TDP2 Antibody
-
中文名稱:TDP2兔多克隆抗體
-
貨號:CSB-PA386522
-
規格:¥1100
-
圖片:
-
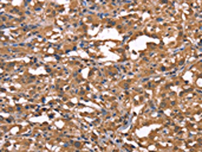
The image on the left is immunohistochemistry of paraffin-embedded Human colon cancer tissue using CSB-PA386522(TDP2 Antibody) at dilution 1/40, on the right is treated with synthetic peptide. (Original magnification: ×200)
-
The image on the left is immunohistochemistry of paraffin-embedded Human thyroid cancer tissue using CSB-PA386522(TDP2 Antibody) at dilution 1/40, on the right is treated with synthetic peptide. (Original magnification: ×200)
-
Gel: 8%SDS-PAGE, Lysate: 40 μg, Lane 1-3: Hela cells, 293T cells, mouse liver tissue, Primary antibody: CSB-PA386522(TDP2 Antibody) at dilution 1/200, Secondary antibody: Goat anti rabbit IgG at 1/8000 dilution, Exposure time: 6 minutes
-
-
其他:
產品詳情
-
Uniprot No.:
-
基因名:TDP2
-
別名:5'-Tyr-DNA phosphodiesterase antibody; 5'-tyrosyl-DNA phosphodiesterase antibody; AD 022 antibody; AD022 antibody; dJ30M3.3 antibody; EAP 2 antibody; EAP II antibody; EAP2 antibody; EAPII antibody; ETS 1 associated protein 2 antibody; ETS 1 associated protein II antibody; ETS1 associated protein 2 antibody; ETS1 associated protein II antibody; ETS1-associated protein 2 antibody; ETS1-associated protein II antibody; MGC111021 antibody; MGC9099 antibody; RP1-30M3.3 antibody; tdp2 antibody; TRAF and TNF receptor associated protein antibody; TRAF and TNF receptor-associated protein antibody; TTRAP antibody; TYDP2_HUMAN antibody; Tyr DNA phosphodiesterase 2 antibody; Tyr-DNA phosphodiesterase 2 antibody; Tyrosyl DNA phosphodiesterase 2 antibody; Tyrosyl-DNA phosphodiesterase 2 antibody
-
宿主:Rabbit
-
反應種屬:Human,Mouse
-
免疫原:Synthetic peptide of Human TDP2
-
免疫原種屬:Homo sapiens (Human)
-
標記方式:Non-conjugated
-
抗體亞型:IgG
-
純化方式:Antigen affinity purification
-
濃度:It differs from different batches. Please contact us to confirm it.
-
保存緩沖液:-20°C, pH7.4 PBS, 0.05% NaN3, 40% Glycerol
-
產品提供形式:Liquid
-
應用范圍:ELISA,WB,IHC
-
推薦稀釋比:
Application Recommended Dilution ELISA 1:1000-1:2000 WB 1:200-1:1000 IHC 1:50-1:200 -
Protocols:
-
儲存條件:Upon receipt, store at -20°C or -80°C. Avoid repeated freeze.
-
貨期:Basically, we can dispatch the products out in 1-3 working days after receiving your orders. Delivery time maybe differs from different purchasing way or location, please kindly consult your local distributors for specific delivery time.
-
用途:For Research Use Only. Not for use in diagnostic or therapeutic procedures.
相關產品
靶點詳情
-
功能:DNA repair enzyme that can remove a variety of covalent adducts from DNA through hydrolysis of a 5'-phosphodiester bond, giving rise to DNA with a free 5' phosphate. Catalyzes the hydrolysis of dead-end complexes between DNA and the topoisomerase 2 (TOP2) active site tyrosine residue. The 5'-tyrosyl DNA phosphodiesterase activity can enable the repair of TOP2-induced DNA double-strand breaks/DSBs without the need for nuclease activity, creating a 'clean' DSB with 5'-phosphate termini that are ready for ligation. Thereby, protects the transcription of many genes involved in neurological development and maintenance from the abortive activity of TOP2. Hydrolyzes 5'-phosphoglycolates on protruding 5' ends on DSBs due to DNA damage by radiation and free radicals. Has preference for single-stranded DNA or duplex DNA with a 4 base pair overhang as substrate. Acts as a regulator of ribosome biogenesis following stress. Has also 3'-tyrosyl DNA phosphodiesterase activity, but less efficiently and much slower than TDP1. Constitutes the major if not only 5'-tyrosyl-DNA phosphodiesterase in cells. Also acts as an adapter by participating in the specific activation of MAP3K7/TAK1 in response to TGF-beta: associates with components of the TGF-beta receptor-TRAF6-TAK1 signaling module and promotes their ubiquitination dependent complex formation. Involved in non-canonical TGF-beta induced signaling routes. May also act as a negative regulator of ETS1 and may inhibit NF-kappa-B activation.; (Microbial infection) Also acts as a 5'-tyrosyl-RNA phosphodiesterase following picornavirus infection: its activity is hijacked by picornavirus and acts by specifically cleaving the protein-RNA covalent linkage generated during the viral genomic RNA replication steps of a picornavirus infection, without impairing the integrity of viral RNA.
