TFR2 Antibody
-
中文名稱:TFR2兔多克隆抗體
-
貨號:CSB-PA14729A0Rb
-
規格:¥440
-
圖片:
-
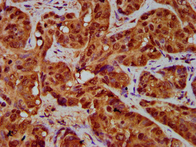
IHC image of CSB-PA14729A0Rb diluted at 1:200 and staining in paraffin-embedded human liver cancer performed on a Leica BondTM system. After dewaxing and hydration, antigen retrieval was mediated by high pressure in a citrate buffer (pH 6.0). Section was blocked with 10% normal goat serum 30min at RT. Then primary antibody (1% BSA) was incubated at 4°C overnight. The primary is detected by a biotinylated secondary antibody and visualized using an HRP conjugated SP system.
-
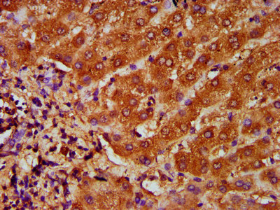
IHC image of CSB-PA14729A0Rb diluted at 1:200 and staining in paraffin-embedded human liver tissue performed on a Leica BondTM system. After dewaxing and hydration, antigen retrieval was mediated by high pressure in a citrate buffer (pH 6.0). Section was blocked with 10% normal goat serum 30min at RT. Then primary antibody (1% BSA) was incubated at 4°C overnight. The primary is detected by a biotinylated secondary antibody and visualized using an HRP conjugated SP system.
-
Immunofluorescence staining of MCF-7 cells with CSB-PA14729A0Rb at 1:66, counter-stained with DAPI. The cells were fixed in 4% formaldehyde, permeabilized using 0.2% Triton X-100 and blocked in 10% normal Goat Serum. The cells were then incubated with the antibody overnight at 4°C. The secondary antibody was Alexa Fluor 488-congugated AffiniPure Goat Anti-Rabbit IgG(H+L).
-
-
其他:
產品詳情
-
產品名稱:Rabbit anti-Homo sapiens (Human) TFR2 Polyclonal antibody
-
Uniprot No.:
-
基因名:
-
別名:HFE 3 antibody; HFE3 antibody; MGC126368 antibody; TFR 2 antibody; TfR2 antibody; TFR2_HUMAN antibody; TFRC 2 antibody; TFRC2 antibody; Transferrin receptor 2 antibody; Transferrin receptor protein 2 antibody
-
宿主:Rabbit
-
反應種屬:Human
-
免疫原:Recombinant Human Transferrin receptor protein 2 protein (534-605AA)
-
免疫原種屬:Homo sapiens (Human)
-
標記方式:Non-conjugated
本頁面中的產品,TFR2 Antibody (CSB-PA14729A0Rb),的標記方式是Non-conjugated。對于TFR2 Antibody,我們還提供其他標記。見下表:
-
克隆類型:Polyclonal
-
抗體亞型:IgG
-
純化方式:>95%, Protein G purified
-
濃度:It differs from different batches. Please contact us to confirm it.
-
保存緩沖液:Preservative: 0.03% Proclin 300
Constituents: 50% Glycerol, 0.01M PBS, pH 7.4 -
產品提供形式:Liquid
-
應用范圍:ELISA, IHC, IF
-
推薦稀釋比:
Application Recommended Dilution IHC 1:200-1:500 IF 1:50-1:200 -
Protocols:
-
儲存條件:Upon receipt, store at -20°C or -80°C. Avoid repeated freeze.
-
貨期:Basically, we can dispatch the products out in 1-3 working days after receiving your orders. Delivery time maybe differs from different purchasing way or location, please kindly consult your local distributors for specific delivery time.
-
用途:For Research Use Only. Not for use in diagnostic or therapeutic procedures.
相關產品
靶點詳情
-
功能:Mediates cellular uptake of transferrin-bound iron in a non-iron dependent manner. May be involved in iron metabolism, hepatocyte function and erythrocyte differentiation.
