TPH1 Antibody
-
中文名稱:TPH1兔多克隆抗體
-
貨號:CSB-PA236814
-
規格:¥1100
-
圖片:
-
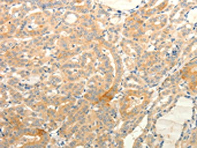
The image on the left is immunohistochemistry of paraffin-embedded Human thyroid cancer tissue using CSB-PA236814(TPH1 Antibody) at dilution 1/25, on the right is treated with fusion protein. (Original magnification: ×200)
-
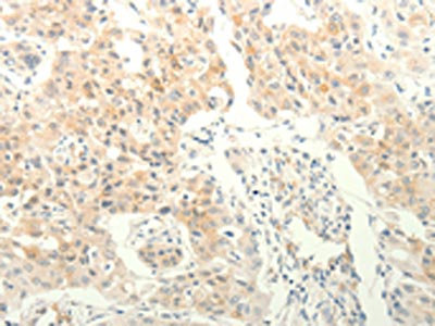
The image on the left is immunohistochemistry of paraffin-embedded Human lung cancer tissue using CSB-PA236814(TPH1 Antibody) at dilution 1/25, on the right is treated with fusion protein. (Original magnification: ×200)
-
-
其他:
產品詳情
-
Uniprot No.:
-
基因名:TPH1
-
別名:Indoleacetic acid 5 hydroxylase antibody; L tryptophan hydroxylase antibody; MGC119994 antibody; TPH 1 antibody; TPH antibody; TPH1 antibody; TPH1_HUMAN antibody; TPRH antibody; TRPH antibody; Tryptophan 5 hydroxylase 1 antibody; Tryptophan 5 monooxygenase 1 antibody; Tryptophan 5 monooxygenase antibody; Tryptophan 5-hydroxylase 1 antibody; Tryptophan 5-monooxygenase 1 antibody; Tryptophan hydroxylase 1 antibody
-
宿主:Rabbit
-
反應種屬:Human,Mouse,Rat
-
免疫原:Fusion protein of Human TPH1
-
免疫原種屬:Homo sapiens (Human)
-
標記方式:Non-conjugated
-
抗體亞型:IgG
-
純化方式:Antigen affinity purification
-
濃度:It differs from different batches. Please contact us to confirm it.
-
保存緩沖液:-20°C, pH7.4 PBS, 0.05% NaN3, 40% Glycerol
-
產品提供形式:Liquid
-
應用范圍:ELISA,IHC
-
推薦稀釋比:
Application Recommended Dilution ELISA 1:2000-1:5000 IHC 1:25-1:100 -
Protocols:
-
儲存條件:Upon receipt, store at -20°C or -80°C. Avoid repeated freeze.
-
貨期:Basically, we can dispatch the products out in 1-3 working days after receiving your orders. Delivery time maybe differs from different purchasing way or location, please kindly consult your local distributors for specific delivery time.
-
用途:For Research Use Only. Not for use in diagnostic or therapeutic procedures.
相關產品
靶點詳情
-
功能:Oxidizes L-tryptophan to 5-hydroxy-l-tryptophan in the rate-determining step of serotonin biosynthesis.
