TBX2 Antibody
-
中文名稱:TBX2兔多克隆抗體
-
貨號:CSB-PA695081
-
規格:¥1100
-
圖片:
-
The image on the left is immunohistochemistry of paraffin-embedded Human brain tissue using CSB-PA695081(TBX2 Antibody) at dilution 1/32, on the right is treated with synthetic peptide. (Original magnification: ×200)
-
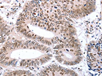
The image on the left is immunohistochemistry of paraffin-embedded Human colon cancer tissue using CSB-PA695081(TBX2 Antibody) at dilution 1/32, on the right is treated with synthetic peptide. (Original magnification: ×200)
-
-
其他:
產品詳情
-
Uniprot No.:
-
基因名:TBX2
-
別名:FLJ10169 antibody; HGNC:11597 antibody; T box 2 antibody; T box transcription factor TBX2 antibody; T-box protein 2 antibody; T-box transcription factor TBX2 antibody; TBX2 antibody; TBX2_HUMAN antibody
-
宿主:Rabbit
-
反應種屬:Human,Mouse
-
免疫原:Synthetic peptide of Human TBX2
-
免疫原種屬:Homo sapiens (Human)
-
標記方式:Non-conjugated
-
抗體亞型:IgG
-
純化方式:Antigen affinity purification
-
濃度:It differs from different batches. Please contact us to confirm it.
-
保存緩沖液:-20°C, pH7.4 PBS, 0.05% NaN3, 40% Glycerol
-
產品提供形式:Liquid
-
應用范圍:ELISA,IHC
-
推薦稀釋比:
Application Recommended Dilution ELISA 1:1000-1:5000 IHC 1:25-1:100 -
Protocols:
-
儲存條件:Upon receipt, store at -20°C or -80°C. Avoid repeated freeze.
-
貨期:Basically, we can dispatch the products out in 1-3 working days after receiving your orders. Delivery time maybe differs from different purchasing way or location, please kindly consult your local distributors for specific delivery time.
-
用途:For Research Use Only. Not for use in diagnostic or therapeutic procedures.
相關產品
靶點詳情
-
功能:Transcription factor which acts as a transcriptional repressor. May also function as a transcriptional activator. Binds to the palindromic T site 5'-TTCACACCTAGGTGTGAA-3' DNA sequence, or a half-site, which are present in the regulatory region of several genes. Required for cardiac atrioventricular canal formation. May cooperate with NKX2.5 to negatively modulate expression of NPPA/ANF in the atrioventricular canal. May play a role as a positive regulator of TGFB2 expression, perhaps acting in concert with GATA4 in the developing outflow tract myocardium. Plays a role in limb pattern formation. Acts as a transcriptional repressor of ADAM10 gene expression, perhaps in concert with histone deacetylase HDAC1 as cofactor. Involved in branching morphogenesis in both developing lungs and adult mammary glands, via negative modulation of target genes; acting redundantly with TBX3. Required, together with TBX3, to maintain cell proliferation in the embryonic lung mesenchyme; perhaps acting downstream of SHH, BMP and TGFbeta signaling. Involved in modulating early inner ear development, acting independently of, and also redundantly with TBX3, in different subregions of the developing ear. Acts as a negative regulator of PML function in cellular senescence. Acts as a negative regulator of expression of CDKN1A/p21, IL33 and CCN4; repression of CDKN1A is enhanced in response to UV-induced stress, perhaps as a result of phosphorylation by p38 MAPK. Negatively modulates expression of CDKN2A/p14ARF and CDH1/E-cadherin. Plays a role in induction of the epithelial-mesenchymal transition (EMT). Plays a role in melanocyte proliferation, perhaps via regulation of cyclin CCND1. Involved in melanogenesis, acting via negative modulation of expression of DHICA oxidase/TYRP1 and P protein/OCA2. Involved in regulating retinal pigment epithelium (RPE) cell proliferation, perhaps via negatively modulating transcription of the transcription factor CEBPD.