-
基因功能參考文獻:
- In agreement with previous studies with truncated forms of these receptors, holo-Tf binds to the TfR1 homologue significantly stronger than to TfR2. PMID: 29388418
- Authors retrospectively investigated whether TFR2 isoforms and EPOR are differentially expressed in MDS patients and whether the expression is associated with patients' clinical outcomes. PMID: 26914246
- unreported iron metabolism-related genes in non-classic hereditary hemochromatosis patients that were predicted to be potentially pathogenic were three novel mutations in TFR2 [two missense (p.Leu750Pro and p.Ala777Val) and one intronic splicing mutation (c.967-1G>C)], one missense mutation in HFE (p.Tyr230Cys), and one mutation in the 5'-UTR of HAMP gene (c.-25G>A) PMID: 27667161
- TFR2 expression altered within 4h of HAMP treatment, while HFE expression altered later at 24h and 48h, suggesting that TFR2 may function prior to HFE in HAMP regulation. PMID: 27667164
- Of the non-HFE forms of iron overload, TFR2-, HFE2-, and HAMP-related forms are predicted to be rare, with pathogenic allele frequencies in the range of 0.00007 to 0.0005. Significantly, SLC40A1 variants that have been previously associated with autosomal-dominant ferroportin disease were identified in several populations (pathogenic allele frequency 0.0004), being most prevalent among Africans PMID: 26633544
- Transferrin facilitates the formation of DNA double-strand breaks (DNA-DSBs) via transferrin receptor TfR1 but not TfR2. PMID: 26549031
- In line with a status of iron deficiency, gene expression studies suggested decreased expression of transferrin and transferrin receptor 2 in non-alcoholic steatohepatitis livers PMID: 25000850
- Our results indicate that membrane transferrin receptor-2, a sensor of circulating iron, is released from the cell membrane in iron deficiency. PMID: 25637053
- results suggest that down-regulation of CD81 by GRAIL targets TfR2 for degradation PMID: 25635054
- Polymorphisms of the TRF2 gene may be associated with age-related macular degeneration occurrence, either directly or by modulation of risk factors. PMID: 24648608
- The variants of rs2075674 and rs7385804 in TFR2 gene were not associated with coronary heart disease risk in a Chinese Han population. PMID: 23751596
- Present findings support the hypothesis of a main role of the TFR2 gene in HH pathogenesis in those regions, such as Central-Southern Italy, where the p.C282Y frequency is low. PMID: 24055163
- Authors investigated the expression of TfR1 and TfR2 in human HCC tissues by immunohistochemistry, the first report demonstrating TfR2 expression immunohistochemically in human HCC. PMID: 24901155
- N-linked glycosylation is dispensable for the cell surface expression and holo-Tf binding, but it is required for efficient intersubunit disulfide bond formation and holo-Tf-induced stabilization of TfR2. PMID: 23556518
- The hemochromatosis proteins HFE, TfR2, and HJV form a membrane-associated protein complex for hepcidin regulation. PMID: 22728873
- Mutations in the TFR2 gene is associated with hemochromatosis. PMID: 22890139
- Data sugggest that TfR-lytic peptide might provide a potent and selective anticancer therapy for patients. PMID: 21849092
- TfR2 mRNA expression in hyperplastic anemia patients increases and closely correlates with hyperplasia status of bone marrow and anemia level in peripheral blood. PMID: 21518504
- rs4820268 variant of TFR2 gene is involved in the regulation of serum iron levels. PMID: 21208937
- Data show that ULBP1, TFR2 and IFITM1 were associated with increased susceptibility to Vgamma9Vdelta2 T-cell cytotoxicity. PMID: 20220060
- None of the individuals in this cohort of Brazilian patients with the classical phenotype of HH had any of the aforementioned non-C282Y mutations in the HFE gene or any mutations in the TfR2 and SCL40A1 genes. PMID: 19759876
- findings show that HFE is present in substoichiometric concentrations with respect to both TfR1 and TfR2 in liver tissue; finding supports a model, in which availability of HFE is limiting for formation of complexes with TfR1 or TfR2 PMID: 19819738
- Hepcidin mRNA expression in vitro is highly sensitive to the presence of serum factors and PI3 kinase inhibition and parallels TfR2 expression PMID: 19924283
- Relative expression level of TFR2 mRNA in prednisone good responders was significantly higher than that in prednisone poor responders in children with acute leukemia. PMID: 19292036
