TRIM27 Antibody
-
中文名稱:TRIM27兔多克隆抗體
-
貨號:CSB-PA952455
-
規格:¥1100
-
圖片:
-
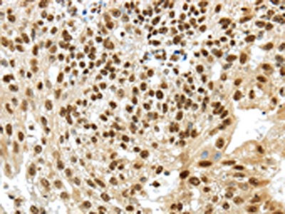
The image on the left is immunohistochemistry of paraffin-embedded Human breast cancer tissue using CSB-PA952455(TRIM27 Antibody) at dilution 1/30, on the right is treated with synthetic peptide. (Original magnification: ×200)
-
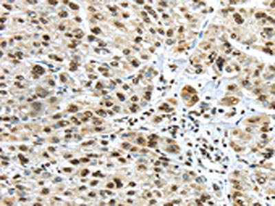
The image on the left is immunohistochemistry of paraffin-embedded Human liver cancer tissue using CSB-PA952455(TRIM27 Antibody) at dilution 1/30, on the right is treated with synthetic peptide. (Original magnification: ×200)
-
-
其他:
產品詳情
-
Uniprot No.:
-
基因名:TRIM27
-
別名:AW538890 antibody; DAAP-182E11.3 antibody; MGC189472 antibody; OTTHUMP00000029314 antibody; Ret finger protein antibody; RFP antibody; RFP transforming protein antibody; Rfp1 antibody; RING finger protein 76 antibody; RNF76 antibody; TRI27_HUMAN antibody; TRIM 27 antibody; Trim27 antibody; Tripartite motif containing 27 antibody; Tripartite motif containing protein 27 antibody; Tripartite motif protein TRIM27 antibody; Tripartite motif-containing protein 27 antibody; Zinc finger protein RFP antibody
-
宿主:Rabbit
-
反應種屬:Human,Mouse
-
免疫原:Synthetic peptide of Human TRIM27
-
免疫原種屬:Homo sapiens (Human)
-
標記方式:Non-conjugated
-
抗體亞型:IgG
-
純化方式:Antigen affinity purification
-
濃度:It differs from different batches. Please contact us to confirm it.
-
保存緩沖液:-20°C, pH7.4 PBS, 0.05% NaN3, 40% Glycerol
-
產品提供形式:Liquid
-
應用范圍:ELISA,IHC
-
推薦稀釋比:
Application Recommended Dilution ELISA 1:2000-1:5000 IHC 1:25-1:100 -
Protocols:
-
儲存條件:Upon receipt, store at -20°C or -80°C. Avoid repeated freeze.
-
貨期:Basically, we can dispatch the products out in 1-3 working days after receiving your orders. Delivery time maybe differs from different purchasing way or location, please kindly consult your local distributors for specific delivery time.
-
用途:For Research Use Only. Not for use in diagnostic or therapeutic procedures.
相關產品
靶點詳情
-
功能:E3 ubiquitin-protein ligase that mediates ubiquitination of PIK3C2B and inhibits its activity; mediates the formation of 'Lys-48'-linked polyubiquitin chains; the function inhibits CD4 T-cell activation. Acts as a regulator of retrograde transport: together with MAGEL2, mediates the formation of 'Lys-63'-linked polyubiquitin chains at 'Lys-220' of WASHC1, leading to promote endosomal F-actin assembly. Has a transcriptional repressor activity by cooperating with EPC1. Induces apoptosis by activating Jun N-terminal kinase and p38 kinase and also increases caspase-3-like activity independently of mitochondrial events. May function in male germ cell development. Has DNA-binding activity and preferentially bound to double-stranded DNA.
