TCHH Antibody
-
中文名稱:TCHH兔多克隆抗體
-
貨號:CSB-PA023309OA01HU
-
規格:¥440
-
圖片:
-
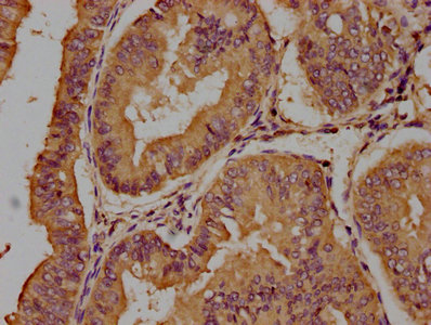
IHC image of CSB-PA023309OA01HU diluted at 1:100 and staining in paraffin-embedded human endometrial cancer performed on a Leica BondTM system. After dewaxing and hydration, antigen retrieval was mediated by high pressure in a citrate buffer (pH 6.0). Section was blocked with 10% normal goat serum 30min at RT. Then primary antibody (1% BSA) was incubated at 4°C overnight. The primary is detected by a biotinylated secondary antibody and visualized using an HRP conjugated SP system.
-
Immunofluorescence staining of A549 cells with CSB-PA023309OA01HU at 1:50, counter-stained with DAPI. The cells were fixed in 4% formaldehyde, permeabilized using 0.2% Triton X-100 and blocked in 10% normal Goat Serum. The cells were then incubated with the antibody overnight at 4°C. The secondary antibody was Alexa Fluor 488-congugated AffiniPure Goat Anti-Rabbit IgG(H+L).
-
-
其他:
產品詳情
-
產品名稱:Rabbit anti-Homo sapiens (Human) TCHH Polyclonal antibody
-
Uniprot No.:
-
基因名:TCHH
-
別名:220K trichohyalin granular protein antibody; Hair follicle protein AHF antibody; MGC157889 antibody; MGC157890 antibody; RP11-107M16.3 antibody; TCHH antibody; THH antibody; THL antibody; TRHY_HUMAN antibody; Trichohyalin antibody; Trichohyalin granular protein antibody
-
宿主:Rabbit
-
反應種屬:Human
-
免疫原:Peptide sequence from Human Trichohyalin protein (1922-1941AA)
-
免疫原種屬:Homo sapiens (Human)
-
標記方式:Non-conjugated
本頁面中的產品,TCHH Antibody (CSB-PA023309OA01HU),的標記方式是Non-conjugated。對于TCHH Antibody,我們還提供其他標記。見下表:
-
克隆類型:Polyclonal
-
抗體亞型:IgG
-
純化方式:Antigen Affinity Purified
-
濃度:It differs from different batches. Please contact us to confirm it.
-
保存緩沖液:Preservative: 0.03% Proclin 300
Constituents: 50% Glycerol, 0.01M PBS, pH 7.4 -
產品提供形式:Liquid
-
應用范圍:ELISA, IHC, IF
-
推薦稀釋比:
Application Recommended Dilution IHC 1:20-1:200 IF 1:50-1:200 -
Protocols:
-
儲存條件:Upon receipt, store at -20°C or -80°C. Avoid repeated freeze.
-
貨期:Basically, we can dispatch the products out in 1-3 working days after receiving your orders. Delivery time maybe differs from different purchasing way or location, please kindly consult your local distributors for specific delivery time.
-
用途:For Research Use Only. Not for use in diagnostic or therapeutic procedures.
相關產品
靶點詳情
-
功能:Intermediate filament-associated protein that associates in regular arrays with keratin intermediate filaments (KIF) of the inner root sheath cells of the hair follicle and the granular layer of the epidermis. It later becomes cross-linked to KIF by isodipeptide bonds. It may serve as scaffold protein, together with involucrin, in the organization of the cell envelope or even anchor the cell envelope to the KIF network. It may be involved in its own calcium-dependent postsynthetic processing during terminal differentiation.
-
基因功能參考文獻:
- The difference between the twoinduced pluripotent stem cell(IPSC) clones in TCHH methylation did not have an obvious effect on its expression in 3D human epidermal equivalent, suggesting that differentiation and tissue formation may mitigate variations in the iPSC methylome. PMID: 27460132
- To evaluate the relative contribution of these variants, we performed a second genome-wide scan in 709 samples from the Uyghur, an admixed population with both eastern and western Eurasian ancestries. In Uyghurs, both EDAR (rs3827760: P = 1.92 x 10(-12)) and TCHH (rs11803731: P = 1.46 x 10(-3)) are associated with hair straightness, but EDAR (OR 0.415) has a greater effect than TCHH (OR 0.575). PMID: 27487801
- Data suggest that an immune response to trichohyalin and K16 may have a role in the pathogenesis of the enigmatic disorder. PMID: 20722389
- BMP-4 signalling activates AHF transcription in hair follicles. PMID: 18643848
- In human keratinocytes, we found BMP-4 facilitates trichohyalin (THH) transcription, and lamin C plays a key role in the posttranslational stabilization of THH. PMID: 18643848
- Common variants in the TCHH gene are associated with straight hair in Europeans. PMID: 19896111
顯示更多
收起更多
-
相關疾?。?/div>Uncombable hair syndrome 3 (UHS3)蛋白家族:S100-fused protein family組織特異性:Found in the hard keratinizing tissues such as the inner root sheath (IRS) of hair follicles and medulla, and in the filiform papillae of dorsal tongue epithelium.數據庫鏈接:
Most popular with customers
-
-
YWHAB Recombinant Monoclonal Antibody
Applications: ELISA, WB, IHC, IF, FC
Species Reactivity: Human, Mouse, Rat
-
Phospho-YAP1 (S127) Recombinant Monoclonal Antibody
Applications: ELISA, WB, IHC
Species Reactivity: Human
-
-
-
-
-