- identification of a novel TfR2 mutation in a cohort of non-C282Y iron overload patients of mixed ethnic backgrounds PMID: 12130528
- TFR2 maps to chromosome 7. It is an alternately spliced protein and lacks the entire transmembrane and cytoplasmic domains. PMID: 12139409
- production of anti-TFR2 monoclonal antibodies, their characterization, and their use to study TFR2 tissue distribution and up-regulation in response to TF-bound iron PMID: 12393650
- TfR2 protein levels are approximately 20-fold lower than TfR in erythroid/myeloid cells. TfR & TfR2 have similar cellular localizations in K562 cells & coimmunoprecipitate to only a limited extent. Under nonreducing conditions, they can form heterodimers. PMID: 12406888
- Expression of HFE and TfR2 proteins in human platelets may indicate that the mutations in the corresponding genes could influence platelet count, size and/or activation. suggests that HFE may serve a different function in platelets. PMID: 12656741
- unlike TfR1, which recycles apo-Tf back to the cell surface after the release of iron, TfR2 promotes the intracellular deposition of ligand. PMID: 15317665
- TfR2 acts as a sensor of iron status such that receptor levels reflect transferrin saturation. PMID: 15319276
- Has a role monitoring iron levels by sensing changes in the concentration of diferric transferrin. PMID: 15319290
- Urinary hepcidin is low or undetectable in 8 of 10 hemochromatosis cases irrespective of previous phlebotomy treatments, confirming the proposed role of TFR2 as a regulator of hepcidin production. PMID: 15486069
- TfR2 plays a role in the pathogenesis of hemochromatosis in Japan. PMID: 15749661
- HFE and TFR2 interact in cells; this interaction is not abrogated by disease-associated mutations of HFE and TFR2; and that TFR2 competes with TFR1 for binding to HFE PMID: 16893896
- hemojuvelin and TfR2 were predominantly localized to the basolateral membrane domain of hepatocytes; localization of Hjv and TfR2 at the same membrane domain renders a functional interaction of these two proteins in iron homeostasis possible PMID: 16932966
- Mutational analysis of TfR2 shows that the mutation G679A, which blocks TfR2 binding to diferric transferrin Fe(2)Tf, increases the rate of receptor turnover and prevents stabilization by Fe(2)Tf. PMID: 17182845
- although holo-Tf binding to the ectodomain is necessary, the cytoplasmic domain of TfR2 is largely responsible for its stabilization by holo-Tf. PMID: 17202145
- the TfR2/HFE and TfR1/HFE interactions are distinct. PMID: 17956864
- Transferrin receptor 2 mediates transferrin-bound iron uptake by receptor-mediated endocytosis. PMID: 18083267
- co-expression of HFE in cells expressing TfR2 led to increased affinity for diferric transferrin, increased transferrin-dependent iron uptake, and relative resistance to iron chelation PMID: 18353247
- analysis of early-onset haemochromatosis caused by a novel combination of TFR2 mutations [case report] PMID: 18450729
- TfR2 expression can be modulated through stimuli similar to those known to act on TfR1 and these findings may have important implications for our understanding of the role of TfR2 in the regulation of iron homeostasis. PMID: 19019709
- In colon cancer cell lines, TfR2 is localized in membrane lipid rafts, induces ERK1/ERK2 phosphorylation, and is preferentially expressed during S-M phases of the cell cycle. PMID: 19729324
- identified mutations in HFE, SLC40A1, HAMP, HJV, TFR2, and FTL that could explain TRANSFERRIN SATURATION/SERUM FERRITIN heterogeneity in adults with previous HFE genotyping to detect C282Y and H63D; results were correlated with racial groups PMID: 19787796
- Mice were created that are homozygous for a mutation that is orthologous to the Y250X mutation identified in some patients with hereditary hemochromatosis type 3. The mutant mice showed profound abnormalities in parameters of iron homeostasis. PMID: 12134060
顯示更多
收起更多
-
相關疾病:Hemochromatosis 3 (HFE3)
-
亞細胞定位:Cell membrane; Single-pass type II membrane protein.; [Isoform Beta]: Cytoplasm. Note=Lacks the transmembrane domain. Probably intracellular.
-
蛋白家族:Peptidase M28 family, M28B subfamily
-
組織特異性:Predominantly expressed in liver. While the alpha form is also expressed in spleen, lung, muscle, prostate and peripheral blood mononuclear cells, the beta form is expressed in all tissues tested, albeit weakly.
-
數據庫鏈接:
Most popular with customers
-
-
Phospho-YAP1 (S127) Recombinant Monoclonal Antibody
Applications: ELISA, WB, IHC
Species Reactivity: Human
-
-
-
-
-
-















