TREML2 Antibody
-
中文名稱:TREML2兔多克隆抗體
-
貨號:CSB-PA729201LA01HU
-
規格:¥440
-
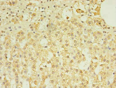
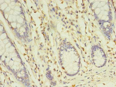
圖片:
-
其他:
產品詳情
-
產品名稱:Rabbit anti-Homo sapiens (Human) TREML2 Polyclonal antibody
-
Uniprot No.:
-
基因名:
-
別名:TREML2 antibody; C6orf76 antibody; TLT2 antibody; UNQ6268/PRO20473 antibody; Trem-like transcript 2 protein antibody; TLT-2 antibody; Triggering receptor expressed on myeloid cells-like protein 2 antibody
-
宿主:Rabbit
-
反應種屬:Human
-
免疫原:Recombinant Human Trem-like transcript 2 protein (19-268AA)
-
免疫原種屬:Homo sapiens (Human)
-
標記方式:Non-conjugated
本頁面中的產品,TREML2 Antibody (CSB-PA729201LA01HU),的標記方式是Non-conjugated。對于TREML2 Antibody,我們還提供其他標記。見下表:
-
克隆類型:Polyclonal
-
抗體亞型:IgG
-
純化方式:>95%, Protein G purified
-
濃度:It differs from different batches. Please contact us to confirm it.
-
保存緩沖液:Preservative: 0.03% Proclin 300
Constituents: 50% Glycerol, 0.01M PBS, PH 7.4 -
產品提供形式:Liquid
-
應用范圍:ELISA, IHC
-
推薦稀釋比:
Application Recommended Dilution IHC 1:20-1:200 -
Protocols:
-
儲存條件:Upon receipt, store at -20°C or -80°C. Avoid repeated freeze.
-
貨期:Basically, we can dispatch the products out in 1-3 working days after receiving your orders. Delivery time maybe differs from different purchasing way or location, please kindly consult your local distributors for specific delivery time.
-
用途:For Research Use Only. Not for use in diagnostic or therapeutic procedures.
相關產品
靶點詳情
-
功能:Cell surface receptor that may play a role in the innate and adaptive immune response. Acts as a counter-receptor for CD276 and interaction with CD276 on T-cells enhances T-cell activation.
-
基因功能參考文獻:
- Mutation of TREML2 is a major factor leading to ankylosing spondylitis for HLA-B27 (+) members in a large family and that TREML2 is also a susceptibility gene promoting the development of ankylosing spondylitis in HLA-B27 (+) individuals. PMID: 29778423
- A missense variant in TREML2 was associated with a reduced risk of Alzheimer's Disease in a Han Chinese population. PMID: 26797517
- Study characterized the expression of TREM genes in cerebellum and temporal cortex and determined TREML1 and TREM2 to be the only reliably expressed TREM genes in these brain regions; identified rs9357347 as a putative regulatory variant that is associated with protection from Alzheimer's disease and with increased TREML1 and TREM2 brain levels. PMID: 27939925
- Missense variant in TREML2 protects against Alzheimer's disease. PMID: 24439484
- TLT2 may be involved in the innate immune response based on its expression profile and the fact that it is up-regulated in response to inflammation. PMID: 16670310
- analysis of an interaction between B7-H3 and TLT-2 that preferentially enhances CD8(+) T cell activation PMID: 18650384
- Data do not point to a role for TREML2 as a receptor for B7-H3. PMID: 19544488
顯示更多
收起更多
-
亞細胞定位:Cell membrane; Single-pass type I membrane protein.
-
組織特異性:Detected in cultured B-cells, T-cell leukemia and monocyte leukemia. Expressed constitutively on CD8 T-cells and induced on CD4 T-cells after activation.
-
數據庫鏈接:
Most popular with customers
-
YWHAB Recombinant Monoclonal Antibody
Applications: ELISA, WB, IHC, IF, FC
Species Reactivity: Human, Mouse, Rat
-
Phospho-YAP1 (S127) Recombinant Monoclonal Antibody
Applications: ELISA, WB, IHC
Species Reactivity: Human
-
-
-
-
-
-















