TIMP3 Antibody
-
中文名稱:TIMP3兔多克隆抗體
-
貨號:CSB-PA023562LA01HU
-
規格:¥440
-
圖片:
-
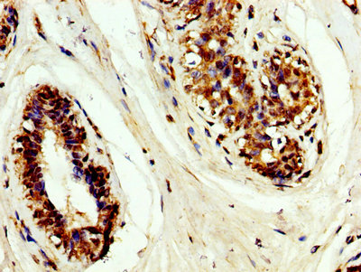
IHC image of CSB-PA023562LA01HU diluted at 1:200 and staining in paraffin-embedded human breast cancer performed on a Leica BondTM system. After dewaxing and hydration, antigen retrieval was mediated by high pressure in a citrate buffer (pH 6.0). Section was blocked with 10% normal goat serum 30min at RT. Then primary antibody (1% BSA) was incubated at 4°C overnight. The primary is detected by a biotinylated secondary antibody and visualized using an HRP conjugated SP system.
-
-
其他:
產品詳情
-
產品名稱:Rabbit anti-Homo sapiens (Human) TIMP3 Polyclonal antibody
-
Uniprot No.:
-
基因名:TIMP3
-
別名:HSMRK222 antibody; K222 antibody; K222TA2 antibody; Metalloproteinase inhibitor 3 antibody; MIG 5 protein antibody; MIG5 protein antibody; Protein MIG 5 antibody; Protein MIG-5 antibody; SFD antibody; Sorsby fundus dystrophy pseudoinflammatory antibody; TIMP 3 antibody; TIMP metallopeptidase inhibitor 3 antibody; TIMP-3 antibody; TIMP3 antibody; TIMP3_HUMAN antibody; Tissue Inhibitor of Metalloproteinase 3 antibody; Tissue inhibitor of metalloproteinases 3 antibody; Tissue inhibitor of metalloproteinases3 antibody
-
宿主:Rabbit
-
反應種屬:Human
-
免疫原:Recombinant Human Metalloproteinase inhibitor 3 protein (1-184AA)
-
免疫原種屬:Homo sapiens (Human)
-
標記方式:Non-conjugated
本頁面中的產品,TIMP3 Antibody (CSB-PA023562LA01HU),的標記方式是Non-conjugated。對于TIMP3 Antibody,我們還提供其他標記。見下表:
-
克隆類型:Polyclonal
-
抗體亞型:IgG
-
純化方式:>95%, Protein G purified
-
濃度:It differs from different batches. Please contact us to confirm it.
-
保存緩沖液:Preservative: 0.03% Proclin 300
Constituents: 50% Glycerol, 0.01M PBS, pH 7.4 -
產品提供形式:Liquid
-
應用范圍:ELISA, IHC
-
推薦稀釋比:
Application Recommended Dilution IHC 1:200-1:500 -
Protocols:
-
儲存條件:Upon receipt, store at -20°C or -80°C. Avoid repeated freeze.
-
貨期:Basically, we can dispatch the products out in 1-3 working days after receiving your orders. Delivery time maybe differs from different purchasing way or location, please kindly consult your local distributors for specific delivery time.
-
用途:For Research Use Only. Not for use in diagnostic or therapeutic procedures.
相關產品
靶點詳情
-
功能:Complexes with metalloproteinases (such as collagenases) and irreversibly inactivates them by binding to their catalytic zinc cofactor. May form part of a tissue-specific acute response to remodeling stimuli. Known to act on MMP-1, MMP-2, MMP-3, MMP-7, MMP-9, MMP-13, MMP-14 and MMP-15.
