TNFRSF13B Antibody
-
中文名稱:TNFRSF13B兔多克隆抗體
-
貨號:CSB-PA023971DSR2HU
-
規格:¥440
-
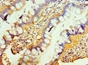
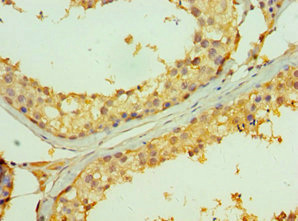
圖片:
-
其他:
產品詳情
-
產品名稱:Rabbit anti-Homo sapiens (Human) TNFRSF13B Polyclonal antibody
-
Uniprot No.:
-
基因名:
-
別名:TNFRSF13B; TACI; Tumor necrosis factor receptor superfamily member 13B; Transmembrane activator and CAML interactor; CD antigen CD267
-
宿主:Rabbit
-
反應種屬:Human
-
免疫原:Recombinant Human Tumor necrosis factor receptor superfamily member 13B protein (184-293AA)
-
免疫原種屬:Homo sapiens (Human)
-
標記方式:Non-conjugated
-
克隆類型:Polyclonal
-
抗體亞型:IgG
-
純化方式:Antigen Affinity Purified
-
濃度:It differs from different batches. Please contact us to confirm it.
-
保存緩沖液:PBS with 0.02% sodium azide, 50% glycerol, pH7.3.
-
產品提供形式:Liquid
-
應用范圍:ELISA, IHC
-
推薦稀釋比:
Application Recommended Dilution IHC 1:20-1:200 -
Protocols:
-
儲存條件:Upon receipt, store at -20°C or -80°C. Avoid repeated freeze.
-
貨期:Basically, we can dispatch the products out in 1-3 working days after receiving your orders. Delivery time maybe differs from different purchasing way or location, please kindly consult your local distributors for specific delivery time.
-
用途:For Research Use Only. Not for use in diagnostic or therapeutic procedures.
相關產品
靶點詳情
-
功能:Receptor for TNFSF13/APRIL and TNFSF13B/TALL1/BAFF/BLYS that binds both ligands with similar high affinity. Mediates calcineurin-dependent activation of NF-AT, as well as activation of NF-kappa-B and AP-1. Involved in the stimulation of B- and T-cell function and the regulation of humoral immunity.
-
基因功能參考文獻:
- Expression patterns of BAFF and its receptor TACI differ according to lupus nephritis class. PMID: 29087261
- p.G76S gain-of-function mutation on the TNFRSF13B gene is responsible for familial or sporadic immune thrombocytopenia. PMID: 28834165
- BAFF-induced processing of BAFFR regulates BAFF-mediated B cell responses in a TACI-dependent manner. PMID: 28249164
- results suggest that TACI A181E heterozygosity results in TACI haploinsufficiency with increased susceptibility to pneumococcal infection PMID: 27609654
- genetic polymorphism is associated with hypogammaglobulinemia and systemic lupus erythematosis in a family with common variable immunodeficiency disorder PMID: 26623716
- 11% of common variable immunodeficiency patients and 13% of antibody deficiency syndromes patients carried at least one mutated TNFRSF13B allele. PMID: 27123465
- serum levels not associated with disease activity in MPO-ANCA-associated renal vasculitis PMID: 25567522
- In this review, we aim at giving an insight into the genetics underlying the CVID and particularly at outlining the role of TACI and its relative contribution to the development of CVID-like phenotypes in human. PMID: 26096648
- C104R mutation was associated with common variable immunodeficiency and IgG subclass deficiency. PMID: 26727773
- TNFRSF13B hemizygosity does not recapitulate autoimmune features of common variable immune deficiency -associated C104R and A181E TNFRSF13B mutations, which likely encode dominant negative products, but instead reveals selective TACI haploinsufficiency at later stages of B-cell development. PMID: 26100089
- Common variable immune deficiency patients with heterozygous mutations in TACI alleles increase susceptibility to autoimmune diseases. PMID: 25866827
- The study demonstrated that there is a remarkable interindividual variability of TACI expression in chronic lymphocytic leukemia, although the majority of patients display low to undetectable TACI. PMID: 25950010
- Variants of TNFRSF13B were associated with common variable immunodeficiency. PMID: 26122175
- only Transmembrane Activator and CAML Interactor (TACI) correlates with the MMC's capability to ligate BAFF. Additionally, the level of expression of TACI correlates with the level of the MMC's BM dependency PMID: 25723853
- Data show significant differences in expression of tumour necrosis factor family (BAFF) receptors BAFF-R, BCMA and TACI in patients with and without anti-Jo-1 or anti-Ro52/anti-Ro60 autoantibodies. PMID: 25301447
- Although the transcriptional controls for alternative splicing of TACI isoforms remain unknown, differential signals via isoforms may control plasma-cell generation. PMID: 25631768
- In conclusion, we confirmed the prognostic significance of soluble BLyS levels with regard to TFT in CLL patients, and, more importantly, we showed for the first time that sTACI is a powerful prognostic marker, related to parameters of disease activity PMID: 25162001
- The released sTACI is an immunoregulator that shares decoy functions with atacicept. It reflects systemic and compartmentalized B cell accumulation and activation. PMID: 25505277
- genetic polymorphism is associated with lung function in Hutterites, who are a founder population of European descent in North America PMID: 23932459
- TNFRSF13B/TACI defects alone do not result in CVID but may be also found frequently in distinct clinical phenotypes, including benign lymphoproliferation and IgG subclass deficiencies. PMID: 23956760
- TACI mutations enables autoimmune complications in common variable immune deficiency . PMID: 24051380
