TRIB1 Antibody
-
中文名稱:TRIB1兔多克隆抗體
-
貨號:CSB-PA211960
-
規格:¥1100
-
圖片:
-
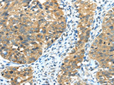
The image on the left is immunohistochemistry of paraffin-embedded Human liver cancer tissue using CSB-PA211960(TRIB1 Antibody) at dilution 1/20, on the right is treated with synthetic peptide. (Original magnification: ×200)
-
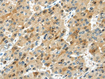
The image on the left is immunohistochemistry of paraffin-embedded Human breast cancer tissue using CSB-PA211960(TRIB1 Antibody) at dilution 1/20, on the right is treated with synthetic peptide. (Original magnification: ×200)
-
-
其他:
產品詳情
-
Uniprot No.:
-
基因名:TRIB1
-
宿主:Rabbit
-
反應種屬:Human,Mouse
-
免疫原:Synthetic peptide of Human TRIB1
-
免疫原種屬:Homo sapiens (Human)
-
標記方式:Non-conjugated
-
抗體亞型:IgG
-
純化方式:Antigen affinity purification
-
濃度:It differs from different batches. Please contact us to confirm it.
-
保存緩沖液:-20°C, pH7.4 PBS, 0.05% NaN3, 40% Glycerol
-
產品提供形式:Liquid
-
應用范圍:ELISA,IHC
-
推薦稀釋比:
Application Recommended Dilution ELISA 1:2000-1:5000 IHC 1:25-1:100 -
Protocols:
-
儲存條件:Upon receipt, store at -20°C or -80°C. Avoid repeated freeze.
-
貨期:Basically, we can dispatch the products out in 1-3 working days after receiving your orders. Delivery time maybe differs from different purchasing way or location, please kindly consult your local distributors for specific delivery time.
-
用途:For Research Use Only. Not for use in diagnostic or therapeutic procedures.
相關產品
靶點詳情
-
功能:Adapter protein involved in protein degradation by interacting with COP1 ubiquitin ligase. The COP1-binding motif is masked by autoinhibitory interactions with the protein kinase domain. Serves to alter COP1 substrate specificity by directing the activity of COP1 toward CEBPA. Binds selectively the recognition sequence of CEBPA. Regulates myeloid cell differentiation by altering the expression of CEBPA in a COP1-dependent manner. Controls macrophage, eosinophil and neutrophil differentiation via the COP1-binding domain. Interacts with MAPK kinases and regulates activation of MAP kinases, but has no kinase activity.
-
蛋白家族:Protein kinase superfamily, CAMK Ser/Thr protein kinase family, Tribbles subfamily
-
組織特異性:Expressed in most human tissues with the highest levels in skeletal muscle, thyroid gland, pancreas, peripheral blood leukocytes, and bone marrow.
-
數據庫鏈接:
Most popular with customers
-
YWHAB Recombinant Monoclonal Antibody
Applications: ELISA, WB, IHC, IF, FC
Species Reactivity: Human, Mouse, Rat
-
Phospho-YAP1 (S127) Recombinant Monoclonal Antibody
Applications: ELISA, WB, IHC
Species Reactivity: Human
-
-
-
-
-
-















