THOC7 Antibody
-
中文名稱:THOC7兔多克隆抗體
-
貨號:CSB-PA876114
-
規格:¥1100
-
圖片:
-
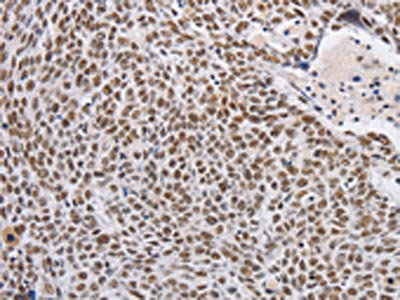
The image on the left is immunohistochemistry of paraffin-embedded Human lung cancer tissue using CSB-PA876114(THOC7 Antibody) at dilution 1/30, on the right is treated with fusion protein. (Original magnification: ×200)
-
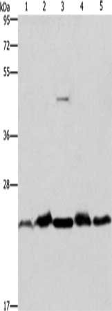
Gel: 10%SDS-PAGE, Lysate: 40 μg, Lane 1-5: Mouse spleen tissue, human fetal liver tissue, hela cells, mouse testis tissue, A431 cells, Primary antibody: CSB-PA876114(THOC7 Antibody) at dilution 1/500, Secondary antibody: Goat anti rabbit IgG at 1/8000 dilution, Exposure time: 15 seconds
-
-
其他:
產品詳情
-
Uniprot No.:
-
基因名:THOC7
-
別名:FLJ23445 antibody; fSAP24 antibody; Functional spliceosome associated protein 24 antibody; Functional spliceosome-associated protein 24 antibody; hTREX30 antibody; Ngg1 interacting factor 3 like 1 binding protein 1 antibody; Ngg1 interacting factor 3 like protein 1 binding protein 1 antibody; Ngg1-interacting factor 3-like protein 1-binding protein 1 antibody; NIF3L1 binding protein 1 antibody; NIF3L1-binding protein 1 antibody; NIF3L1BP1 antibody; THO complex 7 homolog (Drosophila) antibody; THO complex 7 homolog antibody; THO complex subunit 7 homolog antibody; THOC 7 antibody; thoc7 antibody; THOC7_HUMAN antibody
-
宿主:Rabbit
-
反應種屬:Human,Mouse
-
免疫原:Fusion protein of Human THOC7
-
免疫原種屬:Homo sapiens (Human)
-
標記方式:Non-conjugated
-
抗體亞型:IgG
-
純化方式:Antigen affinity purification
-
濃度:It differs from different batches. Please contact us to confirm it.
-
保存緩沖液:-20°C, pH7.4 PBS, 0.05% NaN3, 40% Glycerol
-
產品提供形式:Liquid
-
應用范圍:ELISA,WB,IHC
-
推薦稀釋比:
Application Recommended Dilution ELISA 1:2000-1:5000 WB 1:500-1:2000 IHC 1:25-1:100 -
Protocols:
-
儲存條件:Upon receipt, store at -20°C or -80°C. Avoid repeated freeze.
-
貨期:Basically, we can dispatch the products out in 1-3 working days after receiving your orders. Delivery time maybe differs from different purchasing way or location, please kindly consult your local distributors for specific delivery time.
-
用途:For Research Use Only. Not for use in diagnostic or therapeutic procedures.
相關產品
靶點詳情
-
功能:Required for efficient export of polyadenylated RNA. Acts as component of the THO subcomplex of the TREX complex which is thought to couple mRNA transcription, processing and nuclear export, and which specifically associates with spliced mRNA and not with unspliced pre-mRNA. TREX is recruited to spliced mRNAs by a transcription-independent mechanism, binds to mRNA upstream of the exon-junction complex (EJC) and is recruited in a splicing- and cap-dependent manner to a region near the 5' end of the mRNA where it functions in mRNA export to the cytoplasm via the TAP/NFX1 pathway.; The TREX complex is essential for the export of Kaposi's sarcoma-associated herpesvirus (KSHV) intronless mRNAs and infectious virus production.
-
基因功能參考文獻:
- THOC7 (50-137, amino acid numbers) binds to the N-terminal portion (1-199) of FMIP directly. PMID: 19059247
-
亞細胞定位:Cytoplasm. Nucleus. Nucleus speckle.
-
蛋白家族:THOC7 family
-
數據庫鏈接:
Most popular with customers
-
-
YWHAB Recombinant Monoclonal Antibody
Applications: ELISA, WB, IHC, IF, FC
Species Reactivity: Human, Mouse, Rat
-
Phospho-YAP1 (S127) Recombinant Monoclonal Antibody
Applications: ELISA, WB, IHC
Species Reactivity: Human
-
-
-
-
-