- Intracellular and extracellular TACI expression was defective for B cells of all subjects with mutations. PMID: 23237420
- A significant association of TNFRSF13B gene mutations was observed in common variable immunodeficiency patients. PMID: 22884984
- Naturally occurring mutation affecting the MyD88-binding site of TNFRSF13B impairs triggering of class switch recombination. PMID: 23225259
- Segregation analysis of a kindred shows that inheriting single or double copy of the Cys104Arg mutation does not necessarily consign an individual to common variable immunodeficiency (CVID). PMID: 22983507
- Two pediatric Italian male siblings were affected with hypogammaglobulinemia and recurrent respiratory and gastrointestinal infections in association with a novel compound heterozygous I87N/C104R TACI mutation. PMID: 22627058
- Three SNPs located in TNFRSF13B on 17p11.2 or nearby were significantly associated with IgG level. PMID: 22673310
- Data suggest a different impact of TACI mutations, from hypogammaglobulinemia in children to autoimmune disease in adulthood. PMID: 22697072
- the identification of two novel mutations in TNFRSF13B, including one, S231R, affecting the highly conserved THC domain PMID: 22076597
- We conclude that mutations in TACI are the contributing factors for asthma symptoms in Swedish children, although the mechanisms still remain elusive. PMID: 21850030
- Our data provide further evidence that TNFRSF13B/TACI alterations are not causative of common variable immunodeficiency PMID: 21547394
- Signals from TLR9, TACI, and CD40 are integrated to promote B-cell activation and differentiation. PMID: 21741080
- primary leukemia B-cell precursors aberrantly express receptors of the BAFF-system, BAFF-R, BCMA, and TACI PMID: 21687682
- We have examined the function of TACI coding variants that have been described in patients with common variable immunodeficiency PMID: 21419480
- In patients with Smith-Magenis syndrome with only 1 TACI allele, we found decreased B-cell expression of TACI, reduced binding of a proliferation-inducing ligand, and decreased TACI-induced expression of activation-induced cytidine deaminase mRNA. PMID: 21514638
- mutations result in impaired B cell response through haploinsufficiency PMID: 20889194
- TACI expression on CD19+ B cells was up-regulated in patients with lupus nephritis PMID: 20974656
- MyD88 controls a B cell-intrinsic, TIR-independent, TACI-dependent pathway for immunoglobulin diversification PMID: 20676093
- the TNFRSF13B A181E mutation is associated with a very heterogeneous clinical presentation along with variability in B-cell numbers and amount of TACI protein on memory B cells in Common Variable ImmunoDeficiency PMID: 20156508
- novel mutations identified in this study support the notion of a crucial role for TACI in B cell differentiation PMID: 19629655
- Expression of BCMA, TACI, and BAFF-R by multiple myeloma cells support cell growth and survival. PMID: 14512299
- TACI(hi) myeloma cells displayed a mature plasma cell gene signature, indicating dependence on the BM environment. In contrast, the TACI(lo) group had a gene signature of plasmablasts, suggesting an attenuated dependence on the BM environment PMID: 15827134
- 4 of 19 unrelated individuals with common variable immunodeficiency and 1 of 16 individuals with IgA deficiency had a missense mutation in one allele of TNFRSF13B PMID: 16007086
- identified homozygous and heterozygous mutations in TNFRSF13B, encoding TACI, in 13 individuals with common variable immunodeficiency PMID: 16007087
- Review. Short-lived antibody forming cell populations and their proliferating progenitors express a TACI-predominant signature. PMID: 16919470
- The TACI inhibited HRS cell accumulation in vitro and might attenuate HL expansion in vivo. PMID: 16960154
- simultaneous binding of TACI and HSPG on B cells with APRIL is crucial for IgA production PMID: 17119122
- TACI-specific signaling inhibits both B cell activating factor of the TNF family receptor (BAFF-R) and CD40-enhanced antibody production from peripheral blood B cells in vitro, although TACI-specific signaling directly induces mild B cell apoptosis. PMID: 17154264
- This review defines the exact contribution of TACI receptor stimulation by specific triggers in vitro, enabling us to better understand the complex, context-dependent responses initiated by TACI in vivo. PMID: 17171762
- Role of TACI coding variants in common variable immunodeficiency and selective IgA deficiency. PMID: 17392797
顯示更多
收起更多
-
相關疾病:Immunodeficiency, common variable, 2 (CVID2); Immunoglobulin A deficiency 2 (IGAD2)
-
亞細胞定位:Membrane; Single-pass type III membrane protein.
-
組織特異性:Highly expressed in spleen, thymus, small intestine and peripheral blood leukocytes. Expressed in resting B-cells and activated T-cells, but not in resting T-cells.
-
數據庫鏈接:
Most popular with customers
-
-
YWHAB Recombinant Monoclonal Antibody
Applications: ELISA, WB, IHC, IF, FC
Species Reactivity: Human, Mouse, Rat
-
Phospho-YAP1 (S127) Recombinant Monoclonal Antibody
Applications: ELISA, WB, IHC
Species Reactivity: Human
-
-
-
-
-















