TGM5 Antibody
-
中文名稱:TGM5兔多克隆抗體
-
貨號:CSB-PA965532
-
規格:¥1100
-
圖片:
-
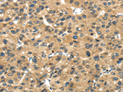
The image on the left is immunohistochemistry of paraffin-embedded Human liver cancer tissue using CSB-PA965532(TGM5 Antibody) at dilution 1/30, on the right is treated with fusion protein. (Original magnification: ×200)
-
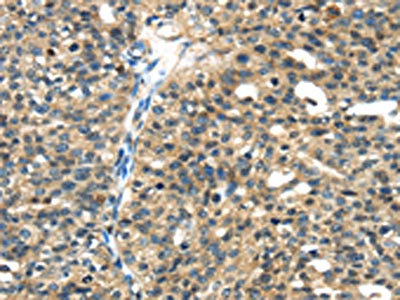
The image on the left is immunohistochemistry of paraffin-embedded Human breast cancer tissue using CSB-PA965532(TGM5 Antibody) at dilution 1/30, on the right is treated with fusion protein. (Original magnification: ×200)
-
Gel: 6%SDS-PAGE,Lysate: 40 μg,Lane 1-2: Mouse heart tissue, MCF7 cells,Primary antibody: CSB-PA965532(TGM5 Antibody) at dilution 1/400 dilution,Secondary antibody: Goat anti rabbit IgG at 1/8000 dilution,Exposure time: 2 minutes
-
-
其他:
產品詳情
-
Uniprot No.:
-
基因名:TGM5
-
別名:Protein glutamine gamma glutamyltransferase 5 antibody; Protein-glutamine gamma-glutamyltransferase 5 antibody; PSS2 antibody; TG(X) antibody; TGase 5 antibody; TGase X antibody; TGase-5 antibody; TGase5 antibody; TGASEX antibody; Tgm5 antibody; TGM5_HUMAN antibody; TGM6 antibody; TGMX antibody; TGX antibody; Transglutaminase X antibody; Transglutaminase-5 antibody
-
宿主:Rabbit
-
反應種屬:Human,Mouse
-
免疫原:Fusion protein of Human TGM5
-
免疫原種屬:Homo sapiens (Human)
-
標記方式:Non-conjugated
-
抗體亞型:IgG
-
純化方式:Antigen affinity purification
-
濃度:It differs from different batches. Please contact us to confirm it.
-
保存緩沖液:-20°C, pH7.4 PBS, 0.05% NaN3, 40% Glycerol
-
產品提供形式:Liquid
-
應用范圍:ELISA,WB,IHC
-
推薦稀釋比:
Application Recommended Dilution ELISA 1:2000-1:5000 WB 1:500-1:2000 IHC 1:25-1:100 -
Protocols:
-
儲存條件:Upon receipt, store at -20°C or -80°C. Avoid repeated freeze.
-
貨期:Basically, we can dispatch the products out in 1-3 working days after receiving your orders. Delivery time maybe differs from different purchasing way or location, please kindly consult your local distributors for specific delivery time.
-
用途:For Research Use Only. Not for use in diagnostic or therapeutic procedures.
相關產品
靶點詳情
-
功能:Catalyzes the cross-linking of proteins and the conjugation of polyamines to proteins. Contributes to the formation of the cornified cell envelope of keratinocytes.
-
基因功能參考文獻:
- Acral PSS (APSS) (OMIM 609796), typically non-inflammatory, is confined to distal extremities with localized exfoliation of the epidermis. It is caused by mutations in the TGM5 gene, encoding transglutaminase 5[3] or in the CTSA gene, encoding cystatin A and it is inherited in autosomal recessive pattern PMID: 25510201
- We report both European and non-European families with acral peeling skin syndrome carrying mutations in the TGM5 gene. In 5 patients, we found 3 novel mutations: c.1001+2_1001+3del, c.1171G>A and c.1498C>T. PMID: 25644735
- Data trebles the number of TMG5 mutations and provides further evidence that pCly113Cys is a founder mutation in the European population. PMID: 24628291
- Genetic variation in the epidermal transglutaminase genes is not associated with atopic dermatitis. PMID: 23189155
- TGM5 mutations impact epidermal differentiation in acral peeling skin syndrome. PMID: 22622422
- analysis of a recurrent mutation in the TGM5 gene in European patients with acral peeling skin syndrome PMID: 22036214
- Acral peeling skin syndrome with TGM5 gene mutations may resemble epidermolysis bullosa simplex in young individuals. PMID: 20164844
- transglutaminase 5 contributes, as a secondary effect, to the hyperkeratotic phenotype in ichthyosis (both vulgaris and lamellar) and in psoriasis. PMID: 12230511
- Results demonstrate that transglutaminase 5 is able to induce cell death when intracellularly overexpressed. PMID: 15290346
- Data show that transglutaminase (TGase) 5 is acetylated at the N-terminal end, is active upon treatment with phorbol acetate, and co-localises with vimentin intermediate filaments. PMID: 15290349
- Transglutaminase 5 is expressed during hair follicle homeostasis. PMID: 16117804
- A homozygous missense mutation in TGM5 abolishes epidermal TGM5 activity and causes acral peeling skin syndrome. PMID: 16380904
- TG5 full-length enzyme has very low enzymatic activity, while the 53-kDa proteolytically processed form is highly active. PMID: 18509357
- A missense mutation in TGM5 causes acral peeling skin syndrome in a Tunisian family. PMID: 19440220
顯示更多
收起更多
-
相關疾病:Peeling skin syndrome 2 (PSS2)
-
亞細胞定位:Cytoplasm. Note=Associated with intermediate filaments.
-
蛋白家族:Transglutaminase superfamily, Transglutaminase family
-
組織特異性:Expressed in foreskin keratinocytes.
-
數據庫鏈接:
Most popular with customers
-
-
YWHAB Recombinant Monoclonal Antibody
Applications: ELISA, WB, IHC, IF, FC
Species Reactivity: Human, Mouse, Rat
-
Phospho-YAP1 (S127) Recombinant Monoclonal Antibody
Applications: ELISA, WB, IHC
Species Reactivity: Human
-
-
-
-
-















