TBC1D25 Antibody
-
中文名稱:TBC1D25兔多克隆抗體
-
貨號:CSB-PA662139LA01HU
-
規格:¥440
-
圖片:
-
IHC image of CSB-PA662139LA01HU diluted at 1:400 and staining in paraffin-embedded human adrenal gland tissue performed on a Leica BondTM system. After dewaxing and hydration, antigen retrieval was mediated by high pressure in a citrate buffer (pH 6.0). Section was blocked with 10% normal goat serum 30min at RT. Then primary antibody (1% BSA) was incubated at 4°C overnight. The primary is detected by a biotinylated secondary antibody and visualized using an HRP conjugated SP system.
-
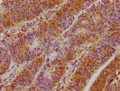
IHC image of CSB-PA662139LA01HU diluted at 1:400 and staining in paraffin-embedded human colon cancer performed on a Leica BondTM system. After dewaxing and hydration, antigen retrieval was mediated by high pressure in a citrate buffer (pH 6.0). Section was blocked with 10% normal goat serum 30min at RT. Then primary antibody (1% BSA) was incubated at 4°C overnight. The primary is detected by a biotinylated secondary antibody and visualized using an HRP conjugated SP system.
-
-
其他:
產品詳情
-
產品名稱:Rabbit anti-Homo sapiens (Human) TBC1D25 Polyclonal antibody
-
Uniprot No.:
-
基因名:TBC1D25
-
別名:MG81 antibody; MGC126866 antibody; MGC126868 antibody; MGC149731 antibody; MGC149732 antibody; OATL1 antibody; ORNITHINE AMINOTRANSFERASE LIKE 1 antibody; TBC1 domain family member 25 antibody; TBC1D25 antibody; TBC25_HUMAN antibody
-
宿主:Rabbit
-
反應種屬:Human
-
免疫原:Recombinant Human TBC1 domain family member 25 protein (1-219AA)
-
免疫原種屬:Homo sapiens (Human)
-
標記方式:Non-conjugated
本頁面中的產品,TBC1D25 Antibody (CSB-PA662139LA01HU),的標記方式是Non-conjugated。對于TBC1D25 Antibody,我們還提供其他標記。見下表:
-
克隆類型:Polyclonal
-
抗體亞型:IgG
-
純化方式:>95%, Protein G purified
-
濃度:It differs from different batches. Please contact us to confirm it.
-
保存緩沖液:Preservative: 0.03% Proclin 300
Constituents: 50% Glycerol, 0.01M PBS, pH 7.4 -
產品提供形式:Liquid
-
應用范圍:ELISA, IHC
-
推薦稀釋比:
Application Recommended Dilution IHC 1:200-1:500 -
Protocols:
-
儲存條件:Upon receipt, store at -20°C or -80°C. Avoid repeated freeze.
-
貨期:Basically, we can dispatch the products out in 1-3 working days after receiving your orders. Delivery time maybe differs from different purchasing way or location, please kindly consult your local distributors for specific delivery time.
-
用途:For Research Use Only. Not for use in diagnostic or therapeutic procedures.
相關產品
靶點詳情
-
功能:Acts as a GTPase-activating protein specific for RAB33B. Involved in the regulation of autophagosome maturation, the process in which autophagosomes fuse with endosomes and lysosomes.
-
基因功能參考文獻:
- Our study showed that adenovirus-mediated antisense ODC and expression inhibits tumor cell growth through blocking the polyamine synthesis pathway. PMID: 17558447
- Studies indicate that each of the 4 genes was associated with at least one main outcome: anxiety (SAT1, SMS), mood disorders (SAT1, SMOX), and suicide attempts (SAT1, OATL1). PMID: 21152090
-
亞細胞定位:Cytoplasm. Cytoplasmic vesicle, autophagosome. Note=It is dispersed in the cytoplasm under nutrient-rich conditions. Localizes at autophagosomes under cell starving conditions.
-
數據庫鏈接:
Most popular with customers
-
-
YWHAB Recombinant Monoclonal Antibody
Applications: ELISA, WB, IHC, IF, FC
Species Reactivity: Human, Mouse, Rat
-
Phospho-YAP1 (S127) Recombinant Monoclonal Antibody
Applications: ELISA, WB, IHC
Species Reactivity: Human
-
-
-
-
-