-
基因功能參考文獻:
- TBX2 is a neuroblastoma core regulatory circuitry component enhancing MYCN/FOXM1 reactivation of DREAM targets. PMID: 30451831
- The results indicated that the expression rates of TBX2 were significantly increased in the prostate cancerous tissues, compared with the healthy tumor adjacent tissue, and TBX2 increased staining was associated with the clinical stage and pathological grade. PMID: 28849151
- TBX2 is a central component of the PTEN/PI3K/AKT signaling pathway deregulation in RMS cells and that targeting TBX2 in RMS tumors may offer a novel therapeutic approach for RMS PMID: 26686089
- this new molecular-grade based on the combination of TBX2 and TBX3 methylation is an excellent marker for predicting progression to muscle-invasive bladder cancer in patients with primary pTaG1/2 bladder cancer. PMID: 25394776
- Our results suggest a conserved role of Tbx2-related proteins in cell invasion and metastasis-related processes PMID: 25344916
- Data show that the down-regulation of T-box transcription factor TBX2 by transforming growth factor beta I (TGF-beta1) is mediated by T-box transcription factor TBX3. PMID: 25371204
- The data suggested that the DNA sequence variants within the TBX2 gene promoter was implicated in the indirect inguinal hernia development as a rare cause. PMID: 24309999
- High TBX2 expression is associated with breast cancer. PMID: 24742492
- High TBX2 expression is associated with non-small cell lung cancer. PMID: 25027744
- TBX2 was a significantly prognostic factor for decreased survival. PMID: 23959449
- deregulated TBX2 serves as an oncogene in rhabdomyosarcoma PMID: 24470334
- Knocking down TBX2 sensitises the cells to cisplatin by disrupting the ATM-CHK2-p53 signalling pathway. PMID: 24113180
- DNA sequence variants within TBX2 gene promoter may contribute to ventricular septal defects ethiology PMID: 23727221
- The identification of TBX2 as a target for PAX3 provides a key insight into how PAX3 may contribute to melanoma evolution. PMID: 23020925
- Coimmunoprecipitations and immunofluorescence analyses confirmed the L2-TBX2 interaction and revealed that human papillomavirus 16 L2 also interacts with human TBX3, another member of the T-box family. PMID: 23388722
- an unanticipated link between TBX2 deregulation in cancer and the acquisition of EMT and invasive features of epithelial tumor cells PMID: 22844464
- TBX2 CPG island methylation predicts progression in bladder cancer. PMID: 22284968
- PML and TBX2 act in an autoregulatory loop to control the effective execution of the senescence program. PMID: 22002537
- Microdeletion of 17q22q23.2 encompassing TBX2 and TBX4 in a patient with congenital microcephaly, thyroid duct cyst, sensorineural hearing loss, and pulmonary hypertension. PMID: 21271665
- Rb1 is an important determinant of Tbx2 functional specificity. PMID: 20534814
- TBX2 gene duplication is associated with complex heart defect and skeletal malformations. PMID: 20635360
- Data identify a novel mechanism for TBX2-driven oncogenesis and highlight the importance of NDRG1 as a growth control gene in breast tissue. PMID: 20348948
- We report the first analysis of PSCA, PIWIL1, and TBX2 expression in EAC. Our findings suggest that PSCA and TBX2 might be candidate targets for cancer therapy. PMID: 20502058
- This review presents a state of the art overview of the role and regulation of Tbx2 in early embryonic development and in cancer[review] PMID: 19960541
- identification of a variant T-site as the essential TBX2/TBX3-binding element in the human p14(ARF) promoter PMID: 12000749
- upregulation of Tbx2 gene in response to tension downregulates CX43 in cranial sutures PMID: 14595187
- In human melanoma cells, expression of dnTbx2 leads to severely reduced growth and induction of senescence-associated heterochromatin foci. PMID: 15781639
- Results are consistent with Tbx2 playing a role in cell cycle progression and organization of subnuclear compartments. PMID: 16730707
- Tbx2 in fibroblasts reduces expression of the COL1A2 gene PMID: 17407139
- the ability of Tbx2 to repress the p21 gene is enhanced in response to a stress-induced senescence pathway, which leads to a better understanding of the regulation of the anti-senescence function of Tbx2. PMID: 18025091
- Tbx2 and Tbx3 may play a dual role during the radial to vertical growth phase transition by both inhibiting senescence via repression of p21(CIP1) expression, and enhancing melanoma invasiveness by decreasing E-cadherin levels. PMID: 18829543
- TBX2 is a cell type-dependent survival factor under a p53-negative background. PMID: 19216023
- Tbx2 protein might play an important role in the process of the development and metastasis of pancreatic cancers PMID: 19469638
顯示更多
收起更多
-
亞細胞定位:Nucleus.
-
組織特異性:Expressed primarily in adult in kidney, lung, and placenta. Weak expression in heart and ovary.
-
數據庫鏈接:
Most popular with customers
-
-
YWHAB Recombinant Monoclonal Antibody
Applications: ELISA, WB, IHC, IF, FC
Species Reactivity: Human, Mouse, Rat
-
-
-
-
-
-















