TRIM25 Antibody
-
中文名稱:TRIM25兔多克隆抗體
-
貨號:CSB-PA172995
-
規格:¥1100
-
圖片:
-
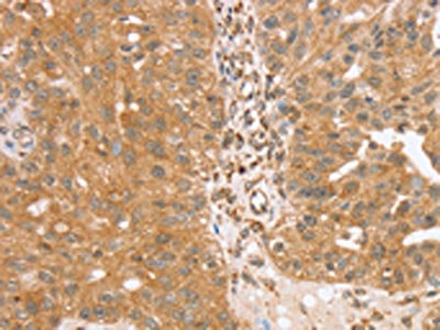
The image on the left is immunohistochemistry of paraffin-embedded Human thyroid cancer tissue using CSB-PA172995(TRIM25 Antibody) at dilution 1/40, on the right is treated with synthetic peptide. (Original magnification: ×200)
-
The image on the left is immunohistochemistry of paraffin-embedded Human breast cancer tissue using CSB-PA172995(TRIM25 Antibody) at dilution 1/40, on the right is treated with synthetic peptide. (Original magnification: ×200)
-
-
其他:
產品詳情
-
Uniprot No.:
-
基因名:
-
別名:E3 ubiquitin/ISG15 ligase TRIM25 antibody; EFP antibody; Estrogen responsive finger protein antibody; Estrogen-responsive finger protein antibody; RING finger protein 147 antibody; RNF 147 antibody; RNF147 antibody; TRI25 antibody; TRI25_HUMAN antibody; TRIM 25 antibody; Trim25 antibody; Tripartite motif containing 25 antibody; Tripartite motif containing protein 25 antibody; Tripartite motif protein TRIM25 antibody; Tripartite motif-containing protein 25 antibody; Tripartite motifcontaining25 antibody; Ubiquitin/ISG15-conjugating enzyme TRIM25 antibody; Z147 antibody; Zinc finger protein 147 (estrogen responsive finger protein) antibody; Zinc finger protein 147 antibody; Zinc finger protein-147 antibody; ZNF 147 antibody; ZNF147 antibody
-
宿主:Rabbit
-
反應種屬:Human
-
免疫原:Synthetic peptide of Human TRIM25
-
免疫原種屬:Homo sapiens (Human)
-
標記方式:Non-conjugated
-
抗體亞型:IgG
-
純化方式:Antigen affinity purification
-
濃度:It differs from different batches. Please contact us to confirm it.
-
保存緩沖液:-20°C, pH7.4 PBS, 0.05% NaN3, 40% Glycerol
-
產品提供形式:Liquid
-
應用范圍:ELISA,IHC
-
推薦稀釋比:
Application Recommended Dilution ELISA 1:2000-1:10000 IHC 1:30-1:150 -
Protocols:
-
儲存條件:Upon receipt, store at -20°C or -80°C. Avoid repeated freeze.
-
貨期:Basically, we can dispatch the products out in 1-3 working days after receiving your orders. Delivery time maybe differs from different purchasing way or location, please kindly consult your local distributors for specific delivery time.
-
用途:For Research Use Only. Not for use in diagnostic or therapeutic procedures.
相關產品
靶點詳情
-
功能:Functions as a ubiquitin E3 ligase and as an ISG15 E3 ligase. Involved in innate immune defense against viruses by mediating ubiquitination of DDX58 and IFIH1. Mediates 'Lys-63'-linked polyubiquitination of the DDX58 N-terminal CARD-like region and may play a role in signal transduction that leads to the production of interferons in response to viral infection. Mediates 'Lys-63'-linked polyubiquitination of IFIH1. Promotes ISGylation of 14-3-3 sigma (SFN), an adapter protein implicated in the regulation of a large spectrum signaling pathway. Mediates estrogen action in various target organs. Mediates the ubiquitination and subsequent proteasomal degradation of ZFHX3. Plays a role in promoting the restart of stalled replication forks via interaction with the KHDC3L-OOEP scaffold and subsequent ubiquitination of BLM, resulting in the recruitment and retainment of BLM at DNA replication forks.