-
基因功能參考文獻:
- Genetic variation in the TIMP-3 gene may contribute to individual differences in mixture plaque susceptibility in the Han Chinese population. PMID: 29498555
- TIMP3 methylation is a marker for TN tumours and furthermore we showed for the first time that TIMP3 promoter methylation is an epigenetic marker of BRCA1ness tumours. PMID: 29524167
- As a novel CLOCK-dependent diurnal gene, TIMP3 inhibits the expression of inflammatory cytokines that are up-regulated by UV irradiation in human keratinocytes. PMID: 29180440
- miR-21-5p mediates apoptosis by targeting PTEN and TIMP3. PMID: 29393355
- Preliminary studies indicate that baseline MMP3 and TIMP3 concentrations are associated with patient survival and disease-free time PMID: 29304854
- TIMP-3 mRNA expression levels positively correlates with levels of miR-21 in in situ breast carcinomas and negatively in progesterone receptor positive invasive breast carcinomas. PMID: 28935174
- Sphingosine-1-phosphate inhibited cell migration and MMP-2 expression through the upregulation of the tissue inhibitor of metalloproteinase-3 (TIMP-3) expression in human chondrosarcoma cells. PMID: 28672103
- Using global proteomic profiling of brain leptomeningeal arteries, this study revealed that clusterin and tissue inhibitor of metalloproteinases-3 increase in leptomeningeal arteries affected by cerebral amyloid angiopathy. PMID: 27543695
- This is the first report of a syndromic Sorsby fundus dystrophy in line with the mouse model uncovering the role of TIMP3 in human lung morphogenesis and functions. PMID: 27601084
- Collectively, these results demonstrated that IL-32alpha upregulates the atheroprotective genes Timp3 and Reck by downregulating microRNA-205 through regulation of the Rprd2-Dgcr8/Ddx5-Dicer1 biogenesis pathway. PMID: 28740544
- MMP-13 may play a role on physiological turnover of cartilage extracellular matrix and that LRP1 is a key modulator of extracellular levels of MMP-13 and its internalization is independent of the levels of ADAMTS-4, -5 and TIMP-3. PMID: 27084377
- we show that KDM1A promotes cancer metastasis in non-small cell lung cancer cells by repressing TIMP3 (tissue inhibitor of metalloproteinase 3) expression. PMID: 27058897
- Dissecting the interaction between TIMP3 and LRP1 using a synthetic analog of the LRP1 receptor has been reported. PMID: 27476612
- These results implicate TIMP3 as a modulator of cell surface GHR abundance and the ability of GH to promote cellular signaling. PMID: 27075707
- native glycosaminoglycans interact with TIMP-3. PMID: 27545813
- The expression level of LIPC, SLC16A8, and TIMP-3 was significantly associated with age-related macular degeneration pathology. PMID: 27966779
- Levels of miR-221/222 are associated negatively with estrogen receptor in in situ tumors and positively with tissue inhibitor of metalloproteinase 3 TIMP3 messenger RNA expression levels in pure invasive breast cancers. PMID: 27488105
- Electrostatic potential calculations suggested a competition between negatively charged GAGs and highly negatively charged complement-like domains of LRP-1 for the binding to a positively charged area of TIMP-3 as an underlying mechanism. PMID: 27610455
- TIMP3 overexpression after myocardial infarction improves myocardial structural remodeling and function by promoting angiogenesis and inhibiting early proteolysis. PMID: 28550172
- Single Nucleotide Variants of Candidate Genes in Aggrecan Metabolic Pathway Are Associated with Lumbar Disc Degeneration and Modic Changes PMID: 28081267
- Our data suggest that miR-206 may function as an inflammatory regulator and drive the expression of MMP9 in M.tb-infected THP-1 cells by targeting TIMP3, indicating that miR-206 is a potential therapeutic target for patients with TB. PMID: 27291149
- Plasma TIMP3 is a biomarker for predicting the tumor stage in patients with oral squamous cell carcinoma . PMID: 28138307
- TIMP-3 K26A/K45A retained higher affinity for sulfated glycosaminoglycans than K42A/K110A and exhibited increased affinity for ADAMTS-5 in the presence of heparin. PMID: 27582494
- Of the 225 genetic tests performed, 150 were for recessive IRD, and 75 were for dominant IRD. A positive molecular diagnosis was made in 70 (59%) of probands with recessive IRD and 19 (26%) probands with dominant IRD. Thirty-two novel variants were identified; among these, 17 sequence changes in four genes were predicted to be possibly or probably damaging including: ABCA4 (14), BEST1 (2), PRPH2 (1), and TIMP3 PMID: 28005406
- Study evaluated MMP-12 and TIMP-1, TIMP-2, TIMP-3, and TIMP-4 levels in 40 patients with asymptomatic and symptomatic critical carotid artery stenosis (CAS) with neurologic symptoms onset within the preceding 12 hours; results suggest that MMP-12 is related to critical CAS independently on symptoms, moreover, TIMP-3 and TIMP-4 seem to be specifically related to stroke PMID: 27746079
