TNFRSF25 Antibody
-
中文名稱:TNFRSF25兔多克隆抗體
-
貨號:CSB-PA213899
-
規格:¥1100
-
圖片:
-
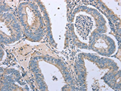
The image on the left is immunohistochemistry of paraffin-embedded Human liver cancer tissue using CSB-PA213899(TNFRSF25 Antibody) at dilution 1/20, on the right is treated with fusion protein. (Original magnification: ×200)
-
The image on the left is immunohistochemistry of paraffin-embedded Human cervical cancer tissue using CSB-PA213899(TNFRSF25 Antibody) at dilution 1/20, on the right is treated with fusion protein. (Original magnification: ×200)
-
-
其他:
產品詳情
-
Uniprot No.:
-
基因名:
-
別名:Apo 3 antibody; Apo-3 antibody; Apo3 antibody; Apoptosis inducing receptor AIR antibody; Apoptosis inducing receptor antibody; Apoptosis mediating receptor antibody; Apoptosis mediating receptor DR 3 antibody; Apoptosis mediating receptor DR3 antibody; Apoptosis mediating receptor TRAMP antibody; Apoptosis-inducing receptor AIR antibody; Apoptosis-mediating receptor DR3 antibody; Apoptosis-mediating receptor TRAMP antibody; DDR 3 antibody; DDR3 antibody; Death domain receptor 3 antibody; Death domain receptor 3 soluble form antibody; Death receptor 3 antibody; Death receptor beta antibody; DR 3 antibody; DR3 antibody; LARD antibody; Lymphocyte associated receptor of death antibody; Lymphocyte-associated receptor of death antibody; Protein WSL antibody; Protein WSL-1 antibody; TNF receptor superfamily member 25 antibody; TNFR25 antibody; TNFRSF 12 antibody; TNFRSF 25 antibody; TNFRSF12 antibody; TNFRSF12, formerly antibody; TNFRSF25 antibody; TNR25_HUMAN antibody; TR 3 antibody; TR3 antibody; TRAMP antibody; Translocating chain association membrane protein antibody; Tumor necrosis factor receptor superfamily member 12 antibody; Tumor necrosis factor receptor superfamily member 25 antibody; Tumor necrosis factor receptor superfamily, member 12 (translocating chain association membrane protein) antibody; Tumor necrosis factor receptor superfamily, member 12, formerly antibody; WSL 1 antibody; WSL antibody; WSL LR antibody; WSL protein antibody; WSL1 antibody; WSL1 protein antibody; WSLLR antibody
-
宿主:Rabbit
-
反應種屬:Human
-
免疫原:Fusion protein of Human TNFRSF25
-
免疫原種屬:Homo sapiens (Human)
-
標記方式:Non-conjugated
-
抗體亞型:IgG
-
純化方式:Antigen affinity purification
-
濃度:It differs from different batches. Please contact us to confirm it.
-
保存緩沖液:-20°C, pH7.4 PBS, 0.05% NaN3, 40% Glycerol
-
產品提供形式:Liquid
-
應用范圍:ELISA,IHC
-
推薦稀釋比:
Application Recommended Dilution ELISA 1:1000-1:2000 IHC 1:10-1:50 -
Protocols:
-
儲存條件:Upon receipt, store at -20°C or -80°C. Avoid repeated freeze.
-
貨期:Basically, we can dispatch the products out in 1-3 working days after receiving your orders. Delivery time maybe differs from different purchasing way or location, please kindly consult your local distributors for specific delivery time.
-
用途:For Research Use Only. Not for use in diagnostic or therapeutic procedures.
相關產品
靶點詳情
-
功能:Receptor for TNFSF12/APO3L/TWEAK. Interacts directly with the adapter TRADD. Mediates activation of NF-kappa-B and induces apoptosis. May play a role in regulating lymphocyte homeostasis.
-
基因功能參考文獻:
- Hypermethylation of the proapoptotic genes BCL2 L11 and TNFRSF25 is observed in pleomorphic adenoma of the salivary glands. However, this phenomenon did not impact mRNA transcription. PMID: 28941993
- the DR3/TL1A pathway directly enhances human OC formation and resorptive activity, controlling expression and activation of CCL3 and MMP-9. PMID: 28062298
- Untreated children with IBD have higher percentage of DR3(+) PBMCs. PMID: 27001939
- In addition to apoptosis, DR3 can robustly trigger necroptotic cell death and provide evidence for TL1A-induced, DR3-mediated necrosome assembly. DR3-mediated necroptosis critically depends on receptor-interacting protein 1 (RIP1) and RIP3, the core components of the necroptotic machinery, which activate the pseudo-kinase mixed lineage kinase domain-like, the prototypic downstream effector molecule of necroptosis. PMID: 27592300
- Data suggest that human regulatory T-lymphocytes express DR3 and demonstrate DR3/TL1A-mediated activation of signaling via MAP kinases and NFkappaB. (DR3 = death receptor 3; TL1A/TNFSF15 = tumor necrosis factor [ligand] superfamily, member 15) PMID: 28337757
- These results raise the possibility for involvement of TL1A/DR3/DR3-mediated mechanisms in epithelial-mesenchymal interactions and the development of inflammation-induced intestinal fibrosis in Crohn's disease. PMID: 27665176
- Activation of DR3 is accompanied by inhibition of apoptosis of naive T-lymphocytes in children with acute infectious mononucleosis. PMID: 27682848
- Biologics beyond TNF-alpha inhibitors and the effect of targeting the homologues TL1A-DR3 pathway in chronic inflammatory disorders. PMID: 26810853
- Higher DR3 levels were associated with early stage chronic lymphocytic leukemia. PMID: 26393680
- DR3 is efficiently activated by soluble TL1A trimers. PMID: 26509650
- These data identify new roles for DR3 in regulating OB-dependent bone mineral apposition. PMID: 26065008
- Human memory IL-18Ralpha and DR3 CD4+ T cells may contribute to antigen-independent innate responses at barrier surfaces. PMID: 25269704
