TMEM45A Antibody
-
中文名稱:TMEM45A兔多克隆抗體
-
貨號:CSB-PA023842LA01HU
-
規格:¥440
-
圖片:
-
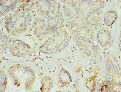
Immunohistochemistry of paraffin-embedded human gastric cancer using CSB-PA023842LA01HU at dilution of 1:100
-
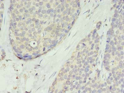
Immunohistochemistry of paraffin-embedded human breast cancer using CSB-PA023842LA01HU at dilution of 1:100
-
Immunofluorescent analysis of A2780 cells using CSB-PA023842LA01HU at dilution of 1:100 and Alexa Fluor 488-congugated AffiniPure Goat Anti-Rabbit IgG(H+L)
-
-
其他:
產品詳情
-
產品名稱:Rabbit anti-Homo sapiens (Human) TMEM45A Polyclonal antibody
-
Uniprot No.:
-
基因名:TMEM45A
-
別名:TMEM45A; DERP7; DNAPTP4; Transmembrane protein 45A; DNA polymerase-transactivated protein 4; Dermal papilla-derived protein 7
-
宿主:Rabbit
-
反應種屬:Human
-
免疫原:Recombinant Human Transmembrane protein 45A protein (171-217AA)
-
免疫原種屬:Homo sapiens (Human)
-
標記方式:Non-conjugated
本頁面中的產品,TMEM45A Antibody (CSB-PA023842LA01HU),的標記方式是Non-conjugated。對于TMEM45A Antibody,我們還提供其他標記。見下表:
-
克隆類型:Polyclonal
-
抗體亞型:IgG
-
純化方式:>95%, Protein G purified
-
濃度:It differs from different batches. Please contact us to confirm it.
-
保存緩沖液:Preservative: 0.03% Proclin 300
Constituents: 50% Glycerol, 0.01M PBS, PH 7.4 -
產品提供形式:Liquid
-
應用范圍:ELISA, IHC, IF
-
推薦稀釋比:
Application Recommended Dilution IHC 1:20-1:200 IF 1:50-1:200 -
Protocols:
-
儲存條件:Upon receipt, store at -20°C or -80°C. Avoid repeated freeze.
-
貨期:Basically, we can dispatch the products out in 1-3 working days after receiving your orders. Delivery time maybe differs from different purchasing way or location, please kindly consult your local distributors for specific delivery time.
-
用途:For Research Use Only. Not for use in diagnostic or therapeutic procedures.
相關產品
靶點詳情
-
基因功能參考文獻:
- our study suggests that TMEM45A may work as an oncogene and a new effective therapeutic target for glioma treatment. PMID: 26722455
- knockdown of TMEM45A also inhibited cell adhesion as well as cell invasion. More importantly, suppression of TMEM45A notably downregulated the expression of TGF-b1, TGF-b2, RhoA and ROCK2. PMID: 25872785
- TMEM45A expression is correlated to epidermal keratinization PMID: 24689342
- Data suggest that high levels of TMEM45A expression in tumors may be indicative of potential resistance to cancer therapy, making TMEM45A an interesting biomarker for resistance. PMID: 22954140
-
亞細胞定位:Membrane; Multi-pass membrane protein.
-
蛋白家族:TMEM45 family
-
數據庫鏈接:
Most popular with customers
-
-
YWHAB Recombinant Monoclonal Antibody
Applications: ELISA, WB, IHC, IF, FC
Species Reactivity: Human, Mouse, Rat
-
-
-
-
-
-















