TCP1 Antibody
-
中文名稱:TCP1兔多克隆抗體
-
貨號:CSB-PA023320LA01HU
-
規格:¥440
-
圖片:
-
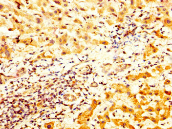
IHC image of CSB-PA023320LA01HU diluted at 1:800 and staining in paraffin-embedded human liver cancer performed on a Leica BondTM system. After dewaxing and hydration, antigen retrieval was mediated by high pressure in a citrate buffer (pH 6.0). Section was blocked with 10% normal goat serum 30min at RT. Then primary antibody (1% BSA) was incubated at 4°C overnight. The primary is detected by a biotinylated secondary antibody and visualized using an HRP conjugated SP system.
-
IHC image of CSB-PA023320LA01HU diluted at 1:800 and staining in paraffin-embedded human testis tissue performed on a Leica BondTM system. After dewaxing and hydration, antigen retrieval was mediated by high pressure in a citrate buffer (pH 6.0). Section was blocked with 10% normal goat serum 30min at RT. Then primary antibody (1% BSA) was incubated at 4°C overnight. The primary is detected by a biotinylated secondary antibody and visualized using an HRP conjugated SP system.
-
Immunofluorescence staining of MCF-7 cells with CSB-PA023320LA01HU at 1:266, counter-stained with DAPI. The cells were fixed in 4% formaldehyde, permeabilized using 0.2% Triton X-100 and blocked in 10% normal Goat Serum. The cells were then incubated with the antibody overnight at 4°C. The secondary antibody was Alexa Fluor 488-congugated AffiniPure Goat Anti-Rabbit IgG(H+L).
-
-
其他:
產品詳情
-
產品名稱:Rabbit anti-Homo sapiens (Human) TCP1 Polyclonal antibody
-
Uniprot No.:
-
基因名:TCP1
-
別名:AI528772 antibody; c-cpn antibody; CCT alpha antibody; CCT antibody; CCT-alpha antibody; CCT1 antibody; Ccta antibody; CCTalpha antibody; D6S230E antibody; MGC133746 antibody; p63 antibody; T complex 1 antibody; T complex protein 1 alpha subunit antibody; T complex protein 1 antibody; T-complex homolog TCP1 antibody; T-complex protein 1 subunit alpha antibody; T-complex protein 1 subunit alpha B antibody; Tailless complex polypeptide 1 antibody; Tailless complex polypeptide 1A antibody; Tailless complex polypeptide 1B antibody; TCP 1 alpha antibody; Tcp-1 antibody; TCP-1-alpha antibody; TCP1 antibody; TCPA_HUMAN antibody; Tp63 antibody; TRic antibody
-
宿主:Rabbit
-
反應種屬:Human
-
免疫原:Recombinant Human T-complex protein 1 subunit alpha protein (406-506AA)
-
免疫原種屬:Homo sapiens (Human)
-
標記方式:Non-conjugated
本頁面中的產品,TCP1 Antibody (CSB-PA023320LA01HU),的標記方式是Non-conjugated。對于TCP1 Antibody,我們還提供其他標記。見下表:
-
克隆類型:Polyclonal
-
抗體亞型:IgG
-
純化方式:>95%, Protein G purified
-
濃度:It differs from different batches. Please contact us to confirm it.
-
保存緩沖液:Preservative: 0.03% Proclin 300
Constituents: 50% Glycerol, 0.01M PBS, pH 7.4 -
產品提供形式:Liquid
-
應用范圍:ELISA, IHC, IF
-
推薦稀釋比:
Application Recommended Dilution IHC 1:500-1:1000 IF 1:200-1:500 -
Protocols:
-
儲存條件:Upon receipt, store at -20°C or -80°C. Avoid repeated freeze.
-
貨期:Basically, we can dispatch the products out in 1-3 working days after receiving your orders. Delivery time maybe differs from different purchasing way or location, please kindly consult your local distributors for specific delivery time.
