TNFRSF9 Antibody
-
中文名稱:TNFRSF9兔多克隆抗體
-
貨號:CSB-PA983768
-
規格:¥1100
-
圖片:
-
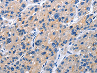
The image on the left is immunohistochemistry of paraffin-embedded Human liver cancer tissue using CSB-PA983768(TNFRSF9 Antibody) at dilution 1/40, on the right is treated with fusion protein. (Original magnification: ×200)
-
The image on the left is immunohistochemistry of paraffin-embedded Human gastric cancer tissue using CSB-PA983768(TNFRSF9 Antibody) at dilution 1/40, on the right is treated with fusion protein. (Original magnification: ×200)
-
-
其他:
產品詳情
-
Uniprot No.:
-
基因名:
-
別名:4 1BB antibody; 4 1BB ligand receptor antibody; 4-1BB ligand receptor antibody; 4-1BB Ligand Receptor T Cell antibody; 4-1BB, mouse, homolog of antibody; Antigen 4-1BB Homolog antibody; CD 137 antibody; CD137 antibody; CD137 antigen antibody; CDw137 antibody; HLDA VI antibody; Homolog of mouse 4 1BB antibody; ILA antibody; induced by lymphocyte activation (ILA) antibody; Induced by lymphocyte activation antibody; Interleukin activated receptor homolog of mouse Ly63 antibody; Ly63, mouse, homolog of antibody; MGC2172 antibody; OTTHUMP00000044294 antibody; Receptor protein 4 1BB antibody; T cell antigen 4 1BB homolog antibody; T cell antigen ILA antibody; T-cell antigen 4-1BB homolog antibody; T-cell antigen ILA antibody; TNF receptor superfamily member 9 antibody; TNFRSF9 antibody; TNR9_HUMAN antibody; Tumor necrosis factor receptor superfamily member 9 antibody
-
宿主:Rabbit
-
反應種屬:Human
-
免疫原:Fusion protein of Human TNFRSF9
-
免疫原種屬:Homo sapiens (Human)
-
標記方式:Non-conjugated
-
抗體亞型:IgG
-
純化方式:Antigen affinity purification
-
濃度:It differs from different batches. Please contact us to confirm it.
-
保存緩沖液:-20°C, pH7.4 PBS, 0.05% NaN3, 40% Glycerol
-
產品提供形式:Liquid
-
應用范圍:ELISA,IHC
-
推薦稀釋比:
Application Recommended Dilution ELISA 1:1000-1:2000 IHC 1:25-1:100 -
Protocols:
-
儲存條件:Upon receipt, store at -20°C or -80°C. Avoid repeated freeze.
-
貨期:Basically, we can dispatch the products out in 1-3 working days after receiving your orders. Delivery time maybe differs from different purchasing way or location, please kindly consult your local distributors for specific delivery time.
-
用途:For Research Use Only. Not for use in diagnostic or therapeutic procedures.
相關產品
靶點詳情
-
功能:Receptor for TNFSF9/4-1BBL. Possibly active during T cell activation.
