TOM1L1 Antibody
-
中文名稱:TOM1L1兔多克隆抗體
-
貨號:CSB-PA024044LA01HU
-
規格:¥440
-
圖片:
-
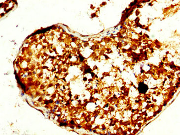
IHC image of CSB-PA024044LA01HU diluted at 1:240 and staining in paraffin-embedded human testis tissue performed on a Leica BondTM system. After dewaxing and hydration, antigen retrieval was mediated by high pressure in a citrate buffer (pH 6.0). Section was blocked with 10% normal goat serum 30min at RT. Then primary antibody (1% BSA) was incubated at 4°C overnight. The primary is detected by a biotinylated secondary antibody and visualized using an HRP conjugated SP system.
-
Immunofluorescence staining of Hela cells with CSB-PA024044LA01HU at 1:105, counter-stained with DAPI. The cells were fixed in 4% formaldehyde, permeabilized using 0.2% Triton X-100 and blocked in 10% normal Goat Serum. The cells were then incubated with the antibody overnight at 4°C. The secondary antibody was Alexa Fluor 488-congugated AffiniPure Goat Anti-Rabbit IgG(H+L).
-
-
其他:
產品詳情
-
產品名稱:Rabbit anti-Homo sapiens (Human) TOM1L1 Polyclonal antibody
-
Uniprot No.:
-
基因名:TOM1L1
-
別名:2310045L10Rik antibody; C80573 antibody; OK/KNS CL.3 antibody; Src activating and signaling molecule antibody; Src activating and signaling molecule protein antibody; Src-activating and signaling molecule protein antibody; SRCASM antibody; Target of Myb like protein 1 antibody; Target of Myb-like protein 1 antibody; Target of myb1 (chicken) homolog like 1 antibody; Target of myb1 (chicken) like 1 antibody; Target of myb1 like 1 antibody; TM1L1_HUMAN antibody; TOM1 L1 antibody; TOM1 like protein 1 antibody; TOM1-like protein 1 antibody; TOM1L1 antibody; TOM1L1 protein antibody
-
宿主:Rabbit
-
反應種屬:Human
-
免疫原:Recombinant Human TOM1-like protein 1 protein (296-476AA)
-
免疫原種屬:Homo sapiens (Human)
-
標記方式:Non-conjugated
本頁面中的產品,TOM1L1 Antibody (CSB-PA024044LA01HU),的標記方式是Non-conjugated。對于TOM1L1 Antibody,我們還提供其他標記。見下表:
-
克隆類型:Polyclonal
-
抗體亞型:IgG
-
純化方式:>95%, Protein G purified
-
濃度:It differs from different batches. Please contact us to confirm it.
-
保存緩沖液:Preservative: 0.03% Proclin 300
Constituents: 50% Glycerol, 0.01M PBS, pH 7.4 -
產品提供形式:Liquid
-
應用范圍:ELISA, IHC, IF
-
推薦稀釋比:
Application Recommended Dilution IHC 1:200-1:500 IF 1:50-1:200 -
Protocols:
-
儲存條件:Upon receipt, store at -20°C or -80°C. Avoid repeated freeze.
-
貨期:Basically, we can dispatch the products out in 1-3 working days after receiving your orders. Delivery time maybe differs from different purchasing way or location, please kindly consult your local distributors for specific delivery time.
-
用途:For Research Use Only. Not for use in diagnostic or therapeutic procedures.
相關產品
靶點詳情
-
功能:Probable adapter protein involved in signaling pathways. Interacts with the SH2 and SH3 domains of various signaling proteins when it is phosphorylated. May promote FYN activation, possibly by disrupting intramolecular SH3-dependent interactions.
-
基因功能參考文獻:
- TOM1L1 enhances ERBB2-induced cell invasiveness by promoting invadopodia formation and MT1-MMP trafficking to the plasma membrane. PMID: 26899482
- whereas TOM1L1 depletion only slightly affected SRC-induced proliferation of colorectal cancer cells in vitro, it drastically decreased tumor growth in xenografted nude mice. PMID: 23023324
- This pattern of Srcasm expression suggests that it may act as a negative regulator in esophageal squamous cell carcinoma cell signaling PMID: 20944134
- results imply that TOM1L has a mitogenic effect in Jurkat T-cells and is involved in a novel cell signaling pathway that is crucial for the IL-2 production and STAT3 expression PMID: 20182632
- Srcasm plays a role in linking EGF receptor- and SFK-dependent signaling to differentiation in keratinocytes PMID: 15579470
- Tom1L1 could act as an intermediary between signaling and degradative pathways. PMID: 15611048
- study found that not only the PTAP sequence in the GAT domain but also the PSAP sequence in the C-terminal region of Tom1L1 is responsible for its interaction with the UEV domain of Tsg101 and competes with the HIV-1 Gag protein for the Tsg101 interaction PMID: 18367816
- All multicentric and nodular basal cell carcinomas displayed a prominent loss of Srcasm staining in association with a marked increase in Ki-67 staining. PMID: 19220627
- Participation of Tom1L1 in EGF-stimulated endocytosis of EGF receptor. PMID: 19798056
顯示更多
收起更多
-
亞細胞定位:Golgi apparatus, Golgi stack. Endosome membrane. Cytoplasm. Membrane; Peripheral membrane protein; Cytoplasmic side.
-
蛋白家族:TOM1 family
-
數據庫鏈接:
Most popular with customers
-
-
YWHAB Recombinant Monoclonal Antibody
Applications: ELISA, WB, IHC, IF, FC
Species Reactivity: Human, Mouse, Rat
-
Phospho-YAP1 (S127) Recombinant Monoclonal Antibody
Applications: ELISA, WB, IHC
Species Reactivity: Human
-
-
-
-
-















