TRIM11 Antibody
-
中文名稱:TRIM11兔多克隆抗體
-
貨號:CSB-PA164566
-
規格:¥1100
-
圖片:
-
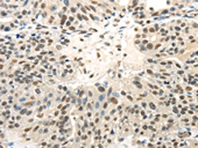
The image on the left is immunohistochemistry of paraffin-embedded Human esophagus cancer tissue using CSB-PA164566(TRIM11 Antibody) at dilution 1/20, on the right is treated with fusion protein. (Original magnification: ×200)
-
The image on the left is immunohistochemistry of paraffin-embedded Human breast cancer tissue using CSB-PA164566(TRIM11 Antibody) at dilution 1/20, on the right is treated with fusion protein. (Original magnification: ×200)
-
-
其他:
產品詳情
-
Uniprot No.:
-
基因名:
-
別名:BIA 1 antibody; BIA1 antibody; E3 ubiquitin protein ligase TRIM11 antibody; E3 ubiquitin-protein ligase TRIM11 antibody; Protein BIA1 antibody; RING finger protein 92 antibody; RING type E3 ubiquitin transferase TRIM11 antibody; RNF 92 antibody; RNF92 antibody; TRI11_HUMAN antibody; Trim 11 antibody; TRIM11 antibody; Tripartite motif containing 11 antibody; tripartite motif protein 11 antibody; Tripartite motif-containing protein 11 antibody
-
宿主:Rabbit
-
反應種屬:Human,Mouse,Rat
-
免疫原:Fusion protein of Human TRIM11
-
免疫原種屬:Homo sapiens (Human)
-
標記方式:Non-conjugated
-
抗體亞型:IgG
-
純化方式:Antigen affinity purification
-
濃度:It differs from different batches. Please contact us to confirm it.
-
保存緩沖液:-20°C, pH7.4 PBS, 0.05% NaN3, 40% Glycerol
-
產品提供形式:Liquid
-
應用范圍:ELISA,IHC
-
推薦稀釋比:
Application Recommended Dilution ELISA 1:2000-1:5000 IHC 1:25-1:100 -
Protocols:
-
儲存條件:Upon receipt, store at -20°C or -80°C. Avoid repeated freeze.
-
貨期:Basically, we can dispatch the products out in 1-3 working days after receiving your orders. Delivery time maybe differs from different purchasing way or location, please kindly consult your local distributors for specific delivery time.
-
用途:For Research Use Only. Not for use in diagnostic or therapeutic procedures.
相關產品
靶點詳情
-
功能:E3 ubiquitin-protein ligase that promotes the degradation of insoluble ubiquitinated proteins, including insoluble PAX6, poly-Gln repeat expanded HTT and poly-Ala repeat expanded ARX. Mediates PAX6 ubiquitination leading to proteasomal degradation, thereby modulating cortical neurogenesis. May also inhibit PAX6 transcriptional activity, possibly in part by preventing the binding of PAX6 to its consensus sequences. May contribute to the regulation of the intracellular level of HN (humanin) or HN-containing proteins through the proteasomal degradation pathway. Mediates MED15 ubiquitination leading to proteasomal degradation. May contribute to the innate restriction of retroviruses. Upon overexpression, reduces HIV-1 and murine leukemia virus infectivity, by suppressing viral gene expression. Antiviral activity depends on a functional E3 ubiquitin-protein ligase domain. May regulate TRIM5 turnover via the proteasome pathway, thus counteracting the TRIM5-mediated cross-species restriction of retroviral infection at early stages of the retroviral life cycle.
-
基因功能參考文獻:
- findings identify TRIM11 as an important activator of the proteasome, define a pathway that adjusts proteasome activity, and reveal a mechanism by which tumor cells acquire higher degradative power to support oncogenic growth PMID: 29581427
- Data show that miR-24-3p downregulation contributes to tripartite motif-containing protein 11 (TRIM11) upregulation in cancer (CC). PMID: 27888625
- TRIM11 promotes the development and progression of HCC through regulating p53 and its downstream signals. PMID: 29190611
- data showed that tripartite motif-containing protein 11(TRIM11) expression was significantly elevated in hepatocellular carcinoma(HCC) tissues and overexpression of TRIM11 is closely associated with HCC progression and poor survival PMID: 28065743
- Results show that TRIM11 was highly expressed in lung cancer tissues and cell lines and suggest that it acts as an oncogene in lung cancer through promoting cell growth, migration and invasion. PMID: 27329103
- TRIM11 suppresses AIM2 inflammasome by degrading AIM2 via p62-dependent selective autophagy. PMID: 27498865
- TRIM11 to be overexpressed in HCC tissues and cell lines. Downregulation of TRIM11 inhibited HCC cell proliferation and invasion in vitro and in vivo as well as suppressed the epithelial-mesenchymal transition (EMT) process. PMID: 28244856
- study identified TRIM11 as a new HIV-1 capsid binding protein; data also reveal that TRIM11 restricts HIV-1 reverse transcription by accelerating viral uncoating, and microtubule dynamics is implicated in TRIM11-imposed block to early events of HIV-1 replication PMID: 27737691
- TRIM11 is a host cellular factor that interferes with the early steps of HIV-1 replication and provides a connection between viral protein and host antiviral factors. PMID: 25105968
- TRIM11 is overexpressed in high-grade gliomas and promotes proliferation, invasion, migration and glial tumor growth. PMID: 23178488
- TRIM11 negatively regulates IFN-beta production and antiviral activity by targeting TBK1. PMID: 23675467
- Study shows that the E3 ubiquitin ligase TRIM11 plays a critical role in the clearance of mutant PHOX2B, which causes congenital central hypoventilation syndrome, through the proteasome. PMID: 22307522
- PAX6 interacts with HOMER3, DNCL1, and TRIM11. Three C-terminal PAX6 mutations, previously identified in patients with eye malformations, all reduced or abolished the interactions. PMID: 16098226
- These results suggest that TRIM11, with the ubiquitin-proteasome pathway, regulates ARC105 function in TGFbeta signaling. PMID: 16904669
- Downregulation of TRIM11 and TRIM15 enhanced virus release suggesting that these proteins contribute to the endogenous restriction of retroviruses in cells. PMID: 18248090
- This study suggests a potential role for Trim11 in the specification of NA phenotype by interaction with Phox2b. PMID: 18275850
顯示更多
收起更多
-
亞細胞定位:Cytoplasm. Nucleus.
-
蛋白家族:TRIM/RBCC family
-
組織特異性:Ubiquitous.
-
數據庫鏈接:
Most popular with customers
-
-
YWHAB Recombinant Monoclonal Antibody
Applications: ELISA, WB, IHC, IF, FC
Species Reactivity: Human, Mouse, Rat
-
Phospho-YAP1 (S127) Recombinant Monoclonal Antibody
Applications: ELISA, WB, IHC
Species Reactivity: Human
-
-
-
-
-