-
基因功能參考文獻:
- Results showed that TRIM27 was upregulated in colorectal cancer (CRC) tissues, and significantly associated with tumor invasion, metastasis and prognosis. Following TRIM27 inhibition and overexpression in CRC cells, it was found that TRIM27 promoted cell proliferation, possibly via the inhibition of apoptosis and cell cycle regulation. These results suggested that TRIM27 is an oncogenic protein in the progression of CRC. PMID: 29767249
- Results demonstrated that TRIM27 restricts the intracellular survival of mycobacteria, suggesting that it is a potential host restriction factor for Mycobacterium tuberculosis by enhancing host immune-inflammatory responses mediated by JNK/p38 pathways as well as cell apoptosis. PMID: 27698396
- RFP scores were higher both in serous and grade 3 endometrioid carcinoma (p > 0.05), and significantly lower in grade 1 endometrioid carcinoma (p < 0.05). PMID: 28155970
- Studied the expression of TRIM27 in normal ovarian and fallopian tube epithelial cells and in ovarian serous carcinoma cells; correlated TRIM27 expression with clinical and pathological parameters. PMID: 26568293
- Study found that compared to healthy individuals, Trim27 was significantly upregulated in patients with Parkinson's disease PMID: 25223908
- The neoplasm leading cell specific expression of integrin beta1 was posttranscriptionally regulated by the TRIM27/MRTF-B complex in response to the loss of intercellular adhesion. PMID: 24794433
- Authors observed rapid, ICP0-dependent loss of TRIM27 during HSV-1 infection. PMID: 25320289
- RFP-knockdown ovarian cancer cells exhibited lower carboplatin resistance than control cells. These findings suggest that RFP could be a predictive marker for chemoresistance in ovarian cancer patients. PMID: 23342271
- These findings provide a cellular and molecular function for MAGE-L2-TRIM27 in retrograde transport, including an unappreciated role of K63-linked ubiquitination and identification of an activating signal of the WASH regulatory complex. PMID: 23452853
- Data conclude that TRIM27 negatively regulates NOD2-mediated signaling by degradation of NOD2 and suggest that TRIM27 could be a new target for therapeutic intervention in NOD2-associated diseases. PMID: 22829933
- TRIM27 expression is a modifier of cancer incidence and progression and is a potential target for intervention. PMID: 22556269
- These findings provide a unique mechanism for regulating class II PI3Ks, and identify TRIM27 as a previously undescribed negative regulator of CD4 T cells. PMID: 22128329
- role in inducing apoptosis via its RING finger-B box-coiled-coil motif PMID: 12807881
- the amino-terminal and carboxyl-terminal regions of Mi-2 beta have distinct transcriptional activities and bind to BRG1 and the RET finger protein, forming a multiprotein supercomplex involved in transcriptional regulation. PMID: 14530259
- RFP selectively ablates Rb function. PMID: 15837424
- Mi-2beta and RFP, known to be involved in transcriptional repression in the nucleus, co-localize with MCRS1 in the nucleolus and appear to activate the rRNA transcription. PMID: 16186106
- RFP negatively regulates signaling involved in the antiviral response and inflammation by targeting the IKKs. PMID: 16393995
- Our study is the first in the literature to show expression of RET finger protein in patients with breast carcinoma PMID: 19232840
顯示更多
收起更多
-
相關疾病:A chromosomal aberration involving TRIM27/RFP is found in papillary thyroid carcinomas (PTCs). Translocation t(6;10)(p21.3;q11.2) with RET. The translocation generates TRIM27/RET and delta TRIM27/RET oncogenes.
-
亞細胞定位:Nucleus. Cytoplasm. Nucleus, PML body. Early endosome.
-
蛋白家族:TRIM/RBCC family
-
組織特異性:Expressed in testis namely within the seminiferous tubules.
-
數據庫鏈接:
Most popular with customers
-
-
YWHAB Recombinant Monoclonal Antibody
Applications: ELISA, WB, IHC, IF, FC
Species Reactivity: Human, Mouse, Rat
-
Phospho-YAP1 (S127) Recombinant Monoclonal Antibody
Applications: ELISA, WB, IHC
Species Reactivity: Human
-
-
-
-
-















