TEK Antibody
-
中文名稱:TEK兔多克隆抗體
-
貨號:CSB-PA041300
-
規格:¥1100
-
圖片:
-
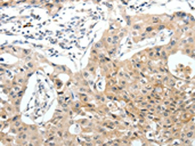
The image on the left is immunohistochemistry of paraffin-embedded Human liver cancer tissue using CSB-PA041300(TEK Antibody) at dilution 1/40, on the right is treated with synthetic peptide. (Original magnification: ×200)
-
The image on the left is immunohistochemistry of paraffin-embedded Human lung cancer tissue using CSB-PA041300(TEK Antibody) at dilution 1/40, on the right is treated with synthetic peptide. (Original magnification: ×200)
-
-
其他:
產品詳情
-
Uniprot No.:
-
基因名:
-
別名:Angiopoietin 1 receptor antibody; Angiopoietin-1 receptor antibody; CD202b antibody; CD202b antigen antibody; Endothelial tyrosine kinase antibody; Endothelium specific receptor tyrosine kinase 2 antibody; hTIE 2 antibody; hTIE2 antibody; Hyk antibody; p140 TEK antibody; Soluble TIE2 variant 1 antibody; Soluble TIE2 variant 2 antibody; Tek antibody; tek tyrosine kinase antibody; TEK tyrosine kinase endothelial antibody; tek tyrosine kinase; endothelial antibody; TIE 2 antibody; TIE2 antibody; TIE2_HUMAN antibody; Tunica interna endothelial cell kinase antibody; Tyrosine kinase with Ig and EGF homology domains 2 antibody; Tyrosine kinase with Ig and EGF homology domains-2 antibody; Tyrosine protein kinase receptor TEK antibody; Tyrosine protein kinase receptor TIE 2 antibody; Tyrosine-protein kinase receptor TEK antibody; Tyrosine-protein kinase receptor TIE-2 antibody; Venous malformations multiple cutaneous and mucosal antibody; VMCM 1 antibody; VMCM antibody; VMCM1 antibody
-
宿主:Rabbit
-
反應種屬:Human,Mouse
-
免疫原:Synthetic peptide of Human TEK
-
免疫原種屬:Homo sapiens (Human)
-
標記方式:Non-conjugated
-
抗體亞型:IgG
-
純化方式:Antigen affinity purification
-
濃度:It differs from different batches. Please contact us to confirm it.
-
保存緩沖液:-20°C, pH7.4 PBS, 0.05% NaN3, 40% Glycerol
-
產品提供形式:Liquid
-
應用范圍:ELISA,IHC
-
推薦稀釋比:
Application Recommended Dilution ELISA 1:2000-1:5000 IHC 1:25-1:100 -
Protocols:
-
儲存條件:Upon receipt, store at -20°C or -80°C. Avoid repeated freeze.
-
貨期:Basically, we can dispatch the products out in 1-3 working days after receiving your orders. Delivery time maybe differs from different purchasing way or location, please kindly consult your local distributors for specific delivery time.
-
用途:For Research Use Only. Not for use in diagnostic or therapeutic procedures.
相關產品
靶點詳情
-
功能:Tyrosine-protein kinase that acts as cell-surface receptor for ANGPT1, ANGPT2 and ANGPT4 and regulates angiogenesis, endothelial cell survival, proliferation, migration, adhesion and cell spreading, reorganization of the actin cytoskeleton, but also maintenance of vascular quiescence. Has anti-inflammatory effects by preventing the leakage of proinflammatory plasma proteins and leukocytes from blood vessels. Required for normal angiogenesis and heart development during embryogenesis. Required for post-natal hematopoiesis. After birth, activates or inhibits angiogenesis, depending on the context. Inhibits angiogenesis and promotes vascular stability in quiescent vessels, where endothelial cells have tight contacts. In quiescent vessels, ANGPT1 oligomers recruit TEK to cell-cell contacts, forming complexes with TEK molecules from adjoining cells, and this leads to preferential activation of phosphatidylinositol 3-kinase and the AKT1 signaling cascades. In migrating endothelial cells that lack cell-cell adhesions, ANGT1 recruits TEK to contacts with the extracellular matrix, leading to the formation of focal adhesion complexes, activation of PTK2/FAK and of the downstream kinases MAPK1/ERK2 and MAPK3/ERK1, and ultimately to the stimulation of sprouting angiogenesis. ANGPT1 signaling triggers receptor dimerization and autophosphorylation at specific tyrosine residues that then serve as binding sites for scaffold proteins and effectors. Signaling is modulated by ANGPT2 that has lower affinity for TEK, can promote TEK autophosphorylation in the absence of ANGPT1, but inhibits ANGPT1-mediated signaling by competing for the same binding site. Signaling is also modulated by formation of heterodimers with TIE1, and by proteolytic processing that gives rise to a soluble TEK extracellular domain. The soluble extracellular domain modulates signaling by functioning as decoy receptor for angiopoietins. TEK phosphorylates DOK2, GRB7, GRB14, PIK3R1; SHC1 and TIE1.