-
基因功能參考文獻:
- 3 SNPs (rs161827, rs161818, and rs161810) of the CD137 gene and their association with ischemic stroke were studied in a northern Chinese Han population. rs161827 was significantly different between patients with and without diabetes and the controls. rs161818 and rs161810 differed significantly between patients without diabetes and the controls. All 3 were statistically significant in the combination stroke group. PMID: 28755037
- Herein, we present LOAd703, a designed adenovirus armed with trimerized CD40L and 4-1BBL that activates the CD40 and 4-1BB pathways, respectively PMID: 28536305
- Tonic 4-1BB costimulation in chimeric antigen receptors impedes T cell survival and is vector-dependent. PMID: 28978471
- Cetuximab-mediated NK-cell expression of CD137 on tumor-infiltrating lymphocytes is dependent on FcgammaRIIIa polymorphism. In neoadjuvant cetuximab-treated patients with head and neck cancer, upregulation of CD137 by intratumoral, cetuximab-activated NK cells correlated with FcgammaRIIIa V/F polymorphism and predicted clinical response. PMID: 27496866
- In this study we systematically evaluated a series of CAR constructs targeting glypican-3 (GPC3), which is selectively expressed on several solid tumors. We compared GPC3-specific CARs that encoded CD3zeta (Gz) alone or with costimulatory domains derived from CD28 (G28z), 4-1BB (GBBz), or CD28 and 4-1BB (G28BBz). PMID: 27530312
- 4-1BB and 4-1BBL qualify as markers for prediction of patients' course and represent a valuable screening target for patients with acute myeloid leukemia at initial diagnosis. PMID: 27388616
- the role of CD137-CRDI (cysteine rich domain I) in the binding of CD137-CD137L was further investigated. PMID: 27430526
- Egr2-driven cell surface proteins LAG-3 and 4-1BB can identify dysfunctional tumor antigen-specific CD8(+) TIL. PMID: 28115575
- Findings indicate that CD137 antigen is a useful marker that can be used for identifying Mycobacterium tuberculosis (Mtb)-reactive CD4(+) T cells (Mtb-reactive CD4(+) T cells) by flow cytometry. PMID: 28218958
- Anti-4-1BB single chain variable fragments enhanced surface CD69 expression and interleukin-2 production in stimulated CCRF-CEM cells which confirmed the agonistic effect of the selected single chain variable fragments. The data from this study have provided a rationale for further experiments involving the biological functions of anti-4-1BB single chain variable fragments in future studies. PMID: 28347235
- Studies suggest that adoptive T cell therapy and CD137 antigen offer much opportunity to raise the efficacy of current cancer immunotherapies. PMID: 26970765
- in complex with T cell receptor, promotes memory T cells, cell respiration, fatty acid oxidation and mitochondrial biogenesis PMID: 26885860
- These studies provide the first direct evidence that ligation of tumour necrosis factor superfamily members and their cognate receptors is important for the control of viral lytic replication. PMID: 26467721
- Our findings provide a novel, TNFRSF9-positive, reactive astrocytic phenotype in human gliomas PMID: 24606203
- Human genetic evidence for involvement of CD137 in atherosclerosis PMID: 25032953
- As a result of becoming activated, transferred human T lymphocytes express the inducible surface antigens hPD-1 and hCD137 on their plasma membrane. PMID: 26113085
- Our results provide biological explanations for the antitumor effects of CD19 CARs and for the observations that CD19 CAR T cells incorporating the 4-1BB costimulatory domain are more persistent than those incorporating CD28 in clinical trials. PMID: 25939063
- upregulation of CD137 expression through LMP1 by EBV promotes cell survival in T or NK cells PMID: 25409517
- Based on CD137 or CD154 expression. PMID: 25367298
- High expression of CD137 is associated with type 1 diabetes. PMID: 24797972
- DENV C disrupts Daxx and NF-kappaB interaction to induce CD137-mediated apoptosis during DENV infection PMID: 25019989
- action of agonist anti-4-1BB in suppressing autoimmune and allergic inflammation was completely dependent on Galectin-9 (Gal-9). Gal-9 directly bound to 4-1BB, in a site distinct from the binding site of antibodies and the natural ligand of 4-1BB PMID: 24958847
- A role for the TNFR-family member CD137 in the immunobiology of human cancer where it is preferentially expressed on tumor-reactive subset of tumor-infiltrating lymphocytes. PMID: 24045181
- monocytes interact with iNKT cells to increase expression of 4-1BBL and 4-1BB, and in conjunction with this pathway, maintain their numbers at baseline. PMID: 24639347
- findings show that immunohistochemistry for CD137L is capable of reliably distinguishing small B-cell lymphomas from reactive lymphoid aggregates PMID: 24746207
