TGS1 Antibody
-
中文名稱:TGS1兔多克隆抗體
-
貨號:CSB-PA847219ESR1HU
-
規格:¥440
-
圖片:
-
Western blot
All lanes: TGS1 antibody at 10μg/ml + Mouse skeletal muscle tissue
Secondary
Goat polyclonal to rabbit IgG at 1/10000 dilution
Predicted band size: 97 kDa
Observed band size: 97 kDa -
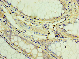
Immunohistochemistry of paraffin-embedded human colon cancer using CSB-PA847219ESR1HU at dilution of 1:100
-
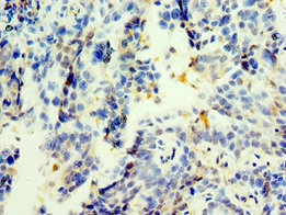
Immunohistochemistry of paraffin-embedded human lung tissue using CSB-PA847219ESR1HU at dilution of 1:100
-
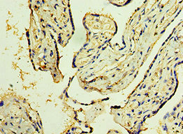
Immunohistochemistry of paraffin-embedded human placenta tissue using CSB-PA847219ESR1HU at dilution of 1:100
-
-
其他:
產品詳情
-
產品名稱:Rabbit anti-Homo sapiens (Human) TGS1 Polyclonal antibody
-
Uniprot No.:
-
基因名:TGS1
-
別名:Cap specific guanine N2 methyltransferase antibody; Cap-specific guanine-N2 methyltransferase antibody; CLL associated antigen KW 2 antibody; CLL-associated antigen KW-2 antibody; DKFZp762A163 antibody; FLJ22995 antibody; HCA137 antibody; Hepatocellular carcinoma associated antigen 137 antibody; Hepatocellular carcinoma-associated antigen 137 antibody; NCOA6IP antibody; Nuclear receptor coactivator 6 interacting protein antibody; Nuclear receptor coactivator 6-interacting protein antibody; PIMT antibody; PIPMT antibody; PRIP interacting protein PIPMT antibody; PRIP interacting protein with methyltransferase domain antibody; PRIP interacting protein with methyltransferase motif antibody; PRIP-interacting protein with methyltransferase motif antibody; SEREX defined antibody; TGS 1 antibody; Tgs1 antibody; TGS1_HUMAN antibody; Trimethylguanosine synthase antibody; Trimethylguanosine synthase homolog (S. cerevisiae) antibody; Trimethylguanosine synthase homolog antibody
-
宿主:Rabbit
-
反應種屬:Human, Mouse
-
免疫原:Recombinant Human Trimethylguanosine synthase protein (714-853AA)
-
免疫原種屬:Homo sapiens (Human)
-
標記方式:Non-conjugated
-
克隆類型:Polyclonal
-
抗體亞型:IgG
-
純化方式:Antigen Affinity Purified
-
濃度:It differs from different batches. Please contact us to confirm it.
-
保存緩沖液:PBS with 0.02% sodium azide, 50% glycerol, pH7.3.
-
產品提供形式:Liquid
-
應用范圍:ELISA, WB, IHC
-
推薦稀釋比:
Application Recommended Dilution WB 1:500-1:5000 IHC 1:20-1:200 -
Protocols:
-
儲存條件:Upon receipt, store at -20°C or -80°C. Avoid repeated freeze.
-
貨期:Basically, we can dispatch the products out in 1-3 working days after receiving your orders. Delivery time maybe differs from different purchasing way or location, please kindly consult your local distributors for specific delivery time.
-
用途:For Research Use Only. Not for use in diagnostic or therapeutic procedures.
相關產品
靶點詳情
-
功能:Catalyzes the 2 serial methylation steps for the conversion of the 7-monomethylguanosine (m(7)G) caps of snRNAs and snoRNAs to a 2,2,7-trimethylguanosine (m(2,2,7)G) cap structure. The enzyme is specific for guanine, and N7 methylation must precede N2 methylation. Hypermethylation of the m7G cap of U snRNAs leads to their concentration in nuclear foci, their colocalization with coilin and the formation of canonical Cajal bodies (CBs). Plays a role in transcriptional regulation.
-
基因功能參考文獻:
- Data highlight the importance of the catalytic activity of PIMT to mediate VEGF effects during endothelial cell migration and tube formation in angiogenesis. PMID: 26738492
- Self-association of Tgs1p and its catalytic activity were prerequisite to bypass the requirement for its accessory factor Swm2p for efficient pre-rRNA processing and snRNA trimethylation. PMID: 26074133
- PIMT was identified as a key player responsible for glycated low density lipoproteins induced vascular endothelial cell apoptosis. PMID: 23922881
- isoforms of the PIMT/Tgs1 protein with an RNA methyltransferase domain function both in the nucleus and in the cytoplasm PMID: 12943661
- The protein L-isoaspartyl (D-aspartyl) methyltransferase (PIMT) is an enzyme that recognizes and repairs the abnormal L-isoaspartyl residues in proteins. PMID: 21204776
- The structure-function data highlight a strictly essential pi-cation interaction between Trp766 and the m(7)G base and a network of important enzymic contacts to the cap triphosphate via Lys646, Tyr771, Arg807, and Lys836. PMID: 20360394
- Interaction of PIMT with transcriptional coactivators CBP, p300, and PBP differential role in transcriptional regulation. PMID: 11912212
- proteasome maturation constitutes a mechanism regulating Tgs1 function by generating Tgs1 species with different substrate specificities, subcellular localizations, and functions. PMID: 18039666
- These results highlight that PIMT expression is regulated by ROS and could primarily act as an antioxidant enzyme. PMID: 18407833
- present a biochemical characterization of the human Tgs1 guanine-N2 methyltransferase reaction and identify individual amino acids required for methyltransferase activity in vitro and in vivo PMID: 18775984
- m(7)GpppA binds via its adenosine moiety to the structurally conserved adenosylmethionine-binding pocket. The m(7) guanosine is unbound. The crystallized TGS1 fragment is catalytically inactive, but a fragment that is 17 AAs longer exhibits activity. PMID: 19307714
- The crystal structure of the substrate bound methyltransferase domain as well as mutagenesis studies provide insight into the catalytic mechanism of TGS1. PMID: 19386620
顯示更多
收起更多
-
亞細胞定位:Cytoplasm. Nucleus, Cajal body. Nucleus, nucleolus.
-
蛋白家族:Methyltransferase superfamily, Trimethylguanosine synthase family
-
組織特異性:Ubiquitously expressed. High expression in heart, skeletal muscle, kidney, liver and placenta.
-
數據庫鏈接:
Most popular with customers
-
-
YWHAB Recombinant Monoclonal Antibody
Applications: ELISA, WB, IHC, IF, FC
Species Reactivity: Human, Mouse, Rat
-
Phospho-YAP1 (S127) Recombinant Monoclonal Antibody
Applications: ELISA, WB, IHC
Species Reactivity: Human
-
-
-
-
-















