TOX Antibody
-
中文名稱:TOX兔多克隆抗體
-
貨號:CSB-PA024073LA01HU
-
規格:¥440
-
圖片:
-
Western Blot
Positive WB detected in: Hela whole cell lysate, K562 whole cell lysate, A549 whole cell lysate, U87 whole cell lysate
All lanes: TOX antibody at 5.2µg/ml
Secondary
Goat polyclonal to rabbit IgG at 1/50000 dilution
Predicted band size: 58 kDa
Observed band size: 58 kDa -
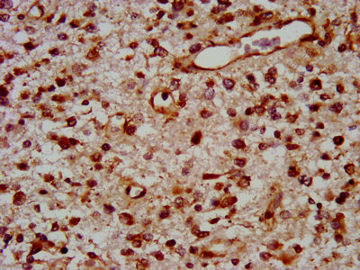
IHC image of CSB-PA024073LA01HU diluted at 1:400 and staining in paraffin-embedded human glioma performed on a Leica BondTM system. After dewaxing and hydration, antigen retrieval was mediated by high pressure in a citrate buffer (pH 6.0). Section was blocked with 10% normal goat serum 30min at RT. Then primary antibody (1% BSA) was incubated at 4°C overnight. The primary is detected by a biotinylated secondary antibody and visualized using an HRP conjugated SP system.
-
-
其他:
產品詳情
-
產品名稱:Rabbit anti-Homo sapiens (Human) TOX Polyclonal antibody
-
Uniprot No.:
-
基因名:TOX
-
別名:KIAA0808 antibody; Thymocyte selection-associated high mobility group box antibody; Thymocyte selection-associated high mobility group box protein TOX antibody; Thymus high mobility group box protein TOX antibody; Thymus high mobility group box protein, mouse, homolog of TOX1 antibody; TOX 1 antibody; Tox antibody; TOX_HUMAN antibody; TOX1 antibody
-
宿主:Rabbit
-
反應種屬:Human
-
免疫原:Recombinant Human Thymocyte selection-associated high mobility group box protein TOX protein (141-288AA)
-
免疫原種屬:Homo sapiens (Human)
-
標記方式:Non-conjugated
本頁面中的產品,TOX Antibody (CSB-PA024073LA01HU),的標記方式是Non-conjugated。對于TOX Antibody,我們還提供其他標記。見下表:
-
克隆類型:Polyclonal
-
抗體亞型:IgG
-
純化方式:>95%, Protein G purified
-
濃度:It differs from different batches. Please contact us to confirm it.
-
保存緩沖液:Preservative: 0.03% Proclin 300
Constituents: 50% Glycerol, 0.01M PBS, pH 7.4 -
產品提供形式:Liquid
-
應用范圍:ELISA, WB, IHC
-
推薦稀釋比:
Application Recommended Dilution WB 1:500-1:5000 IHC 1:200-1:500 -
Protocols:
-
儲存條件:Upon receipt, store at -20°C or -80°C. Avoid repeated freeze.
-
貨期:Basically, we can dispatch the products out in 1-3 working days after receiving your orders. Delivery time maybe differs from different purchasing way or location, please kindly consult your local distributors for specific delivery time.
-
用途:For Research Use Only. Not for use in diagnostic or therapeutic procedures.
相關產品
靶點詳情
-
功能:Transcriptional regulator with a major role in neural stem cell commitment and corticogenesis as well as in lymphoid cell development and lymphoid tissue organogenesis. Binds to GC-rich DNA sequences in the proximity of transcription start sites and may alter chromatin structure, modifying access of transcription factors to DNA. During cortical development, controls the neural stem cell pool by inhibiting the switch from proliferative to differentiating progenitors. Beyond progenitor cells, promotes neurite outgrowth in newborn neurons migrating to reach the cortical plate. May activate or repress critical genes for neural stem cell fate such as SOX2, EOMES and ROBO2. Plays an essential role in the development of lymphoid tissue-inducer (LTi) cells, a subset necessary for the formation of secondary lymphoid organs: peripheral lymph nodes and Peyer's patches. Acts as a developmental checkpoint and regulates thymocyte positive selection toward T cell lineage commitment. Required for the development of various T cell subsets, including CD4-positive helper T cells, CD8-positive cytotoxic T cells, regulatory T cells and CD1D-dependent natural killer T (NKT) cells. Required for the differentiation of common lymphoid progenitors (CMP) to innate lymphoid cells (ILC). May regulate the NOTCH-mediated gene program, promoting differentiation of the ILC lineage. Required at the progenitor phase of NK cell development in the bone marrow to specify NK cell lineage commitment. Upon chronic antigen stimulation, diverts T cell development by promoting the generation of exhaustive T cells, while suppressing effector and memory T cell programming. May regulate the expression of genes encoding inhibitory receptors such as PDCD1 and induce the exhaustion program, to prevent the overstimulation of T cells and activation-induced cell death.
-
基因功能參考文獻:
- TOX gene SNP rs11777927 was associated with antipsychotic-induced weight gain. PMID: 28327672
- TOX is an HMG box-containing protein that has important roles in T-ALL initiation and maintenance. TOX inhibits the recruitment of KU70/KU80 to DNA breaks, thereby inhibiting NHEJ repair. Thus, TOX is likely a dominant oncogenic driver in a large fraction of human T-ALL and enhances genomic instability PMID: 28974511
- TOX expression is insufficient for diagnosis of cutaneous T-cell lymphoma PMID: 26931394
- data suggest that GATA3 regulates TOX, revealing insight into TOX regulation PMID: 27345620
- Significant associations between single nucleotide polymorphisms in TOX, CDKN2A/B and type 2 diabetes meillitus. PMID: 26139146
- The SLC2A9 (rs7660895) and TOX (rs11777927) gene polymorphisms may be associated with formation of intracranial aneurysms, and rs7660895 may be associated with intracranial aneurysms rupture. PMID: 26125895
- TOX may be a specific marker for tumour cells in some types of cutaneous lymphoma. PMID: 25216799
- High TOX transcript levels correlate with increased cutaneous T-cell lymphoma. PMID: 25548321
- SNP rs2726600 is located in a transcription-factor binding site in the 3' region of TOX. PMID: 23415668
- Compared with TOX4, expression of TOX1, TOX2 and TOX3 in normal lung was 25, 44, and 88%lower, respectively, supporting the premise that reduced promoter activity confers increased susceptibility to methylation during lung carcinogenesis. PMID: 22496870
- results suggest that TOX is required for IL-15-mediated natural killer (NK) cell differentiation and affected expression of T-bet that plays critical roles in NK differentiation and maturation PMID: 21126536
- expression of the HMG box protein TOX is sufficient to induce changes in coreceptor gene expression associated with beta-selection, including CD8 gene demethylation PMID: 15078895
顯示更多
收起更多
-
亞細胞定位:Nucleus.
-
組織特異性:Expressed in NK cells. Highly expressed in tumor-infiltrating CD8-positive T cells (at protein level).
-
數據庫鏈接:
Most popular with customers
-
-
YWHAB Recombinant Monoclonal Antibody
Applications: ELISA, WB, IHC, IF, FC
Species Reactivity: Human, Mouse, Rat
-
Phospho-YAP1 (S127) Recombinant Monoclonal Antibody
Applications: ELISA, WB, IHC
Species Reactivity: Human
-
-
-
-
-