-
基因功能參考文獻:
- Tie2-expressing pericytes limit in a paracrine manner endothelial cell sprouting angiogenesis. PMID: 28719590
- Although several lines of evidences indicate that the Tie2 pathway might have a role in asthma, the investigated variations in the TEK gene, which are associated with lower Tie2 expression, did not influence the susceptibility to the disease. However, we found that the homozygote carriers of the rs581724 SNP had significantly increased risk to allergic conjunctivitis. PMID: 29667338
- Under up-regulation of TIE2-R849W, egfl7 could be considered a potential reason for venous defects. Moreover, the wnt pathway may perform an important role as a key trigger for head multi-malformations. PMID: 29511374
- TIE2 mutation type in VM, especially the mutation site, is important for future targeted therapies. PMID: 28818232
- Rebastinib inhibition of angiopoietin/Tie2 signaling impairs multiple pathways in tumor progression mediated by protumoral Tie2(+) macrophages, including TMEM-dependent dissemination and angiopoietin/Tie2-dependent angiogenesis. Rebastinib is a promising therapy for achieving Tie2 inhibition in cancer patients. PMID: 28838996
- Angiopoietin-2 acts as a survival factor for chronic lymphocytic leukemia B cells throughout Tie-2 receptor engagement. PMID: 28580615
- We demonstrate that ANGPT2 signaling activated after estrogen depletion paradoxically triggers ER+ tumor cell awakening from dormancy in their BM niche, partly indirectly via endothelial Tie2 receptor and partly directly via tumor cell surface integrin &1. PMID: 27353038
- When Tie2 becomes inactivated, important molecular brakes are released in the endothelium, which in turn potentiate inflammation and vascular leakage. The ligands of Tie2, Angiopoietin-1 and Angiopoietin-2, regulate its activation status. PMID: 28582314
- Ang-2 and sTie-2 plasma levels are increased in pediatric OSA and obesity, particularly when endothelial dysfunction or insulin resistance is detectable. PMID: 28474375
- IL-6 and TIE2 polymorphisms are associated with baseline peritoneal transport property. PMID: 27798027
- Results show that TIE2 phosphorylates caveolin-1 at Tyr14, and associates with caveolin-1 in caveolae. Also, its nuclear translocation is caveolin-1 dependent. PMID: 28760776
- These results indicate that the Angpt-Tie2 system is essential for SC integrity. The impairment of this system underlies POAG-associated pathogenesis, supporting the possibility that Tie2 agonists could be a therapeutic option for glaucoma. PMID: 28920924
- TEK mutations have a role in primary congenital glaucoma with variable expressivity PMID: 27270174
- Tie1 directly interacts with Tie2 to promote ANG-induced vascular responses under noninflammatory conditions, whereas in inflammation, Tie1 cleavage contributes to loss of ANG2 agonist activity and vascular stability PMID: 27548530
- ANG-1, ANG-2 and TIE-2 levels were significantly increased in placenta of non-complicated ART pregnancies compared to placentas from spontaneous conception. PMID: 28238760
- Our data suggest that interaction of TEK and CYP1B1 contributes to primary congenital glaucoma pathogenesis and argue that TEK-CYP1B1 may perform overlapping as well as distinct functions in manifesting the disease etiology. PMID: 28620713
- High Tie-2 expression is associated with Primary Myelofibrosis. PMID: 27281335
- In this study, we found that angiopoietins and Tie receptors were highly expressed in cervical cancer cells. Tie-2 expression in tumor cells predicted poorer prognosis.Our data support that dual inhibition of Ang-1 and Ang-2 may be an alternative target for anti-angiogenic adjuvant therapy in advanced or recurrent cervical squamous cell cancer. PMID: 28720059
- Data show that fibulin-5 strongly binds to the endothelial cell surface reducing endothelial cell viability and interfering with the signaling pathways of the Ang-1/TIE-2 receptor axis. PMID: 27304216
- serum levels elevated in morbid obesity, decreased after sleeve gastrectomy PMID: 27581034
- Blue rubber bleb nevus syndrome cased by somatic mutation of TEK. PMID: 27519652
- Ang,Tie1 and Tie2 play roles in vascular development and pathogenesis of vascular diseases.[review] PMID: 27941161
- In vitro binding assays with purified components reveal that Tie-integrin recognition is direct, and further demonstrate that the receptor binding domain of the Tie2 ligand Ang-1, but not the receptor binding domain of Ang-2, can independently associate with a5b1 or aVb3. cooperative Tie/integrin interactions selectively stimulate ERK/MAPK signaling in the presence of both Ang-1 and fibronectin PMID: 27695111
- Activation of Tie2 by subcutaneous injections of AKB-9778 combined with suppression of vascular endothelial growth factor (VEGF) causes a significantly greater reduction in Diabetic macular edema than that seen with suppression of VEGF alone. PMID: 27236272
- We could therefore conclude that angiogenesis is an important event in the development of common skin warts, and the upregulation of both Ang1 and -2 and their binding receptor Tie2 may play a role in the angiogenesis associated with the development of these lesions. PMID: 26695562