-
基因功能參考文獻:
- These findings indicate that TPH1, TPH2, and SLC6A4 variants moderate the subjective effects of cocaine in non-treatment-seeking cocaine-dependent participants. PMID: 28590957
- TPH-1 is overexpressed in remodeled pulmonary arteries of patients with idiopathic Pulmonary Arterial Hypertension . PMID: 28582316
- Elderly Croatian Suicide completers, but not younger Suicide completers (below 65 years old), had higher frequencies of the CC genotype of polymorphisms localized in intron 7 of Typtophane Hydroxylase (TPH1) gene. PMID: 26743828
- These results suggested that silencing of androgen/androgen receptor signaling may cause initiation and progression of seminomas through increase in TPH1 gene expression level. PMID: 27144435
- The catalytic domain of TPH1 shares a sequence identity of 81% with TPH2. Despite the high sequence identity, differences in the kinetic parameters of the isoforms have been identified; i.e., only TPH1 displays substrate tryptophan inhibition. PMID: 29035515
- results confirm the role of TPH1, TPH2, 5HT2A, CRHR1 and ACP1 variants in the risk of suicidal behavior. PMID: 27479537
- Tryptophan Hydroxylase 1 Variant rs1800532 is associated with Suicide Attempt in Serbian Psychiatric Patients. PMID: 27037949
- This study demonstrates that both TPH1 and TPH2 are expressed in human and mouse placenta throughout pregnancy and helps to better understand the placental serotonin system, which is crucial for healthy pregnancy and fetal development. PMID: 28751217
- Genetic association studies have revealed contradictory results about the effect of the TPH1 A218C (rs1800532) polymorphism on suicidal behavior in different populations. Investigated A218C polymorphism in 109 suicide attempters and 98 healthy controls. Our results provide evidence that A allele of TPH1 A218C polymorphism may be associated with suicidal behavior in Turkish population PMID: 27497328
- The regulatory domain of isoform 1 of tryptophan hydroxylase was expressed and purified; mutagenesis of Cys64 was required to prevent formation of disulfide-linked dimers. PMID: 27255998
- Associations between serotonin transporter gene and tryptophan hydroxylase 1 polymorphisms and several Temperament and Character Inventory dimensions and subdimensions were revealed in subjects with bipolar disorder. PMID: 27573591
- there was a significant interaction between the TPH1 A218C A/C and 5-HTTLPR S+ gene polymorphisms in opiate-dependent, but not in alcohol-dependent patients. PMID: 27045756
- Polymorphisms in the TPH1 gene may be represented by diminished activity in lateral areas of the PFC underlying response inhibition. PMID: 26710093
- Decoy receptor 3 regulates the expression of tryptophan hydroxylase 1 in rheumatoid synovial fibroblasts PMID: 26238767
- TPH1 is functionally expressed in human coronary artery smooth muscle cells. PMID: 25861735
- This review showed no evidence for the association of antidepressant response with an A218C SNP in the TPH1 gene. PMID: 25419635
- The study provides evidence that A218C/A779C TPH-1 variants may be a risk factor to manifest suicidal behavior at the clinical level, which is in agreement with previously reported meta-analyses.[review and meta-analysis] PMID: 25005534
- TPH1 gene polymorphisms and S100A10 expression, which correlate with 5-HT signaling were associated with ramosetron effectiveness in IBS-D, and may possibly lead to prospective identification of the resistance to treatment. PMID: 25428414
- no significant effects on group differences or effects of exercise interventions for most of the biological parameters, that is, IL-6, neopterin, 5-HIAA and tryptophan PMID: 24140252
- Tph1 and increased EC cell number occurred before the onset of obesity and hyperleptinemi. In addition, leptin deficiency was associated with reduced Pax4 mRNA, oral leptin treatment enhanced both Tph1 and Pax4 mRNA. PMID: 24468700
- TPH1 gene polymorphism rs1800532 C>A is associated with the risk of paranoid schizophrenia in Russians and Tatars. PMID: 25842846
- Results suggest that TPH1 218A/C and HTR5A 12A/T polymorphisms cannot predict treatment response in major depression PMID: 24903772
- HTTLPR may mediate the risk for SMB through modulation of some temperamental traits. PMID: 24280759
- None of the genetic markers within SLC6A4, MAOA, TPH1 and TPH2 were significantly associated with completed suicide or suicide method in the basic association tests. PMID: 23313272
- results suggest that patients' perception of their illness, and of the impact it has on their lives, may be subject to genetic influences, in this case sequence variants in TPH1 PMID: 23172723
