therefore illustrating a crucial step for efficient viral replication. PMID: 26537675
- Data show that tripartite motif-containing 28 protein (TRIM28) and beta-actin were up-regulated in the glioblastoma multiforme (GBM) stem-like cells compared to the controls. PMID: 25419715
- study suggests a SIRT1-KAP1 regulatory mechanism for HR-NHEJ repair pathway choice PMID: 25905708
- Study indicates that TRIM28 appears to play a unique and essential role in transcriptional elongation and DNA repair by pausing and stabilizing Pol II. [Review] PMID: 26293668
- SET interacts with the Kruppel-associated box (KRAB)-associated co-repressor KAP1, and its overexpression results in the sustained retention of KAP1 and Heterochromatin protein 1 (HP1) on chromatin PMID: 25818296
- Human cytomegalovirus latency in human CD34(+) hematopoietic stem cells reflects the recruitment on the viral genome of KAP1, a master co-repressor, together with HP1 and the SETDB1 histone methyltransferase, which results in transcriptional silencing. PMID: 25846574
- Nrf2 interaction with KSHV LANA-1 and the host KAP1 repress viral lytic gene expression. PMID: 25995248
- results suggest a model in which Trim28 is a tumor suppressor early in the transformation process in lung cancer, but in later stages it functions as an oncogene PMID: 24983967
- Inhibition of LMP1-induced protein sumoylation abrogates the binding of KAP1 to Epstein-Barr Virus promoters. PMID: 25948750
- TRIM28 is an E3 ligase for ARF-mediated SUMOylation of NPM1. PMID: 26055329
- KAP1 expression correlated significantly with clinical stage, pathological grade and metastases in ovarian cancer. PMID: 25548895
- Identify a nuclear localization signal within the 462-494 amino acid region of TRIM28 that overlaps with its HP1 binding site. GST-pulldown experiments revealed the interaction of the arginine-rich TRIM28 NLS with various importin alpha subtypes. PMID: 25960296
- Data show that RRP1B regulates metastasis associated gene expression by interacting with the transcriptional corepressors TRIM28 and HP1a, which act by recruiting chromatin-modifying enzymes. PMID: 25092915
- successfully established stable pcDNA5/FRT/TO-KAP1-HEK293 cell line, which can express KAP1 inducibly. This inducible cell line might be very useful for KAP1 functional studies. PMID: 26081272
- TRIM28 regulates senescence and affects the induction of the senescence-associated secretory phenotype. PMID: 25160591
- KAP-1 is overexpressed and correlates with increased metastatic ability in pancreatic cancer.KAP-1 may promote metastasis in pancreatic cancer by regulating the epithelial-mesenchymal transition. PMID: 24861921
- Results show that KAP1-mediated stimulation of multiple KRAB-ZNF contributes to the growth and metastasis of breast cancer. PMID: 25421577
- TRIM28-mediated regulation is responsible for controlling a very broad range of human-specific endogenous retroelements. PMID: 24879559
- MAGE proteins bind to KAP1, a gene repressor and ubiquitin E3 ligase which also binds KRAB domain containing zinc finger transcription factors (KZNFs), and MAGE expression may affect KZNF mediated gene regulation. PMID: 25107531
- the ARM dynamically regulates the SIM-dependent recruitment of targets to RNF4, which could be critical to dynamically fine-tune the abundance of Ser(P)-824-SUMO-KAP1 and, potentially, other SUMOylated proteins during DNA damage response. PMID: 24907272
- TRIM28 is a new factor that modulates Pol II pausing and transcriptional elongation at a large number of mammalian genes. PMID: 25173174
顯示更多
收起更多
-
亞細胞定位:Nucleus.
-
蛋白家族:TRIM/RBCC family
-
組織特異性:Expressed in all tissues tested including spleen, thymus, prostate, testis, ovary, small intestine, colon and peripheral blood leukocytes.
-
數據庫鏈接:
Most popular with customers
-
-
YWHAB Recombinant Monoclonal Antibody
Applications: ELISA, WB, IHC, IF, FC
Species Reactivity: Human, Mouse, Rat
-
Phospho-YAP1 (S127) Recombinant Monoclonal Antibody
Applications: ELISA, WB, IHC
Species Reactivity: Human
-
-
-
-
-