- Calcium/calmodulin-dependent negative regulation of Tie2 can be used as an inhibitory signal for vessel growth and branching to build proper vessel architecture during embryonic development. PMID: 27199448
- Tie2 in combination with Ca125 provides superior information to clinicians on progressive disease in patients with VEGFi-treated ovarian cancers PMID: 27351218
- Hydroxysafflor yellow A promotes angiogenesis in HUVEC cells via the angiopoietin 1/ Tie-2 signaling pathway. PMID: 27894114
- These results suggest that COMP-Ang1 enhances survival and proliferation of human PLFs through the activation of Tie2-mediated signaling, where PI3K/Akt and MAPK-c-Jun signaling pathways act as downstream effectors. PMID: 27107990
- Exercise therapy increased levels of proangiogenic TIE-2 monocytes and circulating angiogenic cells in patients with peripheral arterial disease. PMID: 26830098
- These results suggested that IL-35 restrains rheumatoid arthritis angiogenesis and inflammation by downregulating basal and VEGF-induced Ang2 secretion as well as disrupting Ang2/Tie2 signal transduction. PMID: 27960151
- High Ang 1 expression in hilar cholangiocarcinoma and infiltration of TIE2-expressing monocytes (TEMs) defines a subgroup of patients with beneficial tumor characteristics and prolonged survival. Low Ang 2 levels tended to inversely correlate with TEMs invasion. PMID: 27111031
- GTPCH/Ang-1 interaction in stromal fibroblasts and activation of Tie2 on breast tumor cells could play an important role in supporting breast cancer growth. PMID: 26814432
- High Tie-2 expression is associated with stemness and metastatic properties of prostate cancer. PMID: 25978029
- pro-angiogenic Tie-2-expressing monocytes (TEM) and endothelial progenitor cells (EPC) play a crucial role in Critical limb ischemia. PMID: 26462497
- dysregulation of the angiopoietin (Angpt)/Tie2 ligand receptor system may be crucial for endothelial dysfunction in hemolytic uremic syndrome PMID: 26858516
- we report the analysis of a comprehensive collection of 22 TIE2 mutations identified in patients with vascular morphogenesis PMID: 26319232
- The inhibition of Tie-2 exerted by Tie-1can be relieved by Tie-1 ectodomain cleavage mediated by tumor- and inflammatory-related factors, which causes destabilization of vessels and initiates vessel remodeling in cancer. (Review) PMID: 26489611
- These results suggest that Tie2 signaling induces alpha4beta1 integrin activation on bone marrow-mast cell progenitor for adhesion to VCAM-1. PMID: 26659448
- we show that VEGFA signaling from TIE2(hi) TMEM macrophages results in local, transient vascular permeability and tumor cell intravasation. PMID: 26269515
- In the absence of Tie-2, VE-PTP inhibition destabilizes endothelial barrier integrity in agreement with the VE-cadherin-supportive effect of VE-PTP. PMID: 26642851
- Data indicate that foretinib suppresses angiogenesis and lymphangiogenesis by blocking vascular endothelial growth factor receptors PMID: 25909285
- This study provided strong evidence supporting the disorganized vascular structures and dysregulation of related molecules in sporadic VMs. PMID: 24966004
- Genetic variation contributes to the interindividual variation in growth factor levels and explains a modest proportion of circulating hepatocyte growth factor, Ang-2, and Tie-2. PMID: 25552591
- Data indicate that vascular malformations (VMs) are mediated by mutations in receptor tyrosine kinase Tie2 (TEK). PMID: 26115772
- Rapamycin improves TIE2-mutated venous malformation PMID: 26258417
- TIE-2 levels were changed at the organ level in lethal sepsis. PMID: 24976393
- Tie-2 expression in colorectal cancer is much higher and valuable for assessing the prognosis. PMID: 25374184
- The data show that angiopoietin 1 and Tie2 concentrations identify a subgroup of patients who benefit from bevacizumab PMID: 24947924
- the positive correlation between Ang-2 and Tie-2 levels in metastatic subjects, implies that cases with a Tie-2 level above the upper limits, together with higher level of Ang-2 seem to be highly predictive of metastases. PMID: 22408401
顯示更多
收起更多
-
相關疾?。?/div>Dominantly inherited venous malformations (VMCM); Glaucoma 3, primary congenital, E (GLC3E)亞細胞定位:Cell membrane; Single-pass type I membrane protein. Cell junction. Cell junction, focal adhesion. Cytoplasm, cytoskeleton. Secreted.蛋白家族:Protein kinase superfamily, Tyr protein kinase family, Tie subfamily組織特異性:Detected in umbilical vein endothelial cells. Proteolytic processing gives rise to a soluble extracellular domain that is detected in blood plasma (at protein level). Predominantly expressed in endothelial cells and their progenitors, the angioblasts. Has數據庫鏈接:
Most popular with customers
-
-
YWHAB Recombinant Monoclonal Antibody
Applications: ELISA, WB, IHC, IF, FC
Species Reactivity: Human, Mouse, Rat
-
Phospho-YAP1 (S127) Recombinant Monoclonal Antibody
Applications: ELISA, WB, IHC
Species Reactivity: Human
-
-
-
-
-















