TBL1X Antibody
-
中文名稱:TBL1X兔多克隆抗體
-
貨號:CSB-PA441798
-
規格:¥1100
-
圖片:
-
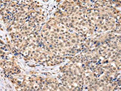
The image on the left is immunohistochemistry of paraffin-embedded Human breast cancer tissue using CSB-PA441798(TBL1X Antibody) at dilution 1/30, on the right is treated with fusion protein. (Original magnification: ×200)
-
Gel: 8%SDS-PAGE, Lysate: 40 μg, Lane 1-2: Human lung cancer and placenta tissue, Primary antibody: CSB-PA441798(TBL1X Antibody) at dilution 1/500 dilution, Secondary antibody: Goat anti rabbit IgG at 1/8000 dilution, Exposure time: 5 seconds
-
-
其他:
產品詳情
-
Uniprot No.:
-
基因名:
-
別名:EBI antibody; F box like/WD repeat protein TBL1X antibody; F-box-like/WD repeat-containing protein TBL1X antibody; SMAP 55 antibody; SMAP55 antibody; TBL 1 antibody; TBL 1X antibody; TBL1 antibody; TBL1X antibody; TBL1X_HUMAN antibody; Transducin (beta) like 1 antibody; Transducin (beta) like 1 X linked antibody; Transducin (beta) like 1X linked antibody; Transducin beta like 1 X linked antibody; Transducin beta like 1X antibody; Transducin beta like 1X protein antibody; Transducin beta like protein 1, X linked antibody; Transducin beta-like protein 1X antibody; Transducin-beta-like protein 1 antibody; X-linked antibody
-
宿主:Rabbit
-
反應種屬:Human,Mouse
-
免疫原:Fusion protein of Human TBL1X
-
免疫原種屬:Homo sapiens (Human)
-
標記方式:Non-conjugated
-
抗體亞型:IgG
-
純化方式:Antigen affinity purification
-
濃度:It differs from different batches. Please contact us to confirm it.
-
保存緩沖液:-20°C, pH7.4 PBS, 0.05% NaN3, 40% Glycerol
-
產品提供形式:Liquid
-
應用范圍:ELISA,WB,IHC
-
推薦稀釋比:
Application Recommended Dilution ELISA 1:2000-1:5000 WB 1:500-1:2000 IHC 1:25-1:100 -
Protocols:
-
儲存條件:Upon receipt, store at -20°C or -80°C. Avoid repeated freeze.
-
貨期:Basically, we can dispatch the products out in 1-3 working days after receiving your orders. Delivery time maybe differs from different purchasing way or location, please kindly consult your local distributors for specific delivery time.
-
用途:For Research Use Only. Not for use in diagnostic or therapeutic procedures.
相關產品
靶點詳情
-
功能:F-box-like protein involved in the recruitment of the ubiquitin/19S proteasome complex to nuclear receptor-regulated transcription units. Plays an essential role in transcription activation mediated by nuclear receptors. Probably acts as integral component of corepressor complexes that mediates the recruitment of the 19S proteasome complex, leading to the subsequent proteasomal degradation of transcription repressor complexes, thereby allowing cofactor exchange.
-
基因功能參考文獻:
- TBL1X mRNA and protein expression were significantly increased in the gestational diabetes mellitus placenta. TBL1X is a potential target of miR-138-5p contributed to the abnormal growth of the placenta by enhancing the proliferation of trophoblasts. PMID: 30463081
- missense mutations in the gene for TBLR1 that are associated with intellectual disability also prevent MeCP2 binding PMID: 28348241
- Targeted SUMOylation of TBL1 and TBLR1 may be a useful strategy for therapeutic treatment of androgen-independent prostate cancer. PMID: 27129164
- TBL1X mutations are associated with central hypothyroidism and hearing loss. PMID: 27603907
- Here, the authors show that transcriptional co-factor Transducin beta-like (TBL) 1 was over-expressed in both human and murine pancreatic ductal adenocarcinoma and TBL1 deficiency both prevented and reversed pancreatic tumor growth. PMID: 26070712
- TBL1 is required to protect GPS2 from degradation, with methylation of GPS2 by arginine methyltransferase PRMT6 regulating the interaction with TBL1 and inhibiting proteasome-dependent degradation. PMID: 26070566
- We localized proteins encoded by the top two regulated genes, TBL1X and USH1C, using immunohistochemistry to placental stem and anchoring villi associated with active contractile function. PMID: 23665419
- TBL1 and TBLR1 are functionally redundant and essential for transcriptional repression by unliganded thyroid hormone receptors (TR) but not essential for transcriptional activation by liganded TR PMID: 15601853
- Mutations within the LisH (LIS1 homology)motif of TBL 1X are likely to result in pathogenic consequences in genes associated with genetic diseases. PMID: 16258276
- Wnt signalling induced the interaction between beta-catenin and TBL1-TBLR1, as well as their binding to Wnt target genes. Importantly, the recruitment of TBL1-TBLR1 and beta-catenin to Wnt target-gene promoters was mutually dependent on each other. PMID: 18193033
顯示更多
收起更多
-
亞細胞定位:Nucleus.
-
蛋白家族:WD repeat EBI family
-
組織特異性:Ubiquitous.
-
數據庫鏈接:
Most popular with customers
-
-
YWHAB Recombinant Monoclonal Antibody
Applications: ELISA, WB, IHC, IF, FC
Species Reactivity: Human, Mouse, Rat
-
Phospho-YAP1 (S127) Recombinant Monoclonal Antibody
Applications: ELISA, WB, IHC
Species Reactivity: Human
-
-
-
-
-















