TBC1D15 Antibody
-
中文名稱:TBC1D15兔多克隆抗體
-
貨號:CSB-PA823452LA01HU
-
規格:¥3,900
-
圖片:
-
Western Blot
Positive WB detected in: A549 whole cell lysate(30μg), HepG2 whole cell lysate(30μg), Hela whole cell lysate(30μg), 293T whole cell lysate(30μg), JK whole cell lysate(30μg), A431 whole cell lysate(30μg), SY5Y whole cell lysate(30μg),Mouse Brain tissue lysate(30μg),Mouse Liver tissue lysate(30μg)
All lanes: TBC1D15 antibody at 1:1000
Secondary
Goat polyclonal to rabbit IgG at 1/20000 dilution
Predicted band size: 80,78,79 kDa
Observed band size: 80 kDa
Exposure time: 30s -
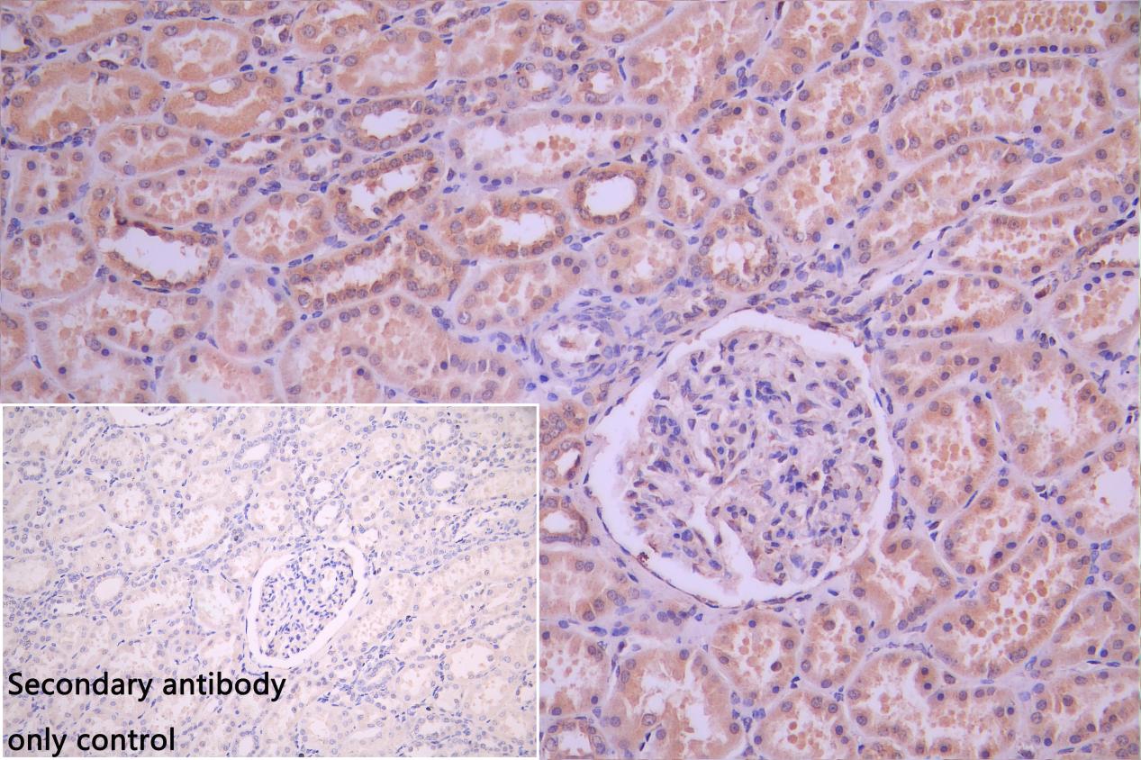
IHC image of CSB-PA823452LA01HU diluted at 1:50 and staining in paraffin-embedded human kidney tissue performed on a Leica BondTM system. After dewaxing and hydration, antigen retrieval was mediated by high pressure in a citrate buffer (pH 6.0). Section was blocked with 10% normal goat serum 30min at RT. Then primary antibody (1% BSA) was incubated at 4°C overnight. The primary is detected by a Goat anti-rabbit polymer IgG labeled by HRP and visualized using 0.05% DAB. Secondary antibody only control: uses 1% BSA instead of primary antibody
-
IHC image of CSB-PA823452LA01HU diluted at 1:50 and staining in paraffin-embedded humancolorectal cancer performed on a Leica BondTM system. After dewaxing and hydration, antigen retrieval was mediated by high pressure in a citrate buffer (pH 6.0). Section was blocked with 10% normal goat serum 30min at RT. Then primary antibody (1% BSA) was incubated at 4°C overnight. The primary is detected by a Goat anti-rabbit polymer IgG labeled by HRP and visualized using 0.05% DAB. Secondary antibody only control: uses 1% BSA instead of primary antibody
-
Immunofluorescence staining of Hela cell with CSB-PA823452LA01HU at 1:100, counter-stained with DAPI. The cells were fixed in 4% formaldehyde and and permeated by 0.2% TritonX-100 for 15 min. Then 10% normal goat serum to block non-specific protein-protein interactions . The cells were then incubated with the antibody overnight at 4℃. The secondary antibody was Alexa Fluor 488-congugated AffiniPure Goat Anti-Rabbit IgG(H+L).
