TNK2 Antibody
-
中文名稱:TNK2兔多克隆抗體
-
貨號:CSB-PA181605
-
規格:¥1100
-
圖片:
-
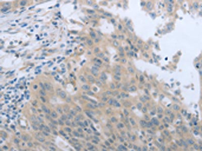
The image on the left is immunohistochemistry of paraffin-embedded Human breast cancer tissue using CSB-PA181605(TNK2 Antibody) at dilution 1/70, on the right is treated with synthetic peptide. (Original magnification: ×200)
-
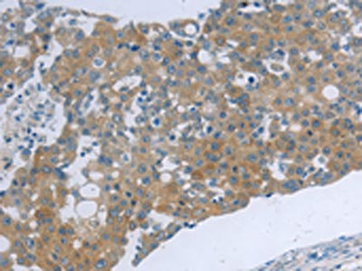
The image on the left is immunohistochemistry of paraffin-embedded Human ovarian cancer tissue using CSB-PA181605(TNK2 Antibody) at dilution 1/70, on the right is treated with synthetic peptide. (Original magnification: ×200)
-
-
其他:
產品詳情
-
Uniprot No.:
-
基因名:TNK2
-
別名:Acetate kinase 1 antibody; Acetokinase 1 antibody; ACK 1 antibody; ACK antibody; ACK-1 antibody; ACK1 antibody; ACK1_HUMAN antibody; Activated Cdc42 associated kinase 1 antibody; Activated CDC42 kinase 1 antibody; Activated p21cdc42Hs kinase antibody; FLJ44758 antibody; FLJ45547 antibody; p21cdc42Hs antibody; TNK 2 antibody; TNK2 antibody; Tyrosine kinase non receptor 2 antibody; Tyrosine kinase non receptor protein 2 antibody; Tyrosine kinase non-receptor protein 2 antibody
-
宿主:Rabbit
-
反應種屬:Human,Mouse,Rat
-
免疫原:Synthetic peptide of Human TNK2
-
免疫原種屬:Homo sapiens (Human)
-
標記方式:Non-conjugated
-
抗體亞型:IgG
-
純化方式:Antigen affinity purification
-
濃度:It differs from different batches. Please contact us to confirm it.
-
保存緩沖液:-20°C, pH7.4 PBS, 0.05% NaN3, 40% Glycerol
-
產品提供形式:Liquid
-
應用范圍:ELISA,IHC
-
推薦稀釋比:
Application Recommended Dilution ELISA 1:2000-1:10000 IHC 1:50-1:200 -
Protocols:
-
儲存條件:Upon receipt, store at -20°C or -80°C. Avoid repeated freeze.
-
貨期:Basically, we can dispatch the products out in 1-3 working days after receiving your orders. Delivery time maybe differs from different purchasing way or location, please kindly consult your local distributors for specific delivery time.
-
用途:For Research Use Only. Not for use in diagnostic or therapeutic procedures.
相關產品
靶點詳情
-
功能:Non-receptor tyrosine-protein and serine/threonine-protein kinase that is implicated in cell spreading and migration, cell survival, cell growth and proliferation. Transduces extracellular signals to cytosolic and nuclear effectors. Phosphorylates AKT1, AR, MCF2, WASL and WWOX. Implicated in trafficking and clathrin-mediated endocytosis through binding to epidermal growth factor receptor (EGFR) and clathrin. Binds to both poly- and mono-ubiquitin and regulates ligand-induced degradation of EGFR, thereby contributing to the accumulation of EGFR at the limiting membrane of early endosomes. Downstream effector of CDC42 which mediates CDC42-dependent cell migration via phosphorylation of BCAR1. May be involved both in adult synaptic function and plasticity and in brain development. Activates AKT1 by phosphorylating it on 'Tyr-176'. Phosphorylates AR on 'Tyr-267' and 'Tyr-363' thereby promoting its recruitment to androgen-responsive enhancers (AREs). Phosphorylates WWOX on 'Tyr-287'. Phosphorylates MCF2, thereby enhancing its activity as a guanine nucleotide exchange factor (GEF) toward Rho family proteins. Contributes to the control of AXL receptor levels. Confers metastatic properties on cancer cells and promotes tumor growth by negatively regulating tumor suppressor such as WWOX and positively regulating pro-survival factors such as AKT1 and AR. Phosphorylates WASP.