-
基因功能參考文獻:
- Data indicate that tyrosyl-DNA phosphodiesterase 2 (TDP2) alone does not remove DNA topoisomerase II (TOP2)-DNA complexes from genomic DNA in vitro and that depletion of TDP2 in cells does not slow the removal of TOP2-DNA complexes. PMID: 30011940
- TDP2 re-localizes from the nucleus to the cytoplasm of EMCV infected cells. PMID: 29353210
- TDP2 suppresses chromosome rearrangements induced by TOP2 and reduces TOP2-induced chromosome translocations that arise during gene transcription. PMID: 28794467
- Both the genome instability and cell death of MRE11-null and MRE11-mutated H129N cells are significantly reversed by overexpression of Tdp2, an enzyme that eliminates covalent Top2 conjugates; thus, the essential role of Mre11 nuclease activity is likely to remove the DNA lesions. PMID: 27814490
- Study revealed a post-translational regulation of TDP2 activity and discovered a new role of ERK3 in increasing cancer cells' DNA damage response and chemoresistance to Top2 inhibitors. PMID: 26701725
- Data show that DNA-repair enzyme TDP2 knockdown in HepG2 cells significantly delays the conversion of relaxed circular DNA (RC-DNA) to covalently closed circular (ccc) DNA. PMID: 25201958
- This article summarizes and compares the biochemistry, functions, and post-translational regulation of TDP1 and TDP2, as well as the relevance of TDP1 and TDP2 as determinants of response to anticancer agents PMID: 24856239
- Proteolytic degradation of Top2 enables the processing of Top2.DNA and Top2.RNA covalent complexes by TDP2. PMID: 24808172
- TDP2 protects transcription from abortive topoisomerase activity and is required for normal neural function. PMID: 24658003
- Mutations in the 5'-tyrosyl-DNA phosphodiesterase activity of TTRAP,in particular TTRAP(E152A), showed decreased inhibitory activity on cell growth. PMID: 23433115
- Magnesium is indispensable for a 5'-tyrosyl DNA phosphodiesterase activity. PMID: 22405347
- VPg unlinkase activity in different mammalian cell lines correlates with their differential expression of TDP2. PMID: 22908287
- Biochemical characterization of human tyrosyl-DNA phosphodiesterase 2 (TDP2/TTRAP): a Mg(2+)/Mn(2+)-dependent phosphodiesterase specific for the repair of topoisomerase cleavage complexes. PMID: 22822062
- findings suggest a previously unidentified function for TTRAP and nucleolar cavities in ribosome biogenesis under stress. PMID: 21921940
- both FOXP2 and KIAA0319/TTRAP/THEM2 genes play an important role in human language development, but probably through different cerebral pathways. PMID: 22262880
- EAPII is an oncogenic factor and the activation of MAPK-ERK signaling pathway by EAPII may contribute to lung cancer development. PMID: 21478903
- an important mechanism for resistance to Top2-induced chromosome breakage and the possibility that TDP2 is a significant factor in cancer development and treatment PMID: 21030584
- PhiC31 integrase interacts with TTRAP and inhibits the NFkappaB activation. PMID: 19757154
- interacts with ETS1 and modulates its transcriptional function PMID: 12743594
- a significant association with (TTRAP)on reading and spelling ability was observed PMID: 17597587
- TTRAP is a novel PML nuclear body protein. PMID: 18706885
- This is the first time that TTRAP has been shown to interact with HIV-1 integrase and facilitate lentiviral vector integration. PMID: 19580783
- TTRAP is the first human 5'-tyrosyl DNA phosphodiesterase to be identified, and we suggest that this enzyme is denoted tyrosyl DNA phosphodiesterase-2 (TDP2). PMID: 19794497
顯示更多
收起更多
-
相關疾病:Spinocerebellar ataxia, autosomal recessive, 23 (SCAR23)
-
亞細胞定位:Nucleus. Nucleus, PML body. Nucleus, nucleolus. Cytoplasm.; Cytoplasm.
-
蛋白家族:CCR4/nocturin family
-
組織特異性:Widely expressed. Highly expressed in various brain regions, including the frontal and occipital lobes, the hippocampus, the striatum and the cerebellum.
-
數據庫鏈接:
Most popular with customers
-
-
YWHAB Recombinant Monoclonal Antibody
Applications: ELISA, WB, IHC, IF, FC
Species Reactivity: Human, Mouse, Rat
-
Phospho-YAP1 (S127) Recombinant Monoclonal Antibody
Applications: ELISA, WB, IHC
Species Reactivity: Human
-
-
-
-
-















