TRAF3IP1 Antibody
-
中文名稱:TRAF3IP1兔多克隆抗體
-
貨號:CSB-PA969451
-
規格:¥1100
-
圖片:
-
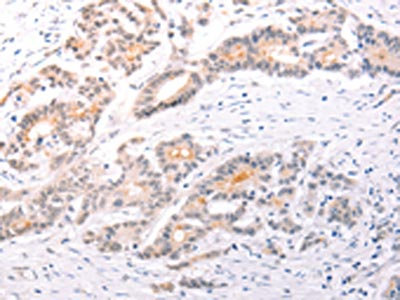
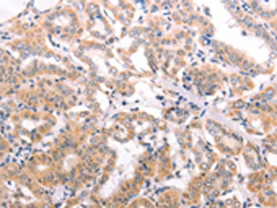
The image on the left is immunohistochemistry of paraffin-embedded Human colon cancer tissue using CSB-PA969451(TRAF3IP1 Antibody) at dilution 1/50, on the right is treated with fusion protein. (Original magnification: ×200)
-
The image on the left is immunohistochemistry of paraffin-embedded Human thyroid cancer tissue using CSB-PA969451(TRAF3IP1 Antibody) at dilution 1/50, on the right is treated with fusion protein. (Original magnification: ×200)
-
Gel: 8%SDS-PAGE, Lysate: 40 μg, Lane: Mouse thymus tissue, Primary antibody: CSB-PA969451(TRAF3IP1 Antibody) at dilution 1/300, Secondary antibody: Goat anti rabbit IgG at 1/8000 dilution, Exposure time: 5 minutes
-
-
其他:
產品詳情
-
Uniprot No.:
-
基因名:TRAF3IP1
-
別名:Interleukin 13 receptor alpha 1 binding protein 1 antibody; Interleukin-13 receptor alpha 1-binding protein 1 antibody; Microtubule interacting protein that associates with TRAF3 antibody; Microtubule-interacting protein associated with TRAF3 antibody; MIP T3 antibody; MIP-T3 antibody; MIPT3 antibody; MIPT3_HUMAN antibody; TNF receptor associated factor 3 interacting protein 1 antibody; TRAF3-interacting protein 1 antibody; Traf3ip1 antibody
-
宿主:Rabbit
-
反應種屬:Human,Mouse,Rat
-
免疫原:Fusion protein of Human TRAF3IP1
-
免疫原種屬:Homo sapiens (Human)
-
標記方式:Non-conjugated
-
抗體亞型:IgG
-
純化方式:Antigen affinity purification
-
濃度:It differs from different batches. Please contact us to confirm it.
-
保存緩沖液:-20°C, pH7.4 PBS, 0.05% NaN3, 40% Glycerol
-
產品提供形式:Liquid
-
應用范圍:ELISA,WB,IHC
-
推薦稀釋比:
Application Recommended Dilution ELISA 1:2000-1:10000 WB 1:200-1:1000 IHC 1:50-1:200 -
Protocols:
-
儲存條件:Upon receipt, store at -20°C or -80°C. Avoid repeated freeze.
-
貨期:Basically, we can dispatch the products out in 1-3 working days after receiving your orders. Delivery time maybe differs from different purchasing way or location, please kindly consult your local distributors for specific delivery time.
-
用途:For Research Use Only. Not for use in diagnostic or therapeutic procedures.
相關產品
靶點詳情
-
功能:Plays an inhibitory role on IL13 signaling by binding to IL13RA1. Involved in suppression of IL13-induced STAT6 phosphorylation, transcriptional activity and DNA-binding. Recruits TRAF3 and DISC1 to the microtubules. Involved in kidney development and epithelial morphogenesis. Involved in the regulation of microtubule cytoskeleton organization. Is a negative regulator of microtubule stability, acting through the control of MAP4 levels. Involved in ciliogenesis.
-
基因功能參考文獻:
- Mutations in TRAF3IP1 are identified in patients with nephronophthisis and retinal degeneration. The identified mutations result in mild ciliary defects in patients and reveal a role of IFT54 as a negative regulator of microtubule stability via MAP4. PMID: 26487268
- MIP-T3 functions as a negative regulator of the innate type I interferon response by preventing TRAF3 from forming protein complexes with critical downstream transducers and effectors of antiviral response. PMID: 22079989
- Data show that MIP-T3 protein level is highly regulated; mainly mediated by the ubiquitin-proteasome system. PMID: 21510943
- The interaction of MIP-T3 with both actin filaments and microtubule suggested that MIP-T3 may play an important role in regulation of cytoskeleton dynamics in cells. PMID: 20391533
- These results suggest that MIP-T3 is a novel inhibitor of IL-13 signaling and may be a useful molecule in ameliorating various conditions in which IL-13 plays a central role. PMID: 12935900
顯示更多
收起更多
-
相關疾病:Senior-Loken syndrome 9 (SLSN9)
-
亞細胞定位:Cytoplasm, cytoskeleton. Cell projection, cilium. Cytoplasm, cytoskeleton, cilium axoneme. Cytoplasm, cytoskeleton, cilium basal body.
-
蛋白家族:TRAF3IP1 family
-
組織特異性:Ubiquitous.
-
數據庫鏈接:
Most popular with customers
-
-
YWHAB Recombinant Monoclonal Antibody
Applications: ELISA, WB, IHC, IF, FC
Species Reactivity: Human, Mouse, Rat
-
Phospho-YAP1 (S127) Recombinant Monoclonal Antibody
Applications: ELISA, WB, IHC
Species Reactivity: Human
-
-
-
-
-