-
基因功能參考文獻:
- blockade of ACK1/TNK2 could be a new therapeutic modality to target recalcitrant Prostate cancer stem-like cells. PMID: 29386546
- HSP90 is an upstream regulator of the ACK1-dependent phosphorylation of STAT1 and STAT3. PMID: 28739485
- we demonstrate that amplification of ACK1 promotes gastric tumorigenesis by inducing an ECD-dependent ubiquitination degradation of p53 PMID: 26498357
- These findings suggest that ACK adopts a dock and coalesce binding mechanism with Cdc42. In contrast to other CRIB-family effectors and indeed other intrinsically disordered proteins, hydrophobic residues likely drive Cdc42-ACK binding. PMID: 28539360
- miR-24 represses metastasis of human osteosarcoma cells by targeting Ack1 via AKT-MMP2-MMP9 pathway. PMID: 28189676
- findings identify ACK1 as a novel SLP-76-associated protein-tyrosine kinase that modulates early activation events in T cells. PMID: 28188290
- ACK1 protein is increased extensively in colitis and colorectal dysplasia. ACK1 overexpression may play a role in colorectal inflammation and neoplasms. PMID: 27926694
- Ack1 overexpression promotes metastasis in hepatocellular carcinoma. PMID: 26536663
- Results found that the expression of ACK1 was significantly up-regulated in non-small-cell lung cancer (NSCLC) samples and demonstrate that ACK1 played an oncogenic role in the progression of NSCLC. PMID: 25945695
- Authors identified tyrosine kinase nonreceptor 2 (TNK2) point mutations that exhibited oncogenic capacity. PMID: 26677978
- that the cdc42-activated, nonreceptor tyrosine kinase, Ack1, is a DAT endocytic brake that stabilizes DAT at the plasma membrane. PMID: 26621748
- TNK2 (and TNR) harbored rare, genetic variants in individuals with familial Parkinson's Disease. PMID: 26595808
- Our results indicate that ACK1 is an independent prognostic marker and promotes hepatocellular carcinoma progression PMID: 25738261
- Studies indicate that activated CDC42 kinase 1 (ACK1) interacts with the estrogen receptor (ER) and regulates the activity of androgen receptor (AR) to promote the growth of breast cancer and prostate cancer. PMID: 25347744
- expression of Ack1 plays an important role as predictor of recurrence and poor outcome in hepatocellular carcinoma patients. PMID: 25445114
- ACK1 promotes EMT, migration, and invasion by activating AKT-POU2F1-ECD signalling in Gastric cancer cells. ACK1 may be employed as a new prognostic factor and therapeutic target for gastric cancer. PMID: 25678401
- We uncovered ten new mutations in TNK2 and DDR1 within serous and endometrioid ECs, thus providing novel insights into the mutation spectrum of each gene in EC. PMID: 25427824
- Increased ACK1 tyrosine phosphorylation correlated with upregulated PDGFR-beta activity and AKT activation. PMID: 25257795
- ACK1 interacts with KDM3A to regulate the mammary tumor oncogene HOXA1. PMID: 25148682
- A novel role for Ack1 in diverting activated EGFR into a non-canonical degradative pathway. PMID: 24413169
- we describe the role of ACK1, a non-receptor tyrosine kinase in abrogating migration and invasion in KRAS mutant lung adenocarcinoma PMID: 24461128
- TNK2 amplification is an independent predictor of a poor prognosis in patients with GC and leads to an increase in the malignant potential of GC cells. PMID: 24178904
- Ack1 acts in a kinase-independent manner to promote TRAIL-R1/2 accumulation in lipid rafts. These findings identify Ack1 as an essential player in the spatial regulation of TRAIL-R1/2. PMID: 24085293
- describes a family with severe autosomal recessive infantile onset epilepsy. identified a homozygous missense variant in TNK2. PMID: 23686771
- the molecular mechanisms modulating ACK1 PMID: 23208506
- Ack1 interacts with Trk receptors and becomes tyrosine phosphorylated and its kinase activity is increased in response to neurotrophins. PMID: 23598414
- ACK1 directly binds and phosphorylates the Arp2/3 regulatory protein cortactin, potentially providing a direct link to Arp2/3-based actin dynamics during EGFR degradation. PMID: 22952966
- Ack1-mediated androgen receptor phosphorylation modulates radiation resistance in castration-resistant prostate cancer PMID: 22566699
- Ack1 activates AKT directly in pancreatic and other cancer cell lines by phosphorylating AKT at Tyr176 to promote cell survival. PMID: 22322295
