TPX2 Antibody
-
中文名稱:TPX2兔多克隆抗體
-
貨號:CSB-PA892151LA01HU
-
規格:¥440
-
圖片:
-
Western Blot
Positive WB detected in: MCF-7 whole cell lysate
All lanes: TPX2 antibody at 3.5μg/ml
Secondary
Goat polyclonal to rabbit IgG at 1/50000 dilution
Predicted band size: 86, 90 kDa
Observed band size: 86 kDa -
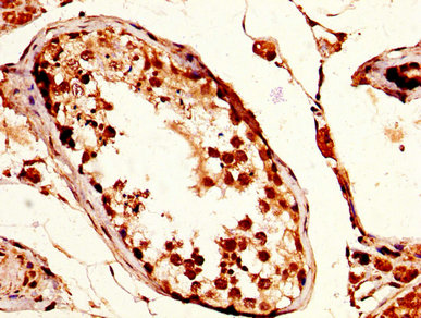
IHC image of CSB-PA892151LA01HU diluted at 1:200 and staining in paraffin-embedded human testis tissue performed on a Leica BondTM system. After dewaxing and hydration, antigen retrieval was mediated by high pressure in a citrate buffer (pH 6.0). Section was blocked with 10% normal goat serum 30min at RT. Then primary antibody (1% BSA) was incubated at 4°C overnight. The primary is detected by a biotinylated secondary antibody and visualized using an HRP conjugated SP system.
-
-
其他:
產品詳情
-
產品名稱:Rabbit anti-Homo sapiens (Human) TPX2 Polyclonal antibody
-
Uniprot No.:
-
基因名:
-
別名:C20ORF1 antibody; C20orf2 antibody; Chromosome 20 Open Reading Frame 1 antibody; Differentially expressed in cancerous and non-cancerous lung cells 2 antibody; Differentially expressed in cancerous and noncancerous lung cells 2 antibody; Differentially expressed in lung cells 2 antibody; Differentially expressed in lung cells antibody; DIL 2 antibody; DIL-2 antibody; DIL2 antibody; FLS353 antibody; GD:C20orf1 antibody; HCA 519 antibody; HCA519 antibody; HCTP 4 antibody; HCTP4 antibody; Hepatocellular carcinoma associated antigen 519 antibody; Hepatocellular carcinoma-associated antigen 519 antibody; p100 antibody; Preferentially expressed in colorectal cancer antibody; Protein fls353 antibody; REPP 86 antibody; repp86 antibody; Restricted expression proliferation associated protein 100 antibody; Restricted expression proliferation-associated protein 100 antibody; Targeting protein for Xklp2 antibody; TPX 2 antibody; TPX2 antibody; TPX2 microtubule associated homolog antibody; TPX2 microtubule associated protein homolog antibody; TPX2 microtubule nucleation factor antibody; TPX2_HUMAN antibody
-
宿主:Rabbit
-
反應種屬:Human
-
免疫原:Recombinant Human Targeting protein for Xklp2 protein (160-320AA)
-
免疫原種屬:Homo sapiens (Human)
-
標記方式:Non-conjugated
本頁面中的產品,TPX2 Antibody (CSB-PA892151LA01HU),的標記方式是Non-conjugated。對于TPX2 Antibody,我們還提供其他標記。見下表:
-
克隆類型:Polyclonal
-
抗體亞型:IgG
-
純化方式:>95%, Protein G purified
-
濃度:It differs from different batches. Please contact us to confirm it.
-
保存緩沖液:Preservative: 0.03% Proclin 300
Constituents: 50% Glycerol, 0.01M PBS, pH 7.4 -
產品提供形式:Liquid
-
應用范圍:ELISA, WB, IHC
-
推薦稀釋比:
Application Recommended Dilution WB 1:500-1:5000 IHC 1:200-1:500 -
Protocols:
-
儲存條件:Upon receipt, store at -20°C or -80°C. Avoid repeated freeze.
-
貨期:Basically, we can dispatch the products out in 1-3 working days after receiving your orders. Delivery time maybe differs from different purchasing way or location, please kindly consult your local distributors for specific delivery time.
-
用途:For Research Use Only. Not for use in diagnostic or therapeutic procedures.
