TRIM14 Antibody
-
中文名稱:TRIM14兔多克隆抗體
-
貨號:CSB-PA436398
-
規格:¥1100
-
圖片:
-
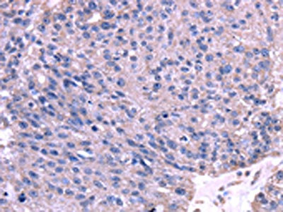
The image on the left is immunohistochemistry of paraffin-embedded Human breast cancer tissue using CSB-PA436398(TRIM14 Antibody) at dilution 1/35, on the right is treated with fusion protein. (Original magnification: ×200)
-
Gel: 8%SDS-PAGE,Lysate: 40 μg,,Primary antibody: CSB-PA436398(TRIM14 Antibody) at dilution 1/800 dilution,Secondary antibody: Goat anti rabbit IgG at 1/8000 dilution,Exposure time: 1 minute
-
-
其他:
產品詳情
-
Uniprot No.:
-
基因名:TRIM14
-
別名:5830400N10Rik antibody; KIAA0129 antibody; pub antibody; TRI14_HUMAN antibody; TRIM14 antibody; tripartite motif protein 14 antibody; tripartite motif protein TRIM14 antibody; tripartite motif-containing 14 antibody; Tripartite motif-containing protein 14 antibody
-
宿主:Rabbit
-
反應種屬:Human,Mouse
-
免疫原:Fusion protein of Human TRIM14
-
免疫原種屬:Homo sapiens (Human)
-
標記方式:Non-conjugated
-
抗體亞型:IgG
-
純化方式:Antigen affinity purification
-
濃度:It differs from different batches. Please contact us to confirm it.
-
保存緩沖液:-20°C, pH7.4 PBS, 0.05% NaN3, 40% Glycerol
-
產品提供形式:Liquid
-
應用范圍:ELISA,WB,IHC
-
推薦稀釋比:
Application Recommended Dilution ELISA 1:2000-1:5000 WB 1:500-1:2000 IHC 1:25-1:100 -
Protocols:
-
儲存條件:Upon receipt, store at -20°C or -80°C. Avoid repeated freeze.
-
貨期:Basically, we can dispatch the products out in 1-3 working days after receiving your orders. Delivery time maybe differs from different purchasing way or location, please kindly consult your local distributors for specific delivery time.
-
用途:For Research Use Only. Not for use in diagnostic or therapeutic procedures.
相關產品
靶點詳情
-
功能:Plays an essential role in the innate immune defense against viruses and bacteria. Facilitates the type I IFN response by interacting with MAVS at the outer mitochondria membrane and thereby recruiting NF-kappa-B essential modulator IKBKG/NEMO to the MAVS signalosome, leading to the activation of both the IFN regulatory factor 3/IRF3 and NF-kappa-B pathways. Positively regulates the CGAS-induced type I interferon signaling pathway by stabilizing CGAS and inhibiting its autophagic degradation. Acts as a scaffold between TBK1 and STAT3 to promote phosphorylation of STAT3 and resolve interferon-stimulated gene (ISG) expression. Inhibits the transcriptional activity of SPI1 in a dose-dependent manner.
-
基因功能參考文獻:
- Results showed that TRIM14 is increased in gastric cancer (GC) tissues and cell lines and associated with malignant features and unfavorable prognosis. Gain and lossoffunctional data confirmed that TRIM14 promotes migration, invasion and EMT progression by activating AKT signaling. TRIM14 was found to function as an oncogene in regulating EMT and metastasis of GC via AKT signaling, which was regulated by miR195. PMID: 30272351
- Our findings collectively suggest that TRIM14 functions as an oncogene by upregulating the AKT signaling pathway in osteosarcoma cells, supporting its potential utility as a therapeutic target for this disease. PMID: 28205534
- Study shows that tripartite Motif 14 (TRIM14) is a putative tumor suppressor and regulator of innate immune response in non-small cell lung cancer. The functional data establishes a novel tumor suppressive role for TRIM14 in non-small cell lung cancer progression. PMID: 28059079
- we identify the tripartite motif-containing protein (TRIM14) as a target of miR-195-5p. Therefore, we reason that the tumor suppressor role of miR-195-5p in oral squamous cell carcinoma is dependent on the interaction with TRIM14. PMID: 29204446
- In searching for mechanisms how TRIM14 exerts its antiviral function we found that TRIM14 interacted with HCV encoded non-structural protein NS5A and could strongly induce its degradation dependent on the NS5A1 subdomain. Interestingly extensive domain mapping analyses revealed that NS5A degradation was mediated by the highly conserved SPRY domain of TRIM14, which might involve the K48 ubiquitination pathway PMID: 27578425
- findings define the WHIP-TRIM14-PPP6C mitochondrial signalosome required for RIG-I-mediated innate antiviral immunity. PMID: 29053956
- study identifies new gene-type zinc finger protein 125 (RNF125) as a negative regulator of TRIM14 in the innate antiviral immune response PMID: 28476934
- survival of xenograft mice was prolonged by BsAbBmi/TRIM treatment compared to either AbBmi-1 or AbTRIM-14 treatment. In conclusion, these results provided new evidence that BsAbBmi/TRIM inhibited the progression of osteosarcoma, which suggest that BsAbBmi/TRIM may be a novel anti-cancer agent for osteosarcoma therapy PMID: 28631557
- MiR-15b degrades TRIM14 in oral tongue squamous cell cancer.TRIM14 role in oral tongue squamous cell cancer resistance to cisplatin. PMID: 28350138
- Data suggest that tripartite motif containing 14 protein (TRIM14) might play an important role in the malignant progression of tongue squamous cells carcinoma (TSCC) and in regulation of the NF_Kappa B (NF-kappaB) signaling pathway. PMID: 26799420
- stable enhanced expression of trim14 gene in cells activates the transcription of many immunity genes and suppresses Sindbis virus reproduction, but Sindbis virus infection of HEK-trim14 cells promotes inhibition of some genes involved in innate immunity. PMID: 25948474
- Upon virus infection, TRIM14 recruits NF-kappaB essential modulator (NEMO) to the MAVS complex via ubiquitin chains. PMID: 24379373
顯示更多
收起更多
-
亞細胞定位:Mitochondrion outer membrane. Cytoplasmic vesicle, phagosome.
-
蛋白家族:TRIM/RBCC family
-
組織特異性:Highest expression in liver; undetectable in skeletal muscle.
-
數據庫鏈接:
Most popular with customers
-
-
YWHAB Recombinant Monoclonal Antibody
Applications: ELISA, WB, IHC, IF, FC
Species Reactivity: Human, Mouse, Rat
-
Phospho-YAP1 (S127) Recombinant Monoclonal Antibody
Applications: ELISA, WB, IHC
Species Reactivity: Human
-
-
-
-
-