- The up-regulated expressions of ACK1 protein and mRNA are correlated with the progression and prognosis of esophageal squamous cell carcinoma. PMID: 21418896
- ACK1 is not autoinhibited but requires Src for activation. PMID: 21309750
- SNP rs2278034 in ACK1 is associated with IFN therapy outcome in patients with HCV. ACK1 may play a role in innate and IFN-induced antiviral action against HCV. PMID: 21129804
- Ack1 mediated AKT/PKB tyrosine 176 phosphorylation regulates its activation PMID: 20333297
- Data show that the ACK1 S985 N mutant is unable to bind ubiquitin, which contributes to ACK1 protein stability and stabilizes EGFR after EGF stimulation, thereby prolonging mitogenic signaling in cancer cells. PMID: 20359967
- Recent advances in understanding the physiological functions of Ack1 signaling in normal cells and the consequences of its hyperactivation in various cancers, are discussed. PMID: 20432460
- Cancer-associated mutations activate the nonreceptor tyrosine kinase Ack1. PMID: 20110370
- These findings suggest an essential role of Nedd4-1 in regulation of EGFR degradation through interaction with and ubiquitination of ACK. PMID: 20086093
- Results identify several receptor tyrosine kinases, including Axl, that can bind to the ACK1/MIG6 homology region. PMID: 19815557
- ACK-1 and ACK-2 have roles in transducing Cdc42 signals directly to the nucleus PMID: 14733946
- binding specificity to activated Cdc42-associated kinase is conferred by a specific region in Cdc42 PMID: 15123659
- crystal structures of the human ACK1 kinase domain in both the unphosphorylated and phosphorylated states PMID: 15308621
- Data show that in the presence of SNX9, synaptojanin-1 is able to colocalize with distinct ACK1 containing vesicles. PMID: 16137687
- overexpression of Ack1 in cancer cell lines can increase the invasive phenotype of these cells; Ack1 is involved in extracellular matrix-induced integrin signaling, ultimately activating signaling processes like the activation of the small GTPase Rac PMID: 16247015
- Dimerization in response to EGF and activated Cdc42-associated tyrosine kinase 2 (ACK2), which is mediated by the BAR domain, is essential for the intracellular function of SH3PX1. PMID: 16316319
- These experiments suggest a functional role for Ack as an early transducer of multiple extracellular stimuli. PMID: 16777958
- The interaction between Ack1 and p130(Cas) occurred through their respective SH3 domains, while the substrate domain of p130(Cas) was the major site of Ack1-dependent phosphorylation. PMID: 17038317
- The results were confirmed at the level of mRNA and protein, and suggested that four genes (OPCML, RNASE1, YES1 and ACK1) could play a key role in the tumorigenesis and metastasis of gastric cancer. PMID: 17109515
- Ack1 activated by surface signals or oncogenic mechanisms may directly enhance AR transcriptional function and promote androgen-independent progression of prostate cancer. PMID: 17494760
- These data suggest that Ack1 is involved in an early step of EGFR desensitization. PMID: 18262180
- TNK2 enhanced migration and invasion of breast cancer cells by preserving EGFR expression, inspite of its previously reported signalling via BCAR1, explaining its oncogenic behaviour in vitro and correlation with metastatic human breast cancer in vivo. PMID: 18435854
顯示更多
收起更多
-
亞細胞定位:Cell membrane. Nucleus. Endosome. Cell junction, adherens junction. Cytoplasmic vesicle membrane; Peripheral membrane protein; Cytoplasmic side. Cytoplasmic vesicle, clathrin-coated vesicle. Membrane, clathrin-coated pit. Cytoplasm, perinuclear region. Cytoplasm, cytosol.
-
蛋白家族:Protein kinase superfamily, Tyr protein kinase family
-
組織特異性:The Tyr-284 phosphorylated form shows a significant increase in expression in breast cancers during the progressive stages i.e. normal to hyperplasia (ADH), ductal carcinoma in situ (DCIS), invasive ductal carcinoma (IDC) and lymph node metastatic (LNMM)
-
數據庫鏈接:
Most popular with customers
-
-
YWHAB Recombinant Monoclonal Antibody
Applications: ELISA, WB, IHC, IF, FC
Species Reactivity: Human, Mouse, Rat
-
Phospho-YAP1 (S127) Recombinant Monoclonal Antibody
Applications: ELISA, WB, IHC
Species Reactivity: Human
-
-
-
-
-