- Dengue virus induces CD137 signaling to enhance apoptosis by increasing TNF-alpha production via activation of p38 MAPK. PMID: 23557259
- this is the first study to indicate that this member of the TNF superfamily, CD137, is modulated by SAHA treatment in breast cancer cells PMID: 22797667
- The CD137 multi-parameter flow cytometry fast assay allows for phenotypic and functional determination of alloreactive precursor frequencies of both CD4+ and CD8+ T cells with high sensitivity and specificity. PMID: 23750604
- Co-stimulation through 4-1BB/CD137 improves the expansion and function of CD8(+) melanoma tumor-infiltrating lymphocytes for adoptive T-cell therapy. PMID: 23560068
- Taken together, these data provide evidence that the 4-1BB signal is an important regulator of gammadelta T cells PMID: 23640752
- the mechanisms that account for the effect of CD137 signaling on TNF-alpha production were based on a decrease of TNF-alpha production by antigen presenting cell (APC) and, perhaps, on the increase in APC apoptosis. PMID: 23437083
- Our results reveal a new regulatory mechanism for CD137L expression that mediates immune escape by HRS cells, and they identify CD137 as a candidate target for immunotherapy of Hodgkin PMID: 23204227
- Head and neck cancer patients have decreased levels of alternative co-stimulatory receptors OX40 and 4-1BB. PMID: 22204816
- 4-1BB (CD137), together with CD103, marks mesenteric lymph node dendritic cells (DC) with the highest level of retinal dehydrogenase (RALDH) activity, and ligation of 4-1BB maintains RALDH expression in these gut DC. PMID: 22896640
- CD137 protein is expressed by a select group of hematolymphoid tumors, including classical Hodgkin lymphoma, T-cell and NK/T-cell lymphomas, and follicular dendritic cells neoplasms. PMID: 22901750
- treatment with CD137 agonistic antibody induces CCL21 expression and DC accumulation close to lymphatic vessels. Collectively, our results demonstrate that the inflammatory function of lymphatic vessels can be regulated by CD137. PMID: 22593548
- CD137:CD137L interactions regulate the innate and adaptive immune response of the host against M. tuberculosis PMID: 21747409
- significantly positive correlation between CD137 expression and complex coronary stenosis morphology PMID: 21396356
- Data indicate that 4-1BBL mediates NK-cell immunosubversion in CLL, and thus might contribute to the reportedly compromised efficacy of Rituximab to induce NK-cell reactivity in the disease. PMID: 22144129
- CD137 activity is directly proportional to colorectal cancer stage. Surgical resection of the tumor results in increased CD134 and CD137 expression PMID: 22343199
- We show that the inflammatory and cytotoxic function of CD4(+)CD28(null) T cells can be inhibited by blocking OX40 and 4-1BB costimulatory receptors. PMID: 22282196
- The sCD137 levels correlate with the probability of complications and lethality. The association of sCD137, a product of activated T cells, with the severity of acute pancreatitis suggests that T cells contribute to the pathogenesis of acute pancreatitis. PMID: 21963611
- CD137 has a role in breast cancer and its specific antibody can be used to enhance trastuzumab efficacy PMID: 22326955
- conditioned medium from Lewis Lung Carcinoma cells caused significant upregulation of 4-1BB in mast cells PMID: 22343053
- Data indicate that ex4-1BBL augments 4-1BB expression not only on the primed T cell, but also on DC. PMID: 21745658
- The measurement of a single gene expressed by tumor cells (LMO2) and a single gene expressed by the immune microenvironment (TNFRSF9) powerfully predicts overall survival in patients with diffuse large B-cell lymphoma. PMID: 21670469
- This work is the first to demonstrate the contribution of CD137 signaling to DENV-mediated apoptosis. PMID: 21669186
- CD137 ligand can also be expressed as a transmembrane protein on the cell surface and transmit signals into the cells on which it is expressed (reverse signaling). PMID: 20643812
- Results suggest with a two-step model of M cell differentiation, with initial CD137-independent commitment to the M cell lineage followed by CD137-CD137L interaction of M cells with CD137-activated B cells or dendritic cells for functional maturation. PMID: 20616340
- Data support a role for CD137 in the recruitment of monocytes to inflammatory tissues. PMID: 20347151
顯示更多
收起更多
-
亞細胞定位:Membrane; Single-pass type I membrane protein.
-
組織特異性:Expressed on the surface of activated T-cells.
-
數據庫鏈接:
Most popular with customers
-
-
YWHAB Recombinant Monoclonal Antibody
Applications: ELISA, WB, IHC, IF, FC
Species Reactivity: Human, Mouse, Rat
-
Phospho-YAP1 (S127) Recombinant Monoclonal Antibody
Applications: ELISA, WB, IHC
Species Reactivity: Human
-
-
-
-
-















