TM4SF1 Antibody
-
中文名稱:TM4SF1兔多克隆抗體
-
貨號:CSB-PA982780
-
規格:¥1100
-
圖片:
-
The image on the left is immunohistochemistry of paraffin-embedded Human breast cancer tissue using CSB-PA982780(TM4SF1 Antibody) at dilution 1/30, on the right is treated with synthetic peptide. (Original magnification: ×200)
-
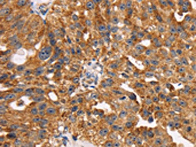
The image on the left is immunohistochemistry of paraffin-embedded Human liver cancer tissue using CSB-PA982780(TM4SF1 Antibody) at dilution 1/30, on the right is treated with synthetic peptide. (Original magnification: ×200)
-
-
其他:
產品詳情
-
Uniprot No.:
-
基因名:
-
別名:M3S1 antibody; Membrane component chromosome 3 surface marker 1 antibody; T4S1_HUMAN antibody; TAAL6 antibody; Tm4sf1 antibody; Transmembrane 4 L6 family member 1 antibody; Tumor-associated antigen L6 antibody
-
宿主:Rabbit
-
反應種屬:Human,Mouse
-
免疫原:Synthetic peptide of Human TM4SF1
-
免疫原種屬:Homo sapiens (Human)
-
標記方式:Non-conjugated
-
抗體亞型:IgG
-
純化方式:Antigen affinity purification
-
濃度:It differs from different batches. Please contact us to confirm it.
-
保存緩沖液:-20°C, pH7.4 PBS, 0.05% NaN3, 40% Glycerol
-
產品提供形式:Liquid
-
應用范圍:ELISA,IHC
-
推薦稀釋比:
Application Recommended Dilution ELISA 1:2000-1:5000 IHC 1:25-1:100 -
Protocols:
-
儲存條件:Upon receipt, store at -20°C or -80°C. Avoid repeated freeze.
-
貨期:Basically, we can dispatch the products out in 1-3 working days after receiving your orders. Delivery time maybe differs from different purchasing way or location, please kindly consult your local distributors for specific delivery time.
-
用途:For Research Use Only. Not for use in diagnostic or therapeutic procedures.
相關產品
靶點詳情
-
基因功能參考文獻:
- our study provides a novel regulatory pathway involving TM4SF1, DDR1, MMP2 and MMP9, which promotes the formation and function of invadopodia to support cell migration and invasion in pancreatic cancer. PMID: 28368050
- Regulation of transmembrane-4-L-six-family-1 (TM4SF1) on bladder cancer cell could be induced by peroxisome proliferator-activated receptor gamma (PPARgamma)-sirtuin 1 (SIRT1) feedback loop. PMID: 29175458
- TM4SF1 was recognized as a direct target for miR-520f in hepatocellular carcinoma (HCC) cells where its expression was found up-regulated and inversely correlated with that of mir-520f. PMID: 29505836
- Results suggest that miR-30a is an important regulator of TM4SF1, VEGF, and E-cadherin for CRC lymph node metastasis, a potential new therapeutic target in CRC. PMID: 28528497
- High TM4SF1 expression is associated with esophageal cancer. PMID: 27974706
- Replacement of the transmembrane 4 L six family protein TM4SF1 or TM4SF4 C-terminus with that of TM4SF5 increased spheroids growth, transwell migration, and invasive dissemination from spheroids in 3D collagen gels. PMID: 28129652
- Results indicate that the expression of transmembrane 4 L6 family member 1 (TM4SF1) is higher in pancreatic cancer tissues and pancreatic cancer cell lines than controls. PMID: 27459514
- Results show that TM4SF1 expression is elevated in colorectal cancer (CRC), and associated with tumor stage and lymph node metastasis. Also, miR-9 directly targeted its binding site in the TM4SF1 3'-UTR, which has a critical role in regulating CRC cell migration. and invasion. Furthermore, miR-9 regulated cell motility via suppressing PMID: 26983891
- The findings suggest that TM4SF1 is a surface membrane antigen that is highly expressed in pancreatic cancer cells and increases the chemoresistance to gemcitabine. TM4SF1 may be a promising target to overcome the chemoresistance of pancreatic cancer. PMID: 26709920
- TM4SF1 overexpression significantly contributed MDA-MB-231 cell migration but decreased apoptotic cells PMID: 26464650
- Study shows that TM4SF1 expression is associated with better prognosis in pancreatic cancer. Its loss contributes to the invasion and migration of pancreatic cancer cells. PMID: 26035794
- We found that miR-203 was significantly downregulated in OSF tissues compared to that in normal buccal mucosa tissues, and that miR-203 negatively regulated secreted SFRP4 and positively regulated TM4SF1 PMID: 25872484
- Transmembrane-4-L-six-family-1 is overexpressed in human gliomas in general and the precise level of expression might predict outcome and could be of clinical value. PMID: 25855954
- These findings validate TM4SF1 as an attractive candidate for cancer therapy with antibody-bound toxins that have the capacity to react with either cytoplasmic or nuclear targets in tumor cells or tumor-associated vascular endothelium. PMID: 26241677
- TM4SF1 is a small plasma membrane glycoprotein that regulates cell motility and proliferation, and possibly a new vascular therapeutic target in cancer PMID: 24986520
- High TM4SF1 expression is associated with pancreatic cancer. PMID: 24285464
- TM4SF1, like genuine tetraspanins, serves as a molecular organizer that interacts with membrane and cytoskeleton-associated proteins and uniquely initiates the formation of nanopodia and facilitates cell polarization and migration. PMID: 21626280
- We provide evidence that ARHGDIA, COBLL1, and TM4SF1 are negative regulators of apoptosis in cultured tumor cells. PMID: 21569526
- Inhibition of cell migration after targeted knockdown of TM4SF1 protein expression suggests its contribution to prostate cancer cell metastasis. PMID: 21656834
- TM4SF1 can serve as a surface protein marker which singly identifies MSCs from diverse cell sources, in particular, fibroblast-rich connective tissues PMID: 20486778
- TAL6 may play a role in cancer invasion and metastasis PMID: 12855661
- These data suggest that L6-Ag influences cell motility via TERM by regulating the surface presentation and endocytosis of some of their components. PMID: 18270265
- The gene ratio test with the TM4SF1 gene for survival of patients with malignant pleural mesothelioma has robust predictive value. PMID: 19401544
顯示更多
收起更多
-
亞細胞定位:Membrane; Multi-pass membrane protein.
-
蛋白家族:L6 tetraspanin family
-
組織特異性:Highly expressed in lung, breast, colon and ovarian carcinomas. It is also present on some normal cells, endothelial cells in particular.
-
數據庫鏈接:
Most popular with customers
-
-
Phospho-YAP1 (S127) Recombinant Monoclonal Antibody
Applications: ELISA, WB, IHC
Species Reactivity: Human
-
-
-
-
-
-















