TPSB2 Antibody
-
中文名稱:TPSB2兔多克隆抗體
-
貨號:CSB-PA030905
-
規格:¥1100
-
圖片:
-
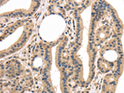
The image on the left is immunohistochemistry of paraffin-embedded Human liver cancer tissue using CSB-PA030905(TPSB2 Antibody) at dilution 1/20, on the right is treated with fusion protein. (Original magnification: ×200)
-
The image on the left is immunohistochemistry of paraffin-embedded Human thyroid cancer tissue using CSB-PA030905(TPSB2 Antibody) at dilution 1/20, on the right is treated with fusion protein. (Original magnification: ×200)
-
-
其他:
產品詳情
-
Uniprot No.:
-
基因名:TPSB2
-
別名:Mast cell tryptase beta II antibody; Mast cell tryptase beta III antibody; TPS2 antibody; TPSB2 antibody; TRYB2_HUMAN antibody; Tryptase beta 2 (gene/pseudogene) antibody; Tryptase beta-2 antibody; Tryptase II antibody; Tryptase-2 antibody; TryptaseB antibody; TryptaseC antibody
-
宿主:Rabbit
-
反應種屬:Human
-
免疫原:Full length fusion protein
-
免疫原種屬:Homo sapiens (Human)
-
標記方式:Non-conjugated
-
抗體亞型:IgG
-
純化方式:Antigen affinity purification
-
濃度:It differs from different batches. Please contact us to confirm it.
-
保存緩沖液:-20°C, pH7.4 PBS, 0.05% NaN3, 40% Glycerol
-
產品提供形式:Liquid
-
應用范圍:ELISA,IHC
-
推薦稀釋比:
Application Recommended Dilution ELISA 1:2000-1:5000 IHC 1:25-1:100 -
Protocols:
-
儲存條件:Upon receipt, store at -20°C or -80°C. Avoid repeated freeze.
-
貨期:Basically, we can dispatch the products out in 1-3 working days after receiving your orders. Delivery time maybe differs from different purchasing way or location, please kindly consult your local distributors for specific delivery time.
-
用途:For Research Use Only. Not for use in diagnostic or therapeutic procedures.
相關產品
靶點詳情
-
功能:Tryptase is the major neutral protease present in mast cells and is secreted upon the coupled activation-degranulation response of this cell type. May play a role in innate immunity.
-
基因功能參考文獻:
- These observations indicate that betaII-tryptase activity is post-translationally regulated by an allosteric disulfide bond. PMID: 24142694
- Results indicate a key role for heparin in the activation of human betaI- and beta2-tryptase. PMID: 15567416
- The disease severity and plasma tryptase levels were not affected by the number of alpha or beta tryptase alleles in mastocytosis patients. PMID: 17449330
- Strong linkage of TPSAB1 and TPSB2 and pairing of deficiency alleles with functional alleles in observed haplotypes protect human subjects from "knockout" genomes and indeed from inheritance of fewer than 2 active alleles. PMID: 19748655
-
亞細胞定位:Secreted. Note=Released from the secretory granules upon mast cell activation.
-
蛋白家族:Peptidase S1 family, Tryptase subfamily
-
數據庫鏈接:
Most popular with customers
-
YWHAB Recombinant Monoclonal Antibody
Applications: ELISA, WB, IHC, IF, FC
Species Reactivity: Human, Mouse, Rat
-
Phospho-YAP1 (S127) Recombinant Monoclonal Antibody
Applications: ELISA, WB, IHC
Species Reactivity: Human
-
-
-
-
-
-















