TNFAIP8 Antibody
-
中文名稱:TNFAIP8兔多克隆抗體
-
貨號:CSB-PA142964
-
規格:¥1100
-
圖片:
-
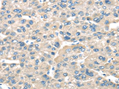
The image on the left is immunohistochemistry of paraffin-embedded Human liver cancer tissue using CSB-PA142964(TNFAIP8 Antibody) at dilution 1/35, on the right is treated with fusion protein. (Original magnification: ×200)
-
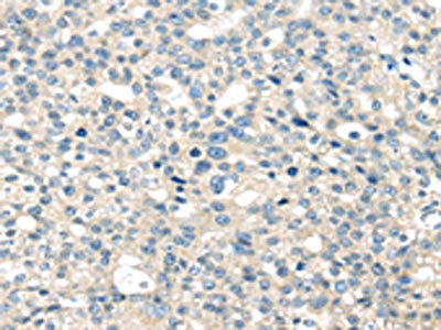
The image on the left is immunohistochemistry of paraffin-embedded Human breast cancer tissue using CSB-PA142964(TNFAIP8 Antibody) at dilution 1/35, on the right is treated with fusion protein. (Original magnification: ×200)
-
-
其他:
產品詳情
-
Uniprot No.:
-
基因名:TNFAIP8
-
別名:GG2 1 antibody; Head and neck tumor and metastasis-related protein antibody; MDC-3.13 antibody; NDED antibody; NF-kappa-B-inducible DED-containing protein antibody; SCC S2 antibody; SCC-S2 antibody; SCCS2 antibody; TFIP8_HUMAN antibody; TNF alpha-induced protein 8 antibody; TNF induced protein antibody; TNF-induced protein GG2-1 antibody; TNFAIP 8 antibody; TNFAIP8 antibody; Tumor necrosis factor alpha induced protein 8 antibody; Tumor necrosis factor alpha-induced protein 8 antibody
-
宿主:Rabbit
-
反應種屬:Human,Mouse
-
免疫原:Full length fusion protein
-
免疫原種屬:Homo sapiens (Human)
-
標記方式:Non-conjugated
-
抗體亞型:IgG
-
純化方式:Antigen affinity purification
-
濃度:It differs from different batches. Please contact us to confirm it.
-
保存緩沖液:-20°C, pH7.4 PBS, 0.05% NaN3, 40% Glycerol
-
產品提供形式:Liquid
-
應用范圍:ELISA,IHC
-
推薦稀釋比:
Application Recommended Dilution ELISA 1:2000-1:5000 IHC 1:25-1:100 -
Protocols:
-
儲存條件:Upon receipt, store at -20°C or -80°C. Avoid repeated freeze.
-
貨期:Basically, we can dispatch the products out in 1-3 working days after receiving your orders. Delivery time maybe differs from different purchasing way or location, please kindly consult your local distributors for specific delivery time.
-
用途:For Research Use Only. Not for use in diagnostic or therapeutic procedures.
相關產品
靶點詳情
-
功能:Acts as a negative mediator of apoptosis and may play a role in tumor progression. Suppresses the TNF-mediated apoptosis by inhibiting caspase-8 activity but not the processing of procaspase-8, subsequently resulting in inhibition of BID cleavage and caspase-3 activation.
