TFB1M Antibody
-
中文名稱:TFB1M兔多克隆抗體
-
貨號:CSB-PA023420LA01HU
-
規格:¥440
-
圖片:
-
Western Blot
Positive WB detected in: A549 whole cell lysate
All lanes: TFB1M antibody at 4.6µg/ml
Secondary
Goat polyclonal to rabbit IgG at 1/50000 dilution
Predicted band size: 40 kDa
Observed band size: 40 kDa -
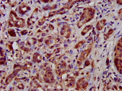
IHC image of CSB-PA023420LA01HU diluted at 1:500 and staining in paraffin-embedded human pancreatic cancer performed on a Leica BondTM system. After dewaxing and hydration, antigen retrieval was mediated by high pressure in a citrate buffer (pH 6.0). Section was blocked with 10% normal goat serum 30min at RT. Then primary antibody (1% BSA) was incubated at 4°C overnight. The primary is detected by a biotinylated secondary antibody and visualized using an HRP conjugated SP system.
-
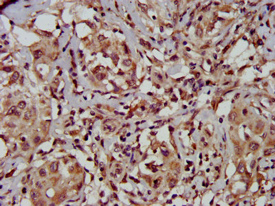
IHC image of CSB-PA023420LA01HU diluted at 1:500 and staining in paraffin-embedded human liver cancer performed on a Leica BondTM system. After dewaxing and hydration, antigen retrieval was mediated by high pressure in a citrate buffer (pH 6.0). Section was blocked with 10% normal goat serum 30min at RT. Then primary antibody (1% BSA) was incubated at 4°C overnight. The primary is detected by a biotinylated secondary antibody and visualized using an HRP conjugated SP system.
-
Immunofluorescence staining of HepG2 cells with CSB-PA023420LA01HU at 1:166, counter-stained with DAPI. The cells were fixed in 4% formaldehyde, permeabilized using 0.2% Triton X-100 and blocked in 10% normal Goat Serum. The cells were then incubated with the antibody overnight at 4°C. The secondary antibody was Alexa Fluor 488-congugated AffiniPure Goat Anti-Rabbit IgG(H+L).
-
-
其他:
產品詳情
-
產品名稱:Rabbit anti-Homo sapiens (Human) TFB1M Polyclonal antibody
-
Uniprot No.:
-
基因名:TFB1M
-
別名:N'-adenosyl(rRNA) dimethyltransferase 1 antibody; CGI75 antibody; Dimethyladenosine transferase 1; mitochondrial antibody; h-mtTFB antibody; h-mtTFB1 antibody; hmtTFB antibody; hmtTFB1 antibody; hTFB1M antibody; Mitochondrial 12S rRNA dimethylase 1 antibody; Mitochondrial dimethyladenosine transferase 1 antibody; Mitochondrial transcription factor B1 antibody; mtTFB1 antibody; S-adenosylmethionine-6-N' antibody; Tfb1m antibody; TFB1M_HUMAN antibody; Transcription factor B1 mitochondrial antibody
-
宿主:Rabbit
-
反應種屬:Human
-
免疫原:Recombinant Human Dimethyladenosine transferase 1, mitochondrial protein (59-194AA)
-
免疫原種屬:Homo sapiens (Human)
-
標記方式:Non-conjugated
本頁面中的產品,TFB1M Antibody (CSB-PA023420LA01HU),的標記方式是Non-conjugated。對于TFB1M Antibody,我們還提供其他標記。見下表:
-
克隆類型:Polyclonal
-
抗體亞型:IgG
-
純化方式:>95%, Protein G purified
-
濃度:It differs from different batches. Please contact us to confirm it.
-
保存緩沖液:Preservative: 0.03% Proclin 300
Constituents: 50% Glycerol, 0.01M PBS, pH 7.4 -
產品提供形式:Liquid
-
應用范圍:ELISA, WB, IHC, IF
-
推薦稀釋比:
Application Recommended Dilution WB 1:500-1:5000 IHC 1:500-1:1000 IF 1:50-1:200 -
Protocols:
-
儲存條件:Upon receipt, store at -20°C or -80°C. Avoid repeated freeze.
-
貨期:Basically, we can dispatch the products out in 1-3 working days after receiving your orders. Delivery time maybe differs from different purchasing way or location, please kindly consult your local distributors for specific delivery time.
-
用途:For Research Use Only. Not for use in diagnostic or therapeutic procedures.
相關產品
靶點詳情
-
功能:S-adenosyl-L-methionine-dependent methyltransferase which specifically dimethylates mitochondrial 12S rRNA at the conserved stem loop. Also required for basal transcription of mitochondrial DNA, probably via its interaction with POLRMT and TFAM. Stimulates transcription independently of the methyltransferase activity.
-
基因功能參考文獻:
- Loss of TFB1M results in mitochondrial dysfunction that leads to impaired insulin secretion and diabetes. PMID: 24916378
- Deficiency in TFB1M and impaired mitochondrial function contribute to the pathogenesis of type 2 diabetes. PMID: 21195351
- The mRNA levels of TFB1M and TFB2M are influenced by endurance training PMID: 19681768
- This transcription factor activates transcription of human mitochondrial DNA. PMID: 12068295
- Human mitochondrial transcription factor B1 methylates ribosomal RNA at a conserved stem-loop PMID: 12496758
- TFB1 interacts with the C-terminal activation region of h-mtTFA and stimulates transcription independently of its RNA methyltransferase activity PMID: 12897151
- TFB1M is a nuclear-encoded modifier gene for phenotypic expression of the deafness-associated homoplasmic A1555G mutation in the mitochondrial 12S rRNA gene. PMID: 15110318
- Distinct, but possibly coordinated functions of mtTFB1 and mtTFB2 in mitochondrial gene expression and biogenesis. PMID: 17557812
- This study suggested that DNA variants in TFB1M did not contribute to the risk for parkinson disease. PMID: 18980857
- determined the variation in the TFAM, TFB1M, and TFB2M genes in cardiac hypertrophy PMID: 19096125
- rRNA methyltransferase activity is necessary for induction of mitochondrial biogenesis by TFB1M, but not TFB2M. PMID: 19417006
顯示更多
收起更多
-
相關疾病:Variations in TFB1M may influence the clinical expression of aminoglycoside-induced deafness caused by the A1555G mutation in the mitochondrial 12S rRNA.
-
亞細胞定位:Mitochondrion.
-
蛋白家族:Class I-like SAM-binding methyltransferase superfamily, rRNA adenine N(6)-methyltransferase family, KsgA subfamily
-
組織特異性:Ubiquitously expressed.
-
數據庫鏈接:
Most popular with customers
-
-
Phospho-YAP1 (S127) Recombinant Monoclonal Antibody
Applications: ELISA, WB, IHC
Species Reactivity: Human
-
-
-
-
-
-















