TKFC Antibody
-
中文名稱:TKFC兔多克隆抗體
-
貨號:CSB-PA659468LA01HU
-
規格:¥440
-
圖片:
-
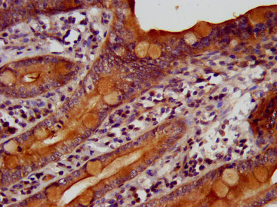
IHC image of CSB-PA659468LA01HU diluted at 1:400 and staining in paraffin-embedded human small intestine tissue performed on a Leica BondTM system. After dewaxing and hydration, antigen retrieval was mediated by high pressure in a citrate buffer (pH 6.0). Section was blocked with 10% normal goat serum 30min at RT. Then primary antibody (1% BSA) was incubated at 4°C overnight. The primary is detected by a biotinylated secondary antibody and visualized using an HRP conjugated SP system.
-
Immunofluorescence staining of HepG2 cells with CSB-PA659468LA01HU at 1:133, counter-stained with DAPI. The cells were fixed in 4% formaldehyde, permeabilized using 0.2% Triton X-100 and blocked in 10% normal Goat Serum. The cells were then incubated with the antibody overnight at 4°C. The secondary antibody was Alexa Fluor 488-congugated AffiniPure Goat Anti-Rabbit IgG(H+L).
-
-
其他:
產品詳情
-
產品名稱:Rabbit anti-Homo sapiens (Human) TKFC Polyclonal antibody
-
Uniprot No.:
-
基因名:TKFC
-
別名:ATP dependent dihydroxyacetone kinase antibody; Bifunctional ATP dependent dihydroxyacetone kinase/FAD AMP lyase (cyclizing) antibody; DAK antibody; DHA kinase antibody; Dha kinase/FMN cyclase antibody; DHAK_HUMAN antibody; Dihydroxyacetone kinase antibody; Dihydroxyacetone kinase 2 antibody; Dihydroxyacetone kinase 2 homolog (S. cerevisiae) antibody; Dihydroxyacetone kinase 2 homolog (yeast) antibody; FAD AMP lyase (cyclic FMN forming) antibody; FAD AMP lyase (cyclizing) antibody; FAD-AMP lyase (cyclic FMN forming) antibody; FAD-AMP lyase (cyclizing) antibody; FMN cyclase antibody; Glycerone kinase antibody
-
宿主:Rabbit
-
反應種屬:Human
-
免疫原:Recombinant Human Triokinase/FMN cyclase protein (396-561AA)
-
免疫原種屬:Homo sapiens (Human)
-
標記方式:Non-conjugated
本頁面中的產品,TKFC Antibody (CSB-PA659468LA01HU),的標記方式是Non-conjugated。對于TKFC Antibody,我們還提供其他標記。見下表:
-
克隆類型:Polyclonal
-
抗體亞型:IgG
-
純化方式:>95%, Protein G purified
-
濃度:It differs from different batches. Please contact us to confirm it.
-
保存緩沖液:Preservative: 0.03% Proclin 300
Constituents: 50% Glycerol, 0.01M PBS, pH 7.4 -
產品提供形式:Liquid
-
應用范圍:ELISA, IHC, IF
-
推薦稀釋比:
Application Recommended Dilution IHC 1:200-1:500 IF 1:50-1:200 -
Protocols:
-
儲存條件:Upon receipt, store at -20°C or -80°C. Avoid repeated freeze.
-
貨期:Basically, we can dispatch the products out in 1-3 working days after receiving your orders. Delivery time maybe differs from different purchasing way or location, please kindly consult your local distributors for specific delivery time.
-
用途:For Research Use Only. Not for use in diagnostic or therapeutic procedures.
相關產品
靶點詳情
-
功能:Catalyzes both the phosphorylation of dihydroxyacetone and of glyceraldehyde, and the splitting of ribonucleoside diphosphate-X compounds among which FAD is the best substrate. Represses IFIH1-mediated cellular antiviral response.
-
基因功能參考文獻:
- The peptide fragment (m/z 520.3) of DAK is a promising biomarker to guide timing of antiviral treatment and to avoid liver biopsy in compensated chronic hepatitis B patients. PMID: 24289155
- analysis of human triokinase/FMN cyclase reveals that kinase activity requires intact homodimers, but cyclase requires only a truncated, single domain subunit PMID: 24569995
- Evidence supports that a single protein sustains both FMN cyclase and ATP-dependent Dha kinase activities, probably in a single active center PMID: 16289032
- DAK, the physiological suppressor of cytoplasmic viral RNA sensor MDA5, specifically inhibits MDA5- but not RNA helicase RIG-I-mediated innate antiviral signaling. PMID: 17600090
-
蛋白家族:Dihydroxyacetone kinase (DAK) family
-
組織特異性:Detected in erythrocytes (at protein level).
-
數據庫鏈接:
Most popular with customers
-
-
YWHAB Recombinant Monoclonal Antibody
Applications: ELISA, WB, IHC, IF, FC
Species Reactivity: Human, Mouse, Rat
-
Phospho-YAP1 (S127) Recombinant Monoclonal Antibody
Applications: ELISA, WB, IHC
Species Reactivity: Human
-
-
-
-
-