相關產品
靶點詳情
-
功能:Spindle assembly factor required for normal assembly of mitotic spindles. Required for normal assembly of microtubules during apoptosis. Required for chromatin and/or kinetochore dependent microtubule nucleation. Mediates AURKA localization to spindle microtubules. Activates AURKA by promoting its autophosphorylation at 'Thr-288' and protects this residue against dephosphorylation. TPX2 is inactivated upon binding to importin-alpha. At the onset of mitosis, GOLGA2 interacts with importin-alpha, liberating TPX2 from importin-alpha, allowing TPX2 to activates AURKA kinase and stimulates local microtubule nucleation.
-
基因功能參考文獻:
- A PRISMA-compliant systematic review and meta-analysis found that overexpression of TPX2 is related to poor survival rate in most solid tumors, which indicates that the expression level of TPX2 is a significant prognostic parameter and potential therapeutic target in various solid tumors. PMID: 30412141
- Study suggests AURKA and TPX2 as potential stratification markers for taxane-based radiochemotherapy. lung adenocarcinoma cohort, high expression levels of AURKA and TPX2 were associated with specifically improved overall survival upon taxane-based radiochemotherapy. PMID: 28869599
- Data found that TPX2 was highly expressed in human bladder cancer tissues. Its overexpression promoted bladder cancer growth and correlated with tumor grade and stage, lymph node metastasis, and poor prognosis. These results support that TPX2 acts as a tumor promoter in human bladder tumor development. PMID: 28799673
- TPX2 promotes the proliferation and migration of human OC cells by regulating PLK1 expression. PMID: 29865033
- Together, these results suggest a molecular mechanism of how the Ran-GTP gradient can regulate TPX2-dependent microtubule formation. PMID: 29120325
- TPX2 was correlated with cell radioresistance PMID: 28636807
- We show TPX2, a regulator of Aurora-A, is associated with high grade and stage of ccRCC, and is an independent predictor of recurrence. PMID: 28108243
- detection of TPX2 overexpression could serve as a prognostic marker and therapeutic target for gastric cancer PMID: 27314162
- High TPX2 expression is associated with gastric cancer. PMID: 28069036
- This study concludes that the helical region of TPX2 folds upon binding Aurora-A, and that stabilization of this helix does not compromise Aurora-A activation. PMID: 27775325
- MiR-491 inhibits hepatocellular carcinoma cell proliferation, invasion and migration by downregulating the expression of TPX2. PMID: 27053618
- expression of both TPX2 and PD-L1 are associated with persistence/recurrence of cervical intraepithelial neoplasia after cervical conization PMID: 26624896
- the levels and distribution of TPX2 are likely to be determinants of when and where kinesin-5 acts in neurons. PMID: 26257190
- TPX2 was a target gene of miR-491. PMID: 26279431
- Propose TPX2 and AURKA as novel co-regulators on the MYC pathway in colorectal neoplasms. PMID: 25632068
- Aurora A-dependent TPX2 phosphorylation controls mitotic spindle length through regulating microtubule flux. PMID: 26240182
- These results indicated that TPX2 has an impact on tumor angiogenesis in pancreatic cancer. PMID: 25914189
- Data show that cytoskeleton associated protein 5 (chTOG) only weakly promotes importin-regulated microtubule nucleation, but acts synergistically with TPX2 protein. PMID: 26414402
- RAN nucleo-cytoplasmic transport and mitotic spindle assembly partners XPO7 and TPX2 have roles in serous epithelial ovarian cancer PMID: 24625450
- a causative link between altered function of AURKA-HMMR-TPX2-TUBG1 and breast carcinogenesis in BRCA1/2 mutation carriers PMID: 25830658
- Identify RHAMM as a critical regulator of TPX2 location/ Aurora kinase A signaling and suggest that RHAMM ensures bipolar spindle assembly and mitotic progression through the integration of biochemical and structural pathways. PMID: 24875404
- the molecular mechanisms of two distinct activation strategies (autophosphorylation and TPX2-mediated activation) in human Aurora A kinase, was elucidated. PMID: 24867643
- Dimeric, but not monomeric, Eg5 was differentially inhibited by full-length and truncated TPX2, demonstrating that dimerization or residues in the neck region are important for the interaction of TPX2 with Eg5. PMID: 26018074
- our study is the first indication of a constitutive control of TPX2 on H4K16ac levels, with potential implications for DNA damage response. PMID: 25365214
