TPST2 Antibody
-
中文名稱:TPST2兔多克隆抗體
-
貨號:CSB-PA250093
-
規格:¥1100
-
圖片:
-
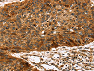
The image on the left is immunohistochemistry of paraffin-embedded Human esophagus cancer tissue using CSB-PA250093(TPST2 Antibody) at dilution 1/35, on the right is treated with synthetic peptide. (Original magnification: ×200)
-
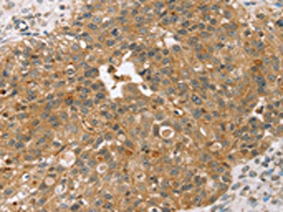
The image on the left is immunohistochemistry of paraffin-embedded Human breast cancer tissue using CSB-PA250093(TPST2 Antibody) at dilution 1/35, on the right is treated with synthetic peptide. (Original magnification: ×200)
-
-
其他:
產品詳情
-
Uniprot No.:
-
基因名:TPST2
-
別名:EC 2.8.2.20 antibody; Protein tyrosine sulfotransferase 2 antibody; Protein-tyrosine sulfotransferase 2 antibody; TANGO13B antibody; TPST-2 antibody; Tpst2 antibody; TPST2_HUMAN antibody; Transport and golgi organization 13 homolog B antibody; Tyrosylprotein phosphotransferase 2 antibody; Tyrosylprotein sulfotransferase 2 antibody
-
宿主:Rabbit
-
反應種屬:Human
-
免疫原:Synthetic peptide of Human TPST2
-
免疫原種屬:Homo sapiens (Human)
-
標記方式:Non-conjugated
-
抗體亞型:IgG
-
純化方式:Antigen affinity purification
-
濃度:It differs from different batches. Please contact us to confirm it.
-
保存緩沖液:-20°C, pH7.4 PBS, 0.05% NaN3, 40% Glycerol
-
產品提供形式:Liquid
-
應用范圍:ELISA,IHC
-
推薦稀釋比:
Application Recommended Dilution ELISA 1:2000-1:5000 IHC 1:25-1:100 -
Protocols:
-
儲存條件:Upon receipt, store at -20°C or -80°C. Avoid repeated freeze.
-
貨期:Basically, we can dispatch the products out in 1-3 working days after receiving your orders. Delivery time maybe differs from different purchasing way or location, please kindly consult your local distributors for specific delivery time.
-
用途:For Research Use Only. Not for use in diagnostic or therapeutic procedures.
相關產品
靶點詳情
-
功能:Catalyzes the O-sulfation of tyrosine residues within acidic motifs of polypeptides, using 3'-phosphoadenylyl sulfate (PAPS) as cosubstrate.
-
基因功能參考文獻:
- Using a quantum mechanics protocol of alanine scanning, the study identified unequivocally the role of the amino acids involved in the TPST-2 catalytic mechanism. PMID: 26108987
- the first crystal structure of the human tyrosylprotein sulfotransferase isoform 2 complexed with a substrate peptide (C4P5Y3) derived from complement C4 and 3'-phosphoadenosine-5'-phosphate at 1.9 A resolution, is reported. PMID: 23481380
- The p.R153H variant was found in a family with hereditary pancreatitis; however, it did not segregate with the disease. PMID: 20460947
- Shear stress-dependent upregulation of TPST2 in human endothelium is mediated by a tyrosine kinase-dependent pathway PMID: 12056800
- Tyrosine sulfation of CCR5 N-terminal peptide follows a discrete pattern and temporal sequence PMID: 12169668
- The kinetic parameters of tyrosylprotein sulfotransferase-1 and -2, catalyzing tyrosine sulfation of CCR8 peptides, were determined using liquid chromatography electrospray ionisation mass spectrometry. PMID: 18672380
顯示更多
收起更多
-
亞細胞定位:Golgi apparatus membrane; Single-pass type II membrane protein.
-
蛋白家族:Protein sulfotransferase family
-
組織特異性:Widely expressed.
-
數據庫鏈接:
Most popular with customers
-
-
YWHAB Recombinant Monoclonal Antibody
Applications: ELISA, WB, IHC, IF, FC
Species Reactivity: Human, Mouse, Rat
-
Phospho-YAP1 (S127) Recombinant Monoclonal Antibody
Applications: ELISA, WB, IHC
Species Reactivity: Human
-
-
-
-
-















