TMEM192 Antibody
-
中文名稱:TMEM192兔多克隆抗體
-
貨號:CSB-PA023784LA01HU
-
規格:¥440
-
圖片:
-
Western Blot
Positive WB detected in: Hela whole cell lysate, HepG2 whole cell lysate
All lanes: TMEM192 antibody at 3.2µg/ml
Secondary
Goat polyclonal to rabbit IgG at 1/50000 dilution
Predicted band size: 31 kDa
Observed band size: 31 kDa -
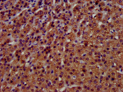
IHC image of CSB-PA023784LA01HU diluted at 1:400 and staining in paraffin-embedded human adrenal gland tissue performed on a Leica BondTM system. After dewaxing and hydration, antigen retrieval was mediated by high pressure in a citrate buffer (pH 6.0). Section was blocked with 10% normal goat serum 30min at RT. Then primary antibody (1% BSA) was incubated at 4°C overnight. The primary is detected by a biotinylated secondary antibody and visualized using an HRP conjugated SP system.
-
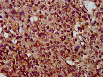
IHC image of CSB-PA023784LA01HU diluted at 1:400 and staining in paraffin-embedded human glioma performed on a Leica BondTM system. After dewaxing and hydration, antigen retrieval was mediated by high pressure in a citrate buffer (pH 6.0). Section was blocked with 10% normal goat serum 30min at RT. Then primary antibody (1% BSA) was incubated at 4°C overnight. The primary is detected by a biotinylated secondary antibody and visualized using an HRP conjugated SP system.
-
Immunofluorescence staining of A549 cells with CSB-PA023784LA01HU at 1:133, counter-stained with DAPI. The cells were fixed in 4% formaldehyde, permeabilized using 0.2% Triton X-100 and blocked in 10% normal Goat Serum. The cells were then incubated with the antibody overnight at 4°C. The secondary antibody was Alexa Fluor 488-congugated AffiniPure Goat Anti-Rabbit IgG(H+L).
-
Immunoprecipitating TMEM192 in Jurkat whole cell lysate
Lane 1: Rabbit control IgG (1µg) instead of CSB-PA023784LA01HU in Jurkat whole cell lysate. For western blotting, a HRP-conjugated Protein G antibody was used as the secondary antibody (1/2000)
Lane 2: CSB-PA023784LA01HU (6µg) + Jurkat whole cell lysate (500µg)
Lane 3: Jurkat whole cell lysate (10µg)
-
-
其他:
產品詳情
-
產品名稱:Rabbit anti-Homo sapiens (Human) TMEM192 Polyclonal antibody
-
Uniprot No.:
-
基因名:TMEM192
-
別名:TMEM192; Transmembrane protein 192
-
宿主:Rabbit
-
反應種屬:Human
-
免疫原:Recombinant Human Transmembrane protein 192 protein (193-271AA)
-
免疫原種屬:Homo sapiens (Human)
-
標記方式:Non-conjugated
本頁面中的產品,TMEM192 Antibody (CSB-PA023784LA01HU),的標記方式是Non-conjugated。對于TMEM192 Antibody,我們還提供其他標記。見下表:
-
克隆類型:Polyclonal
-
抗體亞型:IgG
-
純化方式:>95%, Protein G purified
-
濃度:It differs from different batches. Please contact us to confirm it.
-
保存緩沖液:Preservative: 0.03% Proclin 300
Constituents: 50% Glycerol, 0.01M PBS, PH 7.4 -
產品提供形式:Liquid
-
應用范圍:ELISA, WB, IHC, IF, IP
-
推薦稀釋比:
Application Recommended Dilution WB 1:1000-1:5000 IHC 1:200-1:500 IF 1:50-1:200 IP 1:200-1:2000 -
Protocols:
-
儲存條件:Upon receipt, store at -20°C or -80°C. Avoid repeated freeze.
-
貨期:Basically, we can dispatch the products out in 1-3 working days after receiving your orders. Delivery time maybe differs from different purchasing way or location, please kindly consult your local distributors for specific delivery time.
-
用途:For Research Use Only. Not for use in diagnostic or therapeutic procedures.
相關產品
靶點詳情
-
基因功能參考文獻:
- Authors found that transmembrane protein 192 (TMEM192) interacted with TIG1. Authors also found that both TIG1A and TIG1B isoforms interacted and co-localized with TMEM192 in HtTA cervical cancer cells. The expression of TIG1 induced the expression of autophagy-related proteins. PMID: 27989102
- TMEM192 deficiency can induce autophagy in tumor cells, and can further activate apoptosis by the mitochondrial pathway through autophagy. PMID: 22736246
- TMEM192 was found to be strongly expressed in human kidney, liver, lung and pancreas tissue. The widespread tissue distribution could suggest an important role of TMEM192 for lysosomal function. PMID: 20370317
-
亞細胞定位:Lysosome membrane; Multi-pass membrane protein. Late endosome.
-
蛋白家族:TMEM192 family
-
組織特異性:Strongly expressed in kidney, liver, lung and pancreas.
-
數據庫鏈接:
Most popular with customers
-
-
YWHAB Recombinant Monoclonal Antibody
Applications: ELISA, WB, IHC, IF, FC
Species Reactivity: Human, Mouse, Rat
-
Phospho-YAP1 (S127) Recombinant Monoclonal Antibody
Applications: ELISA, WB, IHC
Species Reactivity: Human
-
-
-
-
-