- A total of 1096 subjects from eight studies were included in the present meta-analysis. Overall, a significant association between TIMP-3 methylation and gastric cancer risk was observed (OR = 8.65; 95% CI4.31-17.37; p < 0.001). Our results show a positive correlation between TIMP-3 promoter methylation and gastric cancer risk and that TIMP-3 promoter methylation may be used as a molecular marker for gastric cancer PMID: 27314831
- TIMP-3 expression is suppressed by promoter methylation in HCC. PMID: 27222429
- Both TIMP3 and APC methylation were associated with lymph node metastasis and higher clinical stage of tumors. Patients with methylation at TIMP3 or APC had worse prognoses as compared to those without these alterations. PMID: 27706614
- Data indicate the TGF-beta pathway regulates the epithelial-to-mesenchymal transition (EMT) of gastric cancer cells by increasing the levels of microRNA miRNA-181b to target Timp3 via the Smad2/3/4-dependent pathway. PMID: 27383203
- Study identifies 2 urinary biomarkers-bFGF and TIMP3-that successfully detect one of the most common pediatric brain tumors, juvenile pilocytic astrocytomas, with high accuracy PMID: 27314542
- the levels of TIMP-3, and in some cases also TIMP-2, are decreased in Emery-Dreifuss muscular dystrophy (EDMD). The decrease might be associated with an adverse effect on matrix metalloproteinases and remodelling of the myocardial matrix. The specific decrease of TIMP-3 indicates that this biomarker might help in early detection of cardiac involvement in EDMD. PMID: 25563468
- TIMP3 knockdown had opposite effects on the regulation of these genes. PMID: 26749283
- This case series suggests the C113G TIMP3 variant may represent a novel highly penetrant mutation causing choroidal neovascularisation of relatively late onset for Sorsby's fundus dystrophy, mimicking early onset AMD. PMID: 26493035
- expression of TIMP3 is low in pituitary adenomas including ACTH-secreting pituitary adenomas and negatively associated with tumor aggressiveness. PMID: 26676407
- Genotypes of rs135025 and rs80272 in TIMP3 contribute to the development of preeclampsia in Han Chinese women. PMID: 26304100
- TIMP3 was validated as a direct target of miRNA-21 by dual-luciferase reporter assay. Silencing with small interfering RNA against TIMP3 promoted angiogenesis and increased MMP2 and MMP9 expression at the protein level. PMID: 26872030
- TIMP3 is a dominant negative regulator of angiogenesis in cutaneous melanoma and gene silencing by promoter methylation is associated with poor outcome PMID: 26707830
- Taken together, our results suggest that the imbalance between aggrecanase and TIMP-3 may play an important role in the pathogenesis of IDD and therefore be a potential therapeutic target for treating IDD. PMID: 26686417
- Gene-gene interactions between Smad3 rs6494629T/C and TIMP3 rs715572G/A polymorphisms may play more important protective roles in knee OA. PMID: 26068512
- Results suggest that gene-environment interactions between the TIMP3 rs9862 polymorphisms and betel quid may alter oral cancer susceptibility and tumor growth in Taiwanese men. PMID: 26579821
- following acute ACL injury, an upregulation of TIMP-3, the primary aggrecanase inhibitor, is elicited in response to increased aggrecan degradation, which may inhibit further cleavage PMID: 26123869
- TIMP3) promotes endothelial apoptosis via a caspase-independent mechanism. PMID: 25558000
- This data shows that increased expression of miR-21 enhanced the invasive potential of melanoma cell lines through TIMP3 inhibition. PMID: 25587717
- The miR-191-TIMP3 axis might be critical in the malignant transformation of endometriosis to endometriosis-associated ovarian cancer. PMID: 25819812
- TIMP-3 expression was associated with malignant behaviors of hepatocellular carcinoma, including portal vein invasion and lymph node metastasis. TIMP-3 expression was an independent prognostic factor for disease-free survival and overall survival PMID: 25171061
- TIMP3 methylation had prognostic value in patients with glioblastoma multiforme. PMID: 25467143
- This study expands the spectrum of mutations in the TIMP3 gene and associated phenotypic findings. Imaging using late-phase ICG-A may be useful for early identification of individuals at risk for developing SFD. PMID: 25766588
- The hypermethylation frequencies of TIMP-3 and GSTP-1 of reversible chronic inflammatory gum disease and the control group were similar, but both were significantly lower than those for malignant disease patients. PMID: 25041782
- HPV-positive oropharyngeal squamous cell carcinoma is associated with TIMP3 and CADM1 promoter hypermethylation. PMID: 25065733
- Report no association of TIMP3 genetic polymorphisms with thoracic aortic dissection in Chinese Han population. PMID: 24487965
顯示更多
收起更多
-
相關疾病:Sorsby fundus dystrophy (SFD)
-
亞細胞定位:Secreted, extracellular space, extracellular matrix.
-
蛋白家族:Protease inhibitor I35 (TIMP) family
-
數據庫鏈接:
Most popular with customers
-
-
YWHAB Recombinant Monoclonal Antibody
Applications: ELISA, WB, IHC, IF, FC
Species Reactivity: Human, Mouse, Rat
-
-
-
-
-
-