- TPX2 siRNA transfection significantly reduced tumor growth. PMID: 25239289
- In vitro studies found that TPX2 knockdown significantly inhibited cell proliferation and viability in both Hep3B and HepG2 cells. PMID: 25302620
- TPX2 expression is associated with cell proliferation and poor prognosis among patients with resected esophageal squamous cell carcinoma PMID: 23963785
- TPX2 overexpression is associated with medullary thyroid carcinoma. PMID: 24488334
- The results demonstrated that TPX2 is important in the regulation of tumor growth in cervical cancer and therefore may be a potential therapeutic target as a novel treatment strategy. PMID: 24718984
- TPX2 plays an important role in promoting tumorigenesis and metastasis of human colon cancer, and may represent a novel prognostic biomarker and therapeutic target for the disease PMID: 24341487
- This review provides an historic overview of the discovery of TPX2 and summarizes its cytoskeletal and signaling roles with relevance to cancer therapies. [review] PMID: 24556998
- The expression of TPX2 protein and mRNA were correlated with invasive depth and lymphatic metastasis of esophageal squamous cell carcinoma. PMID: 23725757
- Data indicate that TPX2 (target protein for Xklp2) may play a role in the development and progression of bladder carcinoma, and suggest that inhibition of TPX2 level may be a novel strategy for therapy of the patients with bladder carcinoma. PMID: 23873098
- The data support the role of TPX2 as a novel co-activator of Aurora kinase B. PMID: 22560880
- Data show that five genes CKAP5, KPNB1, RAN, TPX2 and KIF11 were shown to be essential for tumor cell survival in both head and neck squamous cell carcinoma (HNSCC)and non-small cell lung cancer (NSCLC), but most particularly in HNSCC. PMID: 23444224
- Data indicate that the sensitivity of cell-lines with amplification of AURKA depends upon the activity of the kinase, which correlates with the expression of the regulatory gene products TPX2 and HMMR/RHAMM. PMID: 23328114
- the regulation of gamma-H2AX signals by TPX2 is not associated with apoptosis or the mitotic functions of TPX2. PMID: 23045526
- AIM1, ERGIC1, and TPX2 were shown to be highly expressed especially in prostate cancer tissues, and high mRNA expression of ERGIC1 and TMED3 associated with AR and ERG oncogene expression PMID: 22761906
- TPX2 promote 20q amplicon-driven progression of colorectal adenoma to carcinoma. PMID: 22207630
- TPX2 shows potential to be used as a new marker for cervical cancer diagnosis and therapy. PMID: 22307108
- two switches determining Aurora A activation PMID: 21347367
- TPX2 protects Aurora-A from degradation both in interphase and in mitosis. PMID: 21147853
- Results demonstrate a role for PP6 as the T-loop phosphatase regulating Aurora A activity bound to its activator TPX2 during mitotic spindle formation. PMID: 21187329
- association of Aurora-A and TPX2 gives rise to a novel functional unit with oncogenic properties.[review] PMID: 20708655
- Decreased AurA-TPX2 complex formation in response to irradiation results from reduced cellular levels of TPX2, as a result of protein degradation and decreased translation of TPX2 mRNA. PMID: 21099343
- TPX2 expression is associated with the progression of malignant astrocytoma. PMID: 20599806
- Data show that Aurora A(S155R) mutant reduced cellular activity and mislocalization are due to loss of interaction with TPX2. PMID: 19801554
- TPX2 is required for targeting Aurora-A kinase to the spindle apparatus and Aurora-A might regulate the function of TPX2 during spindle assembly PMID: 12177045
- spindle formation requires the function of TPX2 to generate a stable bipolar spindle with overlapping antiparallel microtubule arrays PMID: 12389033
- observations reveal a structural role for hTPX2 in spindles and provide evidence for a balance between microtubule-based motor forces and structural spindle components PMID: 12477396
顯示更多
收起更多
-
亞細胞定位:Nucleus. Cytoplasm, cytoskeleton, spindle. Cytoplasm, cytoskeleton, spindle pole.
-
蛋白家族:TPX2 family
-
組織特異性:Expressed in lung carcinoma cell lines but not in normal lung tissues.
-
數據庫鏈接:
Most popular with customers
-
YWHAB Recombinant Monoclonal Antibody
Applications: ELISA, WB, IHC, IF, FC
Species Reactivity: Human, Mouse, Rat
-
Phospho-YAP1 (S127) Recombinant Monoclonal Antibody
Applications: ELISA, WB, IHC
Species Reactivity: Human
-
-
-
-
-
-















