TNKS1BP1 Antibody
-
中文名稱:TNKS1BP1兔多克隆抗體
-
貨號:CSB-PA871634LA01HU
-
規格:¥440
-
圖片:
-
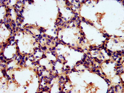
IHC image of CSB-PA871634LA01HU diluted at 1:300 and staining in paraffin-embedded human lung tissue performed on a Leica BondTM system. After dewaxing and hydration, antigen retrieval was mediated by high pressure in a citrate buffer (pH 6.0). Section was blocked with 10% normal goat serum 30min at RT. Then primary antibody (1% BSA) was incubated at 4°C overnight. The primary is detected by a biotinylated secondary antibody and visualized using an HRP conjugated SP system.
-
IHC image of CSB-PA871634LA01HU diluted at 1:300 and staining in paraffin-embedded human prostate tissue performed on a Leica BondTM system. After dewaxing and hydration, antigen retrieval was mediated by high pressure in a citrate buffer (pH 6.0). Section was blocked with 10% normal goat serum 30min at RT. Then primary antibody (1% BSA) was incubated at 4°C overnight. The primary is detected by a biotinylated secondary antibody and visualized using an HRP conjugated SP system.
-
Immunofluorescence staining of Hela cells with CSB-PA871634LA01HU at 1:100, counter-stained with DAPI. The cells were fixed in 4% formaldehyde, permeabilized using 0.2% Triton X-100 and blocked in 10% normal Goat Serum. The cells were then incubated with the antibody overnight at 4°C. The secondary antibody was Alexa Fluor 488-congugated AffiniPure Goat Anti-Rabbit IgG(H+L).
-
-
其他:
產品詳情
-
產品名稱:Rabbit anti-Homo sapiens (Human) TNKS1BP1 Polyclonal antibody
-
Uniprot No.:
-
基因名:TNKS1BP1
-
別名:182 kDa tankyrase 1 binding protein antibody; 182 kDa tankyrase-1-binding protein antibody; FLJ45975 antibody; KIAA1741 antibody; TAB182 antibody; Tankyrase 1 binding protein 1 182 kDa antibody; Tankyrase 1 binding protein 1 antibody; Tankyrase 1 binding protein of 182 kDa antibody; TB182_HUMAN antibody; Tnks1bp1 antibody
-
宿主:Rabbit
-
反應種屬:Human
-
免疫原:Recombinant Human 182 kDa tankyrase-1-binding protein (271-375AA)
-
免疫原種屬:Homo sapiens (Human)
-
標記方式:Non-conjugated
本頁面中的產品,TNKS1BP1 Antibody (CSB-PA871634LA01HU),的標記方式是Non-conjugated。對于TNKS1BP1 Antibody,我們還提供其他標記。見下表:
-
克隆類型:Polyclonal
-
抗體亞型:IgG
-
純化方式:>95%, Protein G purified
-
濃度:It differs from different batches. Please contact us to confirm it.
-
保存緩沖液:Preservative: 0.03% Proclin 300
Constituents: 50% Glycerol, 0.01M PBS, pH 7.4 -
產品提供形式:Liquid
-
應用范圍:ELISA, IHC, IF
-
推薦稀釋比:
Application Recommended Dilution IHC 1:200-1:500 IF 1:50-1:200 -
Protocols:
-
儲存條件:Upon receipt, store at -20°C or -80°C. Avoid repeated freeze.
-
貨期:Basically, we can dispatch the products out in 1-3 working days after receiving your orders. Delivery time maybe differs from different purchasing way or location, please kindly consult your local distributors for specific delivery time.
-
用途:For Research Use Only. Not for use in diagnostic or therapeutic procedures.
相關產品
靶點詳情
-
基因功能參考文獻:
- Results found that TNKS1BP1 was upregulated in human lung adenocarcinoma tissues, and regulates genome stability, mainly through affecting the homologous recombination pathway of DNA double-strand breaks. These results indicate that overexpression of TNKS1BP1 might affect the outcomes of lung cancer patients to chemotherapy and radiotherapy. PMID: 28058814
- In clinical samples of pancreatic cancer, TNKS1BP1 expression was reduced in invasive regions. We propose that the tankyrase-TNKS1BP1 axis constitutes a posttranslational modulator of cell invasion whose aberration promotes cancer malignancy PMID: 28202517
- TNKS1BP1 has a role in DNA double-strand break repair though DNA-PKcs autophosphorylation which is dependent on PARP-1 PMID: 25749521
- The telomeric poly(ADP-ribose) polymerase, tankyrase 1, contains multiple binding sites for telomeric repeat binding factor 1 (TRF1) and a novel acceptor, 182-kDa tankyrase-binding protein (TAB182). PMID: 11854288
- Identification of a tankyrase-binding motif in this protein. PMID: 12080061
- Data show that tankyrase 1 inhibition in human cancer cells enhances telomere shortening by a telomerase inhibitor and hastens cell death. PMID: 15652747
- We also demonstrate a requirement for tankyrase-1 in the assembly of bipolar spindles, and identify the spindle-pole protein NuMA as a substrate for covalent modification by tankyrase-1. PMID: 16244666
- TNKS-1 mRNA in urine sediment from patients with bladder TCC correlated with tumor stage, and higher preoperative levels were associated with increased risk of early recurrence. PMID: 17617028
顯示更多
收起更多
-
亞細胞定位:Nucleus. Cytoplasm, cytoskeleton. Chromosome. Note=Colocalizes with chromosomes during mitosis, and in the cytoplasm with cortical actin.
-
組織特異性:Detected in testis, ovary, lung, skeletal muscle, heart, prostate and pancreas, and at very low levels in brain and peripheral blood leukocytes.
-
數據庫鏈接:
Most popular with customers
-
-
YWHAB Recombinant Monoclonal Antibody
Applications: ELISA, WB, IHC, IF, FC
Species Reactivity: Human, Mouse, Rat
-
Phospho-YAP1 (S127) Recombinant Monoclonal Antibody
Applications: ELISA, WB, IHC
Species Reactivity: Human
-
-
-
-
-















