THEMIS Antibody
-
中文名稱:THEMIS兔多克隆抗體
-
貨號:CSB-PA850780LA01HU
-
規格:¥440
-
圖片:
-
Western Blot
Positive WB detected in: Jurkat whole cell lysate, K562 whole cell lysate
All lanes: THEMIS antibody at 7.6µg/ml
Secondary
Goat polyclonal to rabbit IgG at 1/50000 dilution
Predicted band size: 74, 70, 63, 78 kDa
Observed band size: 74, 70 kDa -
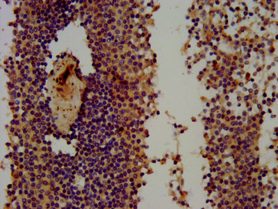
IHC image of CSB-PA850780LA01HU diluted at 1:300 and staining in paraffin-embedded human spleen tissue performed on a Leica BondTM system. After dewaxing and hydration, antigen retrieval was mediated by high pressure in a citrate buffer (pH 6.0). Section was blocked with 10% normal goat serum 30min at RT. Then primary antibody (1% BSA) was incubated at 4°C overnight. The primary is detected by a biotinylated secondary antibody and visualized using an HRP conjugated SP system.
-
Immunofluorescence staining of HepG2 cells with CSB-PA850780LA01HU at 1:100, counter-stained with DAPI. The cells were fixed in 4% formaldehyde, permeabilized using 0.2% Triton X-100 and blocked in 10% normal Goat Serum. The cells were then incubated with the antibody overnight at 4°C. The secondary antibody was Alexa Fluor 488-congugated AffiniPure Goat Anti-Rabbit IgG(H+L).
-
-
其他:
產品詳情
-
產品名稱:Rabbit anti-Homo sapiens (Human) THEMIS Polyclonal antibody
-
Uniprot No.:
-
基因名:THEMIS
-
別名:C6orf190 antibody; C6orf207 antibody; MGC163388 antibody; Protein THEMIS antibody; SIGNALING PHOSPHOPROTEIN SPECIFIC FOR T CELLS antibody; SPOT antibody; THEMIS antibody; THMS1_HUMAN antibody; Thymocyte expressed molecule involved in selection antibody; Thymocyte selection associated antibody; Thymocyte selection pathway associated antibody; Thymocyte-expressed molecule involved in selection antibody; TSEPA antibody
-
宿主:Rabbit
-
反應種屬:Human
-
免疫原:Recombinant Human Protein THEMIS protein (547-641AA)
-
免疫原種屬:Homo sapiens (Human)
-
標記方式:Non-conjugated
本頁面中的產品,THEMIS Antibody (CSB-PA850780LA01HU),的標記方式是Non-conjugated。對于THEMIS Antibody,我們還提供其他標記。見下表:
-
克隆類型:Polyclonal
-
抗體亞型:IgG
-
純化方式:>95%, Protein G purified
-
濃度:It differs from different batches. Please contact us to confirm it.
-
保存緩沖液:Preservative: 0.03% Proclin 300
Constituents: 50% Glycerol, 0.01M PBS, pH 7.4 -
產品提供形式:Liquid
-
應用范圍:ELISA, WB, IHC, IF
-
推薦稀釋比:
Application Recommended Dilution WB 1:500-1:5000 IHC 1:200-1:500 IF 1:50-1:200 -
Protocols:
-
儲存條件:Upon receipt, store at -20°C or -80°C. Avoid repeated freeze.
-
貨期:Basically, we can dispatch the products out in 1-3 working days after receiving your orders. Delivery time maybe differs from different purchasing way or location, please kindly consult your local distributors for specific delivery time.
-
用途:For Research Use Only. Not for use in diagnostic or therapeutic procedures.
相關產品
靶點詳情
-
功能:Plays a central role in late thymocyte development by controlling both positive and negative T-cell selection. Required to sustain and/or integrate signals required for proper lineage commitment and maturation of T-cells. Regulates T-cell development through T-cell antigen receptor (TCR) signaling and in particular through the regulation of calcium influx and phosphorylation of Erk.
-
基因功能參考文獻:
- we have demonstrated mutually exclusive use of exon 1 and 2 amongst 16 novel THEMIS isoforms. We also show inverse correlation between THEMIS expression in human CD4+ T-cells and dosage of the multiple sclerosis risk allele at rs13204742, driven by reduced expression of exon 1- containing isoforms PMID: 27438997
- we found that THEMIS directly regulated the catalytic activity of the tyrosine phosphatase SHP-1. PMID: 28250424
- the THEMIS:SHP complex dampens early TCR signalling by a previously unknown molecular mechanism that favours T-cell survival. PMID: 25535246
- THEMIS showed higher mRNA expression in active celiac disease compared with treated patients and controls. PMID: 23820479
- THEMIS binding to GRB2 was required for thymocyte development. PMID: 23460737
- Themis1 exhibits the same potential to restore T cell development and T cell receptor-mediated signaling in Themis1-deficient mice. PMID: 22732588
- SPOP mutations may define a new molecular subtype of prostate cancer. PMID: 22610119
- specific role for THEMIS in early TCR signalosome function PMID: 21189249
- Observational study of gene-disease association. (HuGE Navigator) PMID: 19913121
- Observational study of gene-disease association, gene-environment interaction, and pharmacogenomic / toxicogenomic. (HuGE Navigator) PMID: 20628086
- Observational study of gene-disease association and gene-environment interaction. (HuGE Navigator) PMID: 20095854
- Functional characterization of the homologous mouse gene. PMID: 19597498
- Functional analysis of the mouse gene by knockout, and comparison of the mouse and human proteins. PMID: 19597499
顯示更多
收起更多
-
亞細胞定位:Cytoplasm. Nucleus.
-
蛋白家族:Themis family
-
數據庫鏈接:
Most popular with customers
-
-
YWHAB Recombinant Monoclonal Antibody
Applications: ELISA, WB, IHC, IF, FC
Species Reactivity: Human, Mouse, Rat
-
Phospho-YAP1 (S127) Recombinant Monoclonal Antibody
Applications: ELISA, WB, IHC
Species Reactivity: Human
-
-
-
-
-