- The TPH1 promoter SNP -347C/A differentially binds EGR-1 and correlates with IBS bowel habit subtypes and possibly colonic TPH1 expression consistent with its role in modulating intestinal 5-HT signaling. PMID: 24060757
- These results cannot provide support for an important function of TPH1 and HTR1B in the pathogenesis of sclerosing bone dysplasias. PMID: 23563356
- Our results suggest that in acute depression TPH1 A218C polymorphism and specifically the CC genotype together with the information on remission or treatment response differentiates between different temperament profiles and their changes. PMID: 23597148
- Associations between adolescents' physical activity and depressive symptoms are not modified by plasticity genes. PMID: 23088179
- This study detected allelic or genotypic associations of TPH1 in clinically significant depression in Alzheimer;s disease . PMID: 23157339
- There is a relationship between sex, age & the TPH1 locus, with a trend towards a lower frequency of the AA genotype in former smokers. The TPH1 polymorphism is an indicator of therapeutic failure in smoking cessation. PMID: 23177301
- The GGCCGGGC haplotype in the first haplotype block of TPH1 was significantly associated with middle insomnia. PMID: 22429480
- TPH1 deficiency or inhibition reduces allergic airway inflammation. Platelet-derived 5-HT is pivotal in AAI and lack of 5-HT leads to impaired Th2 priming capacity of bone marrow dendritic cells. PMID: 23328530
- The TPH1 A218C polymorphism is a potential biomarker for bipolar disorder and alcohol dependence risk in Caucasian population (Meta-Analtsis) PMID: 21601290
- variants in TPH1 gene constitute risk factors for post traumatic stress disorder symptoms. PMID: 22483952
- Among maltreated children, polymorphisms of TPH1 were related to heightened self-report and peer report of antisocial behavior. PMID: 22781862
- Aggression in MDD patients is more susceptible to an excess of TPH1 CC homozygote than in undifferentiated somatoform disorder patients. TPH1 gene is most likely to have a shared effect on aggression and MDD. PMID: 22697203
- Variation in TPH1 may increase risk for developing borderline personality disorder as a result of childhood abuse. PMID: 21989108
- In conclusion, regardless of visceral hypersensitivity state, several serotonergic signaling components are altered in IBS patients. PMID: 22323131
- results indicate that the TPH1 CC recessive genotype is likely to be a genetic risk factor for criminal behavior, especially homicidal behavior in patients with schizophrenia. PMID: 22053918
- In non-diabetic controls, SNPs of TPH1 were associated with waist circumference and BMI. PMID: 21836641
- we concluded that TRH1 SNP is not associated with either adolescent idiopathic scoliosis predisposition or curve severity in Japanese. PMID: 21308753
- Results describe associations of tryptophan hydroxylase 1 and 2 gene variants with irritable bowel syndrome-related GI symptoms and stool characteristics. PMID: 21073637
- This study indicated that the TPH1 218A/C genotype and allele frequencies differed between Taiwanese healthy controls and patients with major depressive disorder PMID: 20945066
- The results suggest that TPH1 gene variation participates in the regulation of serotonin and dopamine turnover rates in the central nervous system of healthy human subjects. PMID: 20580984
- tryptophan hydroxylase 1 (TPH1) has a role in schizophrenia susceptibility and suicidal behavior PMID: 19526457
- TPH1 variation (rs10488683) was relevant in the diathesis for suicide attempts. PMID: 19381154
- Family analysis of 38 TPH1 mutation carriers and 41 of their offspring revealed that offspring of mothers carrying TPH1 mutations reported 1.5- to 2.5-times-higher ADHD scores and related symptoms during childhood and as adults than did controls. PMID: 20921119
- In the single largest attention-deficit/hyperactivity disorder (ADHD) genetic study of TPH1 and TPH2 variants presented to date (n = 3,559 individuals), evidence for a substantial effect of common genetic variants on persistent ADHD, was not found. PMID: 20213726
- Polymorphism of the TPH gene-T457C locus could show ethnic and regional differences. PMID: 18402117
顯示更多
收起更多
-
蛋白家族:Biopterin-dependent aromatic amino acid hydroxylase family
-
組織特異性:[Isoform 2]: Seems to be less widely expressed than isoform 1.
-
數據庫鏈接:
Most popular with customers
-
-
YWHAB Recombinant Monoclonal Antibody
Applications: ELISA, WB, IHC, IF, FC
Species Reactivity: Human, Mouse, Rat
-
Phospho-YAP1 (S127) Recombinant Monoclonal Antibody
Applications: ELISA, WB, IHC
Species Reactivity: Human
-
-
-
-
-