-
Immunofluorescence staining of Hela cell with 5% goat serum, counter-stained with DAPI. The cells were fixed in 4% formaldehyde and blocked in 10% normal Goat Serum. The cells were then incubated with the antibody overnight at 4C. The secondary antibody was Alexa Fluor 488-congugated AffiniPure Goat Anti-Rabbit IgG(H+L).
-
Immunofluorescence staining of HepG2 cell with CSB-PA823452LA01HU at 1:100, counter-stained with DAPI. The cells were fixed in 4% formaldehyde and and permeated by 0.2% TritonX-100 for 15 min. Then 10% normal goat serum to block non-specific protein-protein interactions . The cells were then incubated with the antibody overnight at 4℃. The secondary antibody was Alexa Fluor 488-congugated AffiniPure Goat Anti-Rabbit IgG(H+L).
-
Immunofluorescence staining of Hela cell with 5% goat serum, counter-stained with DAPI. The cells were fixed in 4% formaldehyde and blocked in 10% normal Goat Serum. The cells were then incubated with the antibody overnight at 4C. The secondary antibody was Alexa Fluor 488-congugated AffiniPure Goat Anti-Rabbit IgG(H+L).
-
-
其他:
產品詳情
-
產品名稱:Rabbit anti-Homo sapiens (Human) TBC1D15 Polyclonal antibody
-
Uniprot No.:
-
基因名:
-
別名:DKFZp686M1379 antibody; DKFZp761D0223 antibody; FLJ12085 antibody; FLJ33191 antibody; GAP for RAB7 antibody; GTPase-activating protein RAB7 antibody; RAB7 GAP antibody; Rab7-GAP antibody; TBC1 domain family member 15 antibody; TBC15_HUMAN antibody; Tbc1d15 antibody; Tre 2 budding uninhibited by benzimidazole cell division cycle 16 domain; domain family member 15 antibody; Tre2/Bub2/Cdc16 domain family member 15 antibody
-
宿主:Rabbit
-
反應種屬:Human, Mouse
-
免疫原:Recombinant Human TBC1 domain family member 15 protein
-
免疫原種屬:Homo sapiens (Human)
-
克隆類型:Polyclonal
-
抗體亞型:IgG
-
純化方式:Antigen?affinity?purification
-
濃度:It differs from different batches. Please contact us to confirm it.
-
保存緩沖液:PBS with 0.02% sodium azide and 50% glycerol pH 7.3.
-
產品提供形式:Liquid
-
應用范圍:ELISA, WB, IHC, IF
-
推薦稀釋比:
Application Recommended Dilution WB 1:500-1:2000 IHC 1:50-1:200 IF 1:100-1:300 -
Protocols:
-
儲存條件:Upon receipt, store at -20°C or -80°C. Avoid repeated freeze.
-
貨期:Basically, we can dispatch the products out in 1-3 working days after receiving your orders. Delivery time maybe differs from different purchasing way or location, please kindly consult your local distributors for specific delivery time.
-
用途:For Research Use Only. Not for use in diagnostic or therapeutic procedures.
相關產品
靶點詳情
-
功能:Acts as a GTPase activating protein for RAB7A. Does not act on RAB4, RAB5 or RAB6.
-
基因功能參考文獻:
- Report provides evidence for a new function of TBC1D15 in the control of GLUT4 vesicles translocation through regulating Rab7 activity. Glucose uptake was greatly reduced when TBC1D15 was knocked out. PMID: 30316925
- Demonstrate that TBC1D15 and TBC1D17 mediate proper autophagic encapsulation of mitochondria by regulating Rab7 activity at the interface between mitochondria and isolation membranes. PMID: 24569479
- TBC1D15 is required for the accumulation of RhoA. PMID: 24337944
- Fis1 acts as a mitochondrial recruitment factor for TBC1D15 that is involved in regulation of mitochondrial morphology. PMID: 23077178
- although only TBC1D15/Rab7-GAP altered Rab7-GTP levels, both Rab7-GAP and mVps39 regulate lysosomal morphology and play a role in maintaining growth factor dependence PMID: 20363736
- This paper primarily describes mouse TBC1D15 but also reports the primary structure of human TBC1D15. PMID: 16055087
顯示更多
收起更多
-
亞細胞定位:Cytoplasm.
-
數據庫鏈接:
Most popular with customers
-
-
YWHAB Recombinant Monoclonal Antibody
Applications: ELISA, WB, IHC, IF, FC
Species Reactivity: Human, Mouse, Rat
-
Phospho-YAP1 (S127) Recombinant Monoclonal Antibody
Applications: ELISA, WB, IHC
Species Reactivity: Human
-
-
-
-
-