-
基因功能參考文獻:
- formation of unanchored K63-linked poly-ubiquitin chains is unchanged by NS1 binding, indicating that RING dimerisation of TRIM25 is not affected by NS1 PMID: 29739942
- The RNA-binding activity of TRIM25 is mediated by its PRY/SPRY domain, which we postulate to be a novel RNA-binding domain. PMID: 29117863
- TRIM25 inhibits hepatocellular carcinoma progression by targeting MTA1. PMID: 28861931
- TRIM25 is a key determinant of breast cancer metastasis. PMID: 28813674
- V interaction with TRIM25 and RIG-I prevents TRIM25-mediated ubiquitination of RIG-I and disrupts downstream RIG-I signaling to the mitochondrial antiviral signaling protein. PMID: 29321315
- HPV E6 oncoprotein antagonizes the activation of the cytoplasmic innate immune sensor RIG-I by targeting its upstream regulatory enzymes TRIM25 and USP15. We further show that the RIG-I signaling cascade is important for an antiviral innate immune response to HPV16 infection PMID: 29263274
- this study shows thatTRIM25 targets ERG for degradation in prostate cancer PMID: 27626314
- TRIM25 actively participates in higher-order assembly of the RIG-I signalosome. PMID: 27425606
- Our results indicate that TRIM25 is associated with cisplatin resistance and 14-3-3sigma-MDM2-p53 signaling pathway is involved in this process, suggesting targeting TRIM25 may be a potential strategy for the reversal of cisplatin resistance. PMID: 28867193
- expression of TRIM25 might be critical for lung cancer cell migration, proliferation as well as doxorubicin resistance. PMID: 26113559
- Disturbed p53-MDM2 feedback loop contributing to the pathogenesis of thoracic aortic dissection may be linked to TRIM25 overexpression. PMID: 27903487
- the data uncover TRIM25 as a bona fide zinc-finger antiviral protein cofactor that leads to increased zinc-finger antiviral protein modification enhancing its translational inhibition activity. PMID: 28060952
- Studies showed that 70% of breast cancer patients were positive for Trim25 expression. PMID: 27528750
- we provide a detailed characterization of the TRIM ligases TRIM25 and TRIM32 and show how their oligomeric state is linked to catalytic activity PMID: 27154206
- The severe acute respiratory syndrome coronavirus N protein was found to bind to the SPRY domain of the tripartite motif protein 25 (TRIM25) E3 ubiquitin ligase, thereby interfering with the association between TRIM25 and retinoic acid-inducible gene I (RIG-I) and inhibiting TRIM25-mediated RIG-I ubiquitination and activation. PMID: 28148787
- TRIM25 is required for Zinc finger antiviral protein optimal binding to target mRNA. PMID: 28202764
- TRIM25 may exert its function through TGF-beta pathway. PMID: 26754079
- TRIM25 plays an additional role in RIG-I/MDA5 signaling other than RIG-I ubiquitination via activation of NF-kappaB. PMID: 26299329
- Data show that TRIM25 enhances p53 and Mdm2 abundance by preventing their proteasomal degradation. At the same time, TRIM25 inhibits p53's transcriptional activity and dampens the response to DNA damage. PMID: 25728675
- The PR-2B DENV-2 produced increased levels of subgenomic flavivirus RNA (sfRNA) relative to genomic RNA during replication. PR-2B sfRNA showed sequence dependent binding to and prevention of tripartite motif 25 (TRIM25) deubiquitylation, which is critical for sustained and amplified retinoic acid-inducible gene 1 (RIG-I)-induced type I interferon expression. PMID: 26138103
- Trim25 binds to the conserved terminal loop (CTL) of pre-let-7 and activates TuT4, allowing for more efficient Lin28a-mediated uridylation. PMID: 25457611
- Our data uncovers a previously unknown functional link between gp78 and TRIM25 and provides mechanistic insight into gp78-mediated protein ubiquitylation. PMID: 24810856
- Data indicate ubiquitin-specific protease 15 (USP15) as a critical regulator of the tripartite motif protein 25 (TRIM25)- and RNA sensor retinoic acid-inducible gene-I (RIG-I)-mediated antiviral immune response PMID: 24399297
- In controls, RNF125 is the highest expressed gene, whereas in HIV infection progressors, RIG-I is either the highest expressed gene or is expressed similarly to RNF125 and TRIM25. PMID: 24131985
- Study reports that RLR activation triggers MAVS ubiquitination on lysine 7 and 10 by the E3 ubiquitin ligase TRIM25 and marks it for proteasomal degradation concomitantly with downstream signaling. PMID: 22626058
- EFP mediates estrogen-induced ATBF1 protein degradation in breast cancer cells. PMID: 22452784
- Studies indicate that the splice variant of RIG-I encodes a protein that lacks the first CARD of RIG-I, and the variant RIG-I protein is not ubiquitinated by TRIM25. PMID: 21890623
- RING-IBR-RING E3 ligase domains of HOIL-1L and HOIP bind and induce proteasomal degradation of TRIM25, whereas the NZF domain of HOIL-1L competes with TRIM25 for RIG-I binding PMID: 21292167
- Molecular basis for ubiquitin and ISG15 cross-reactivity in viral ovarian tumor domains. PMID: 21266548
- The regulation of Efp and bFGF expression during endometrial carcinogenesis suggests their potential utility as a prognostic biomarker. PMID: 20127022
- Efp controls breast cancer growth through ubiquitin-dependent proteolysis of 14-3-3sigma. PMID: 12943693
- Results indicate that estrogen-responsive finger protein is widely expressed and may play important roles in various human tissues, possibly through estrogen receptors. PMID: 15130519
- Over expression of Estrogen-responsive finger protein is associated with tumor progression of breast carcinoma PMID: 16144914
- 14-3-3 sigma expression inversely correlated with estrogen receptor alpha, progesterone receptor and estrogen-responsive finger protein, and positively correlated with myometrial invasion and lymph node metastasis in endometrial adenocarcinoma PMID: 16271083
- Efp is an IFN-responsive gene that potentially mediates IFN actions, involved in ISGylation and ubiquitination of proteins including Efp itself. PMID: 17069755
- Our results indicate that EFP functions as a cofactor for ERalpha-mediated transcription. PMID: 17418098
- role of the intact tandem CARD for TRIM25-mediated RIG-I activation; TRIM25 binds the RIG-I first CARD and subsequently ubiquitinates its second CARD PMID: 18948594
- estradiol and tamoxifen may regulate the growth of endometrial carcinoma cells by stimulating VEGF production through Efp. PMID: 19148513
- Viral nonstructural protein 1 inhibits activation of RIG-I by binding to TRIM25. PMID: 19454344
- NS1 inhibits TRIM25-mediated RIG-I ubiquitination, thereby suppressing RIG-I signal transduction. PMID: 19454348
顯示更多
收起更多
-
亞細胞定位:Cytoplasm. Cytoplasm, Stress granule. Nucleus.
-
組織特異性:Expressed in breast tumors (at protein level). Ubiquitous.
-
數據庫鏈接:
Most popular with customers
-
-
YWHAB Recombinant Monoclonal Antibody
Applications: ELISA, WB, IHC, IF, FC
Species Reactivity: Human, Mouse, Rat
-
Phospho-YAP1 (S127) Recombinant Monoclonal Antibody
Applications: ELISA, WB, IHC
Species Reactivity: Human
-
-
-
-
-