-
基因功能參考文獻:
- TNFAIP8 regulates Hippo pathway through interacting with LATS1 to promote cell proliferation. PMID: 28926138
- The indel chr5:118704153:D, located within TNFAIP8, showed an association with plantar fascial disorders at genome-wide significance (p<5x10(-8)) with small effects (odds ratios=0.93 and 1.07 per allele, respectively). PMID: 29534260
- TNFAIP8 v2 may contribute to both carcinogenesis and chemotherapeutic resistance by broadly suppressing p53 activity, thus offsetting p53-dependent tumor suppression. PMID: 27834950
- TNFAIP8 seems to regulate the cell survival and cancer progression processes in a multifaceted manner. (Review) PMID: 27807832
- expression associated with cell survival and death in cancer cell lines infected with canine distemper virus PMID: 26373887
- induction of TNFAIP8 is critical for the evasion of apoptosis by tumor cells expressing the K120R variant of p53. PMID: 27341992
- Of these, three CpG sites on TNFAIP8 and PON1 genes (corresponding to: cg23917399; cg07086380; and cg07404485, respectively) were significantly differentially methylated between black and non-black individuals. The three CpG sites showed lower methylation status among infants of black women. PMID: 27000849
- TNFAIP8 regulates Hippo (MST1/2) signaling through its interaction with LATS1. PMID: 28152516
- TNFAIP8 overexpression is correlated with axillary lymph node metastasis and poor prognosis in invasive ductal breast carcinoma. PMID: 28087477
- that MicroRNA-9-TNFAIP8 might represent a promising diagnostic biomarker for gastric cancer patients and could be a potential therapeutic target in the prevention and treatment of gastric cancer PMID: 28127811
- these findings suggest that TNFAIP8 overexpression is a potential biomarker to identify pN0 esophageal squamous cell carcinoma patients at higher risk of lymphatic recurrence who may benefit from adjuvant therapy. PMID: 26886285
- Expression of TNFAIP8 is up-regulated in human gastric cancer and regulates cell proliferation, invasion and migration. PMID: 25936980
- Our data suggest that TNFAIP8 overexpression may contribute to lymph node metastasis and poor prognosis in intestinal-type gastric adenocarcinoma. PMID: 24621012
- TNFAIP8 may be used as a prognostic marker for the recurrence of endometrial cancer (EC), and its promotion of the proliferation and metastasis in EC may be due to its mediation of Ki-67 and MMP9. PMID: 24590269
- our findings indicate that TNFAIP8 overexpression is an independent predictor of platinum resistance in epithelial ovarian cancer PMID: 24767861
- SCC-S2 may play roles in affecting both immune cells and tumor cells in the thyroid and may indicate a novel pathway for understanding the pathogenesis of the disease. PMID: 24464924
- These results provide evidence that TNFAIP8 plays critical roles in non-small cell lung cancer PMID: 24136748
- the TNFAIP8-rs11064 Single nucleotide polymorphism may function by affecting the affinity of miR-22 binding to the 3'-untranslated region of TNFAIP8 and regulating TNFAIP8 expression, thus contributing to cervical cancer risk PMID: 23299407
- TNFAIP8 functions in oncogenesis are likely to involve activation of the integrin, MMP and VEGFR-2 signaling pathways. TNFAIP8 expression revealed correlation of both cytoplasmic and nuclear TNFAIP8 overexpression with high grade prostatic adenocarcinomas PMID: 23280553
- SCC-S2 is overexpressed in colon cancers. PMID: 22886548
- results showed stronger staining of TNFAIP8 protein in pancreatic cancer tissues compared with normal pancreas tissue; TNFAIP8 expression positively correlated with EGFR levels; results indicate TNFAIP8 may play important roles in the progression of pancreatic cancer PMID: 22631659
- polymorphism of TNFAIP8 rs1045241C>T may contribute to NHL susceptibility in a Chinese population PMID: 22666399
- Findings demonstrate that TNFAIP8 is one of critical components of a signal transduction pathway that links mesangial cell proliferation to diabetic renal injury. PMID: 20699119
- SCC-S2 plays an important role in NSCLC and might be a useful therapeutic target of NSCLC. PMID: 20398053
- SCC-S2 is a novel oncogenic factor in cancer cells PMID: 14724590
- A chicken ovalbumin upstream promoter transcription factor I (COUP-TFI) complex represses expression of the gene encoding tumor necrosis factor alpha-induced protein 8 (TNFAIP8). PMID: 19112178
顯示更多
收起更多
-
亞細胞定位:Cytoplasm.
-
蛋白家族:TNFAIP8 family
-
組織特異性:Expressed at high levels in the spleen, lymph node, thymus, thyroid, bone marrow and placenta. Expressed at high levels both in various tumor tissues, unstimulated and cytokine-activated cultured cells. Expressed at low levels in the spinal cord, ovary, l
-
數據庫鏈接:
Most popular with customers
-
-
YWHAB Recombinant Monoclonal Antibody
Applications: ELISA, WB, IHC, IF, FC
Species Reactivity: Human, Mouse, Rat
-
Phospho-YAP1 (S127) Recombinant Monoclonal Antibody
Applications: ELISA, WB, IHC
Species Reactivity: Human
-
-
-
-
-