- DR3 is expressed by IL-22-producing human group 3 innate lymphoid cells (ILC3s). PMID: 26046454
- These results suggested that TL1A could promote Th17 differentiation in rheumatoid arthritis via the activation of RORc, and this effect may be mediated by the binding of TL1A with DR3. PMID: 24832108
- Silencing of the DR3 gene affect levels of apoptosis antigen3 ligand in cells. PMID: 25370568
- DR3 is expressed in some interstitial vascular endothelial cells in human kidney in situ. These EC also respond to TL1A by activating NF-kappaB. Very low levels of DR3 are seen on the cell surface of HUVEC, which do not respond to TL1A. PMID: 25399326
- The changes in frequency of occurrence of spliced variants of DR3/LARD mRNA were directed towards modulation of apoptosis and restraint of antiviral immune response. PMID: 25929035
- Distinctions in occurrence of spectrums of DR3/LARD mRNA at healthy volunteers and colon cancer patients can define a different susceptibility of immunocompetent and tumor cells for apoptosis PMID: 25509355
- DR-3 drives early cartilage destruction in the antigen-induced model of inflammatory arthritis through the release of CXCL1, maximizing neutrophil recruitment to the joint and leading to enhanced local production of cartilage-destroying enzymes. PMID: 25044706
- Suggest tectochrysin leads to apoptotic cell death in NSCLC cells through activation of DR3 and Fas expression via inhibition of STAT3 phosphorylation. PMID: 25083589
- TRAMP mice fed with 3'-diindolylmethane-supplemented diet show much lower incidence of tumorigenesis and metastasis than the untreated control group. PMID: 23658110
- Collectively, these data suggest a complex role for DR3 in breast cancer development and progression PMID: 23443464
- Both TNFRSF25 and TNFRSF4 independently and additively costimulate vaccine-induced CD8+ T cell proliferation following both primary and secondary antigen challenge. PMID: 22956587
- Protein expression of tumour necrosis factor (TNF)-like ligand 1A (TL1A) and death-domain receptor (DR)3 is upregulated in the aged bladder tissues. PMID: 22641456
- Investigated further the mechanisms by which the E-selectin-activated pathways downstream of DR3 confer a survival advantage to colon cancer cells. PMID: 21722370
- It was shown that IL-32 enhanced the cytotoxic effect of natural killer cells on protate cancer cells through activation of DR3 and caspase-3. PMID: 22043900
- in active psoriasis, we observed abundant immunostaining for TL1A and significant upregulation of its receptors DR3 and DcR3 PMID: 21672030
- role of TNFRSF25:TNFSF15 in disease and health PMID: 21153333
- critically involved in the pathogenesis of rheumatoid arthritis PMID: 20125169
- These data confirm that silencer of death domains (SODD) and death receptor 3 (DR3) are expressed in a regulated manner during renal transplant rejection, and identify DR3 as a potential inducible mediator of tubular inflammation and injury. PMID: 12875962
- TL1A-induced NF-kappaB activation and c-IAP2 production prevent DR3-mediated apoptosis PMID: 12882979
- Death receptor 3 gene duplication is associated with rheumatoid arthritis PMID: 15241467
- TL1A and DR3 is involved in atherosclerosis via the induction of pro-inflammatory cytokines/chemokines PMID: 15760679
- VEGI gene expression is subject to regulation by inflammatory cytokines. VEGI is also able to regulate the expression of several important genes involved in angiogenesis. PMID: 16517446
- Results suggest that death receptor-3 activation can mediate apoptosis in osteoblasts, although its activity is highly restricted by its soluble ligand-binding isoform and possibly also by alternate survival signals. PMID: 16986165
- These results suggest that caspase-10, DR-3 and IGFBP-3 are involved in apoptosis in the preeclamptic placenta. PMID: 17085968
- TNFR25/TL1A pair provides an early signal for cytokine production in the lung, and therefore may be a drug target in attempts to attenuate lung inflammation in asthmatics. PMID: 18411341
- HLA-B8 and DR3 haplotype is associated with graft failure after renal transplantation in patients with underlying immunoglobulin A nephropathy PMID: 19674013
顯示更多
收起更多
-
亞細胞定位:[Isoform 1]: Cell membrane; Single-pass type I membrane protein.; [Isoform 2]: Cell membrane; Single-pass type I membrane protein.; [Isoform 9]: Cell membrane; Single-pass type I membrane protein.; [Isoform 11]: Cell membrane; Single-pass type I membrane protein.; [Isoform 3]: Secreted.; [Isoform 4]: Secreted.; [Isoform 5]: Secreted.; [Isoform 6]: Secreted.; [Isoform 7]: Secreted.; [Isoform 8]: Secreted.; [Isoform 10]: Secreted.; [Isoform 12]: Secreted.
-
組織特異性:Abundantly expressed in thymocytes and lymphocytes. Detected in lymphocyte-rich tissues such as thymus, colon, intestine, and spleen. Also found in the prostate.
-
數據庫鏈接:
Most popular with customers
-
-
YWHAB Recombinant Monoclonal Antibody
Applications: ELISA, WB, IHC, IF, FC
Species Reactivity: Human, Mouse, Rat
-
Phospho-YAP1 (S127) Recombinant Monoclonal Antibody
Applications: ELISA, WB, IHC
Species Reactivity: Human
-
-
-
-
-















