TIMM10B Antibody
-
中文名稱:TIMM10B兔多克隆抗體
-
貨號:CSB-PA896532LA01HU
-
規格:¥440
-
圖片:
-
Western blot
All lanes: TIMM10B antibody at 4μg/ml
Lane 1: Hela whole cell lysate
Lane 2: 293T whole cell lysate
Lane 3: HepG2 whole cell lysate
Lane 4: K562 whole cell lysate
Lane 5: Mouse heart tissue
Secondary
Goat polyclonal to rabbit IgG at 1/10000 dilution
Predicted band size: 12 kDa
Observed band size: 12 kDa -
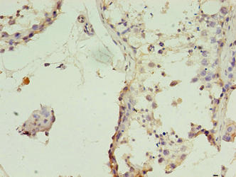
Immunohistochemistry of paraffin-embedded human testis tissue using CSB-PA896532LA01HU at dilution of 1:100
-
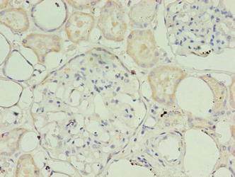
Immunohistochemistry of paraffin-embedded human kidney tissue using CSB-PA896532LA01HU at dilution of 1:100
-
-
其他:
產品詳情
-
產品名稱:Rabbit anti-Homo sapiens (Human) TIMM10B Polyclonal antibody
-
Uniprot No.:
-
基因名:
-
別名:Fracture callus 1 homolog (rat) antibody; Fracture callus 1 homolog antibody; Fracture callus protein 1 antibody; FxC1 antibody; Mitochondrial import inner membrane translocase subunit Tim10 B antibody; Mitochondrial import inner membrane translocase subunit Tim9 B antibody; OTTHUMP00000164584 antibody; OTTHUMP00000230720 antibody; TIM 10B antibody; Tim10b antibody; Tim9b antibody; TIM9B_HUMAN antibody; TIMM10B antibody; Translocase of inner mitochondrial membrane 10 homolog B (yeast) antibody
-
宿主:Rabbit
-
反應種屬:Human, Mouse
-
免疫原:Recombinant Human Mitochondrial import inner membrane translocase subunit Tim10 B protein (1-103AA)
-
免疫原種屬:Homo sapiens (Human)
-
標記方式:Non-conjugated
本頁面中的產品,TIMM10B Antibody (CSB-PA896532LA01HU),的標記方式是Non-conjugated。對于TIMM10B Antibody,我們還提供其他標記。見下表:
-
克隆類型:Polyclonal
-
抗體亞型:IgG
-
純化方式:>95%, Protein G purified
-
濃度:It differs from different batches. Please contact us to confirm it.
-
保存緩沖液:Preservative: 0.03% Proclin 300
Constituents: 50% Glycerol, 0.01M PBS, PH 7.4 -
產品提供形式:Liquid
-
應用范圍:ELISA, WB, IHC
-
推薦稀釋比:
Application Recommended Dilution WB 1:1000-1:5000 IHC 1:20-1:200 -
Protocols:
-
儲存條件:Upon receipt, store at -20°C or -80°C. Avoid repeated freeze.
-
貨期:Basically, we can dispatch the products out in 1-3 working days after receiving your orders. Delivery time maybe differs from different purchasing way or location, please kindly consult your local distributors for specific delivery time.
-
用途:For Research Use Only. Not for use in diagnostic or therapeutic procedures.
相關產品
靶點詳情
-
功能:Component of the TIM22 complex, a complex that mediates the import and insertion of multi-pass transmembrane proteins into the mitochondrial inner membrane. The TIM22 complex forms a twin-pore translocase that uses the membrane potential as the external driving force. In the TIM22 complex, it may act as a docking point for the soluble 70 kDa complex that guides the target proteins in transit through the aqueous mitochondrial intermembrane space.
-
亞細胞定位:Mitochondrion inner membrane; Peripheral membrane protein.
-
蛋白家族:Small Tim family
-
組織特異性:Ubiquitous, with highest expression in heart, kidney, liver and skeletal muscle.
-
數據庫鏈接:
Most popular with customers
-
YWHAB Recombinant Monoclonal Antibody
Applications: ELISA, WB, IHC, IF, FC
Species Reactivity: Human, Mouse, Rat
-
Phospho-YAP1 (S127) Recombinant Monoclonal Antibody
Applications: ELISA, WB, IHC
Species Reactivity: Human
-
-
-
-
-
-