-
用途:For Research Use Only. Not for use in diagnostic or therapeutic procedures.
相關產品
靶點詳情
-
功能:Component of the chaperonin-containing T-complex (TRiC), a molecular chaperone complex that assists the folding of proteins upon ATP hydrolysis. The TRiC complex mediates the folding of WRAP53/TCAB1, thereby regulating telomere maintenance. As part of the TRiC complex may play a role in the assembly of BBSome, a complex involved in ciliogenesis regulating transports vesicles to the cilia. The TRiC complex plays a role in the folding of actin and tubulin.
-
基因功能參考文獻:
- Chaperonin CCT interferes with fibre assembly by interaction of its CCTzeta and CCTgamma subunits with the A53T central hydrophobic region. This interaction is specific to NAC conformation, as it is produced once soluble alpha-synuclein A53T oligomers form and blocks the reaction before fibres begin to grow. PMID: 28102321
- chaperonin-containing TCP-1 complex required for lysosomal functioning and autophagosome degradation PMID: 27929117
- Result suggest the positive correlation between purinergic receptor P2X 7 (P2X7R) and T-complex protein 1 (TCP-1) in lymphoma patients. PMID: 26556873
- Data suggest that biosynthesis and folding of leukemogenic fusion oncoprotein AML1-ETO/RUNX1-RUNX1T1 is facilitated by interaction with the chaperonin TRiC/CCT1/TCP1 and HSP70 (heat shock protein 70). PMID: 26706127
- Changes for CRMP2, TCP1epsilon, TPM2 and 14-3-3gamma were confirmed in experimental tumors and in a series of 28 human SI-NETs. PMID: 25224486
- A role for the TRiC subunits TCP1 and CCT2, and potentially the entire TRiC complex, in breast cancer. PMID: 25704758
- CCT8 might be an oncogene and participate in HCC cell proliferation. PMID: 24862099
- identified 6 of the 8 components of the chaperonin-containing TCP-1 (CCT) complex bound to LOX-1 cytoplasmic domain PMID: 24846140
- Data suggest that specific molecular mediators involved in glucocerebrosidase maturation and degradation, and abnormal interaction with TCP1 and c-Cbl, could be responsible for phenotypic variation among patients with the same genotypes. PMID: 21098288
- the membrane binding domain of CTP:phosphocholine cytidylyltransferase has a role in alveolar type II cells PMID: 19684306
- Expression patterns of chaperone proteins in cerebral cortex of the fetus with Down syndrome: dysregulation of T-complex protein 1. PMID: 11771755
- TRiC chaperonin binds to HIF prolyl hydroxylase PHD3 PMID: 15251459
- the strong inhibitory action of PhLP(S) on Gbetagamma signaling is the result of a previously unrecognized mechanism of Gbetagamma-regulation, inhibition of Gbetagamma-folding by interference with TCP-1alpha PMID: 15745879
- Data show that Plk1 associates with chaperonin-containing TCP1 complex (CCT) both in vitro and in vivo. PMID: 15923617
- The specific and directed rearrangement of the beta-actin structure, seen in the natural beta-actin-TRiC system, is vital for guiding beta-actin to the native state. PMID: 17939680
- a paper describing a pathway in which this gene product functions PMID: 1630491
顯示更多
收起更多
-
亞細胞定位:Cytoplasm, cytosol. Cytoplasm, cytoskeleton, microtubule organizing center, centrosome.
-
蛋白家族:TCP-1 chaperonin family
-
數據庫鏈接:
Most popular with customers
-
-
YWHAB Recombinant Monoclonal Antibody
Applications: ELISA, WB, IHC, IF, FC
Species Reactivity: Human, Mouse, Rat
-
Phospho-YAP1 (S127) Recombinant Monoclonal Antibody
Applications: ELISA, WB, IHC
Species Reactivity: Human
-
-
-
-
-















